Эль-бубу Марьям Мохамедовна
Стаж
6 лет
Эль-бубу Марьям Мохамедовна принимает в «Сеть стоматологических клиник СЕМЕЙНАЯ СТОМАТОЛОГИЯ» в Санкт-Петербурге. Стаж 6 лет. Специализируется на ортодонтии, по которым клиника оказывает 7 услуг. Имеет 2 работы до/после в портфолио. Для уточнения дополнительной информации о специалисте или записи на прием можно позвонить по телефону
+7 (812)Показать телефон
. Также 32top представляет форму онлайн расписания, через которую можно записаться к специалисту на свободную дату и время.
Где принимает:
-
Сеть стоматологических клиник СЕМЕЙНАЯ СТОМАТОЛОГИЯ м. Комендантский проспект пр-т Комендантский, д. 34Цена приема: от 1000 ₽Клиника перезвонит в течение 10 минут
-
Клиника перезвонит в течение 10 минут
-
Сеть стоматологических клиник СЕМЕЙНАЯ СТОМАТОЛОГИЯ м. Комендантский проспект пл. Комендантская, д. 8Цена приема: от 1000 ₽
-
Опыт 6 лет
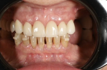
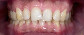
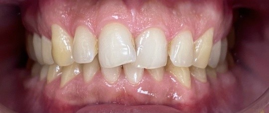
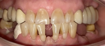
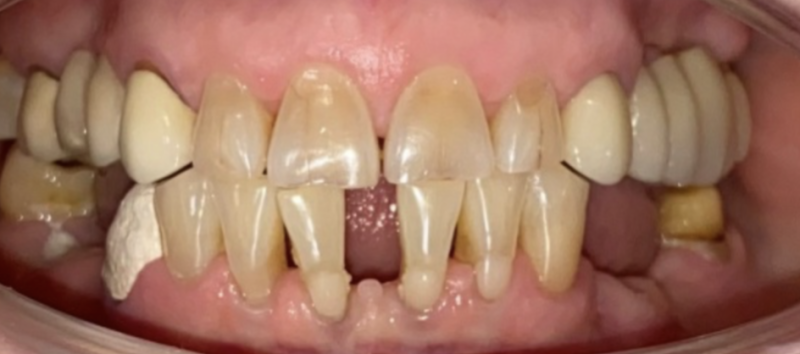
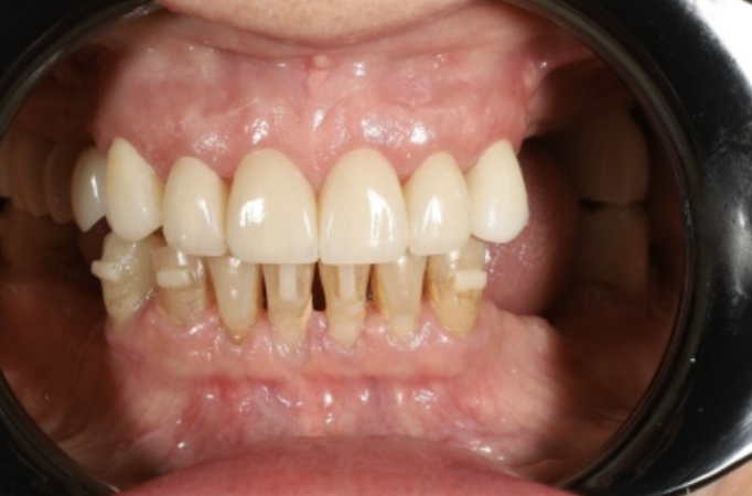
2 работы в портфолио
Помогите другим сделать правильный выбор — оставьте свой отзыв о докторе
Услуги врача (19)
Ортодонтия
Ортодонтия в Санкт-Петербурге
Установка брекетов
от 50 500 ₽
до 81 500 ₽
за 1 челюсть
Снятие брекетов
от 6 000 ₽
за 1 челюсть
Установка элайнеров
от 230 000 ₽
на 1 челюсть
Еще услуги
Все цены носят ознакомительный характер.
Точную цену вы сможете получить только после консультации специалиста.
Звоните по телефону:
Нашли неточность?
Сообщите нам об ошибке