Стоматолог Колодяжный Александр Владимирович — цены, отзывы, стаж — Принимает в Санкт-Петербурге (СПб)

Колодяжный Александр Владимирович

Колодяжный Александр Владимирович - фотография

5.0
Рейтинг: 5.0
Отзывов: 2
Положительных: 2
Отрицательных: 0
Последний : 451 дн. назад
2 отзыва
стоматолог-ортопед
гнатолог
Стаж 18 лет
Колодяжный Александр Владимирович принимает в «Клиника ортодонтии, гнатологии и эстетической стоматологии МАЙ ОРТ НА МОСКОВСКОМ» в Санкт-Петербурге. Стаж 18 лет. Специализируется на ортопедии и гнатологии, по которым клиника оказывает 9 услуг. Имеет 7 работ до/после в портфолио. Квалификация специалиста подтверждена 14 лицензиями, сертификатами и наградами. Для уточнения дополнительной информации о специалисте или записи на прием можно позвонить по телефону
+7 (812)Показать телефон
. Занимает 20 место в рейтинге гнатологов 32top в вашем городе. Также 32top представляет форму онлайн расписания, через которую можно записаться к специалисту на свободную дату и время.
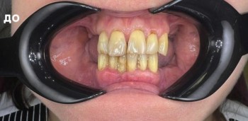
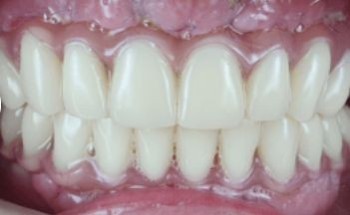
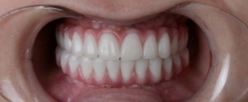
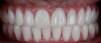
7 работ в портфолио
14 сертификатов
Опыт 18 лет

Колодяжный Александр Владимирович: портфолио (7)

Отзывы о враче Колодяжный Александр Владимирович

Рейтинг: 5
Отзывов: 2
Положительных: 2
Отрицательных: 0
Последний: 451 дн. назад
5.0
Почему нашим отзывам можно доверять?
После приема Пациент записывался в клинику через 32top. После приёма мы позвонили ему и получили отзыв.
12 февраля 2025 г.
1 2 3 4 5
Клиника и доктор Колодяжный А.В. произвели на меня отличное впечатление! Получила самую подробную и качественную консультацию за все время моего опыта посещения стоматологий. Теперь планирую сделать протезирование именно здесь.
9 октября 2023 г.
1 2 3 4 5
Я хочу выразить свою величайшую признательность и благодарность, поблагодарить доктора ортопеда - стоматолога, Колодяжного Александра Владимировича, за золотые его ручки, за высокий профессионализм своего дела, за чуткое и профессиональное отношение к пациенту, за доброту, терпение, за мою красивую голливудскую улыбку, ювелирная работа, доктор от бога. Я очень рада, что именно я попала к нему. Я сама с Мурманской области, провели мне операцию вверху и внизу все на 4-х, "All - on 4", доктор подобрал мне цвет зубов, цвет как свои, даже лучше чем свои, протезирование и цвет, как-будто всегда они и были здесь. Высокий профессионализм. Специалист самого высокого уровня. Профессионал высшего качества. С большой уверенностью рекомендую доктора, кто нуждается в помощи. Спасибо большое, дорогой мой доктор! С великим почтением и уважением к Вам, ваш пациент, Лилия.
    Помогите другим сделать правильный выбор — оставьте свой отзыв о докторе
    Написать отзыв

    Услуги стоматолога в других клиниках

    Эстетическая стоматология
    Установка виниров от 29 000 ₽ до 82 600 ₽
    Установка скайсов от 1 500 ₽ до 5 500 ₽
    Еще услуги
    Протезирование зубов
    Лечение адентии от 25 000 ₽ до 110 000 ₽
    Установка коронки на зуб от 4 800 ₽ до 105 000 ₽
    Еще услуги