Стоматолог Плюснин Денис Иванович — цены, отзывы, стаж — Принимает в Санкт-Петербурге (СПб)

Плюснин Денис Иванович

Плюснин Денис Иванович - фотография

5.0
Рейтинг: 5.0
Отзывов: 3
Положительных: 3
Отрицательных: 0
Последний : 3027 дн. назад
3 отзыва
стоматолог-терапевт
стоматолог-ортопед
Стаж 22 года
Плюснин Денис Иванович принимает в «СТОМАТОЛОГИЧЕСКИЙ ЦЕНТР ГОРОДА» в Санкт-Петербурге. Стаж 22 года. Специализируется на терапии и ортопедии, по которым клиника оказывает 27 услуг. Имеет 5 работ до/после в портфолио. Для уточнения дополнительной информации о специалисте или записи на прием можно позвонить по телефону
+7 (812)Показать телефон
.

Где принимает:

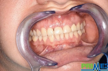
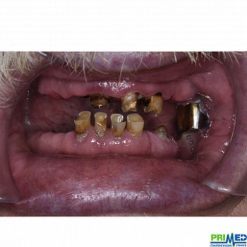
5 работ в портфолио
Опыт 22 года

О стоматологе

Владеет современными методиками лечения и протезирования зубов, включая использование внутриротовой видеокамеры и микроскопа, современными технологиями в области эстетической реставрации и эндодонтического лечения.

Плюснин Денис Иванович: портфолио (5)

Отзывы о враче Плюснин Денис Иванович

Рейтинг: 5
Отзывов: 3
Положительных: 3
Отрицательных: 0
Последний: 3027 дн. назад
5.0
Почему нашим отзывам можно доверять?
23 января 2018 г.
1 2 3 4 5
Обращалась к разным врачам – особой разницы не видела. Но год назад попала на прием в эту клинику к врачу Плюснину Денису Ивановичу и теперь лечусь только у него – никуда больше не пойду. Мне нравится как он лечит и какой получается результат.
Стоматологический Центр Города
26 января 2018 г.
Василина, огромное спасибо за добрые слова! Рады, что Вам нравится пользоваться услугами именно нашей стоматологии! Денису Ивановичу передадим личную благодарность:)
6 января 2018 г.
1 2 3 4 5
Мне кажется, это совсем неплохая стоматология и расположение удачное - рядом с домом! Мне здесь пломбу в передний зуб ставили года два назад, стоит до сих пор! Выглядит вполне естественно, не потемнела! Я лечился у врача Дениса Плюсина - он мне пломбу минут за 30 поставил, и безболезненно! Я доволен результатом!
Стоматологический Центр Города
15 января 2018 г.
Александр, большое спасибо за Ваш отзыв!
14 мая 2017 г.
1 2 3 4 5
Пришла домой со стоматологии, а действие укола до сих пор ощущаю - щека онемела. Я вообще очень боюсь уколов, но врач сделал безболезненно. Я довольна осталась! Зубы мне под микроскопом еще посмотрели, проверили! Спасибо доктору Плюснину!
Стоматологический Центр Города
31 мая 2017 г.
Катя, благодарим за отзыв. Рады стараться для вас!
    Помогите другим сделать правильный выбор — оставьте свой отзыв о докторе
    Написать отзыв

    Услуги стоматолога в других клиниках

    Терапевтическая стоматология
    Лечение кариеса от 3 500 ₽ до 14 500 ₽
    Лечение пульпита от 5 000 ₽ до 35 000 ₽
    Еще услуги
    Эстетическая стоматология
    Установка виниров от 29 000 ₽ до 82 600 ₽
    Протезирование зубов
    Установка коронки на зуб от 4 800 ₽ до 105 000 ₽
    Виды протезов
    Еще услуги