Стоматолог Шонина Юлия Владимировна — цены, отзывы, стаж — Принимает в Санкт-Петербурге (СПб)

Шонина Юлия Владимировна

Шонина Юлия Владимировна - фотография
стоматолог-терапевт
стоматолог-ортодонт
Стаж 19 лет
Шонина Юлия Владимировна принимает в «Стоматология и косметология БЬЮТИ ОРТОШИК» в Санкт-Петербурге. Стаж 19 лет. Специализируется на терапии и ортодонтии, по которым клиника оказывает 20 услуг. Имеет 3 работы до/после в портфолио. Для уточнения дополнительной информации о специалисте или записи на прием можно позвонить по телефону
+7 (966)Показать телефон
.

Где принимает:

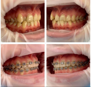
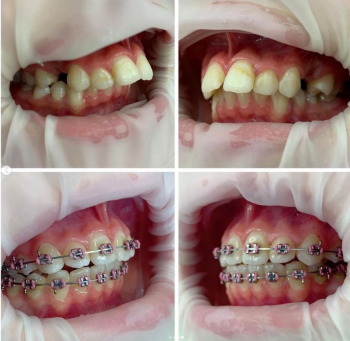
3 работы в портфолио
Опыт 19 лет

Шонина Юлия Владимировна: портфолио (3)

Отзывы о враче Шонина Юлия Владимировна

Почему нашим отзывам можно доверять?
8 февраля 2019 г.
1 2 3 4 5
Здравствуйте, к своему стыду, я ни разу не поблагодарил, профессионалов, работающих в этой клинике. Мне 52 года, лечился везде, по необходимости, но когда дошёл до ручки, свезло, сказали, попробуй! Попробовал, привязался..) Терапевт Ковтун Екатерина Геннадьевна – БОГИНЯ! Имплантолог-хирург Харитоненко Павел Андреевич – профи! Ортодонт – Шонина Юлия Владимировна – профессионал! СПАСИБО! С Уважением, пациент Николай Григорьев
    Помогите другим сделать правильный выбор — оставьте свой отзыв о докторе
    Написать отзыв

    Услуги стоматолога в других клиниках

    Терапевтическая стоматология
    Лечение кариеса от 3 500 ₽ до 14 500 ₽
    Лечение пульпита от 5 000 ₽ до 35 000 ₽
    Еще услуги
    Эстетическая стоматология
    Установка скайсов от 1 500 ₽ до 5 500 ₽