Голубева Ирина Владимировна
Стаж
25 лет
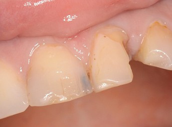
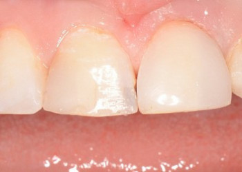
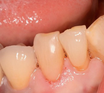
Голубева Ирина Владимировна принимает в «СТОМАТОЛОГИЧЕСКИЙ ЦЕНТР ГОРОДА» в Санкт-Петербурге. Стаж 25 лет. Специализируется на терапии, по которой клиника оказывает 12 услуг. Имеет 3 работы до/после в портфолио. Для уточнения дополнительной информации о специалисте или записи на прием можно позвонить по телефону
+7 (812)Показать телефон
.
Где принимает:
Опыт 25 лет
3 работы в портфолио
Помогите другим сделать правильный выбор — оставьте свой отзыв о докторе
О стоматологе
Владеет основными методиками диагностики и лечения заболеваний органов полости рта, включая использование внутриротовой видеокамеры, МИКРОСКОПА, современными технологиями в области эстетической реставрации, эндодонтического лечения и шинирования.
Отзывы о враче Голубева Ирина Владимировна
Каждый отзыв проходит тщательную проверку Если у нас есть сомнения в достоверности, мы проводим дополнительную проверку: связываемся с автором отзыва и запрашиваем документы, подтверждающие факт посещения клиники.
30% отзывов не проходят модерацию Мы не размещаем и не допускаем к публикации заказные отзывы.
Собираем отзывы после приёма Наш колл-центр получает отзывы у пациентов, записавшихся на приём через 32top.