Стоматолог Джамалова Аминат Магомедовна — цены, отзывы, стаж — Принимает в Санкт-Петербурге (СПб)

Джамалова Аминат Магомедовна

Джамалова Аминат Магомедовна - фотография
стоматолог-ортодонт
Стаж 7 лет
Джамалова Аминат Магомедовна принимает в «Стоматологическая клиника БЛАНКО» в Санкт-Петербурге. Стаж 7 лет. Специализируется на ортодонтии, по которой клиника оказывает 10 услуг. Имеет 5 работ до/после в портфолио. Квалификация специалиста подтверждена 9 лицензиями, сертификатами и наградами. Для уточнения дополнительной информации о специалисте или записи на прием можно позвонить по телефону
+7 (995)Показать телефон
. Также 32top представляет форму онлайн расписания, через которую можно записаться к специалисту на свободную дату и время.

Где принимает:

9 сертификатов
5 работ в портфолио
Опыт 7 лет

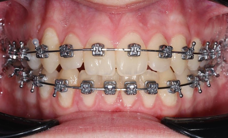
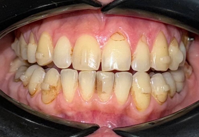
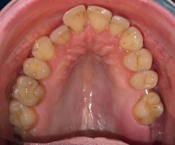
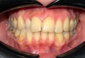
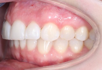
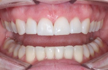
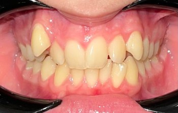
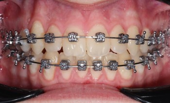
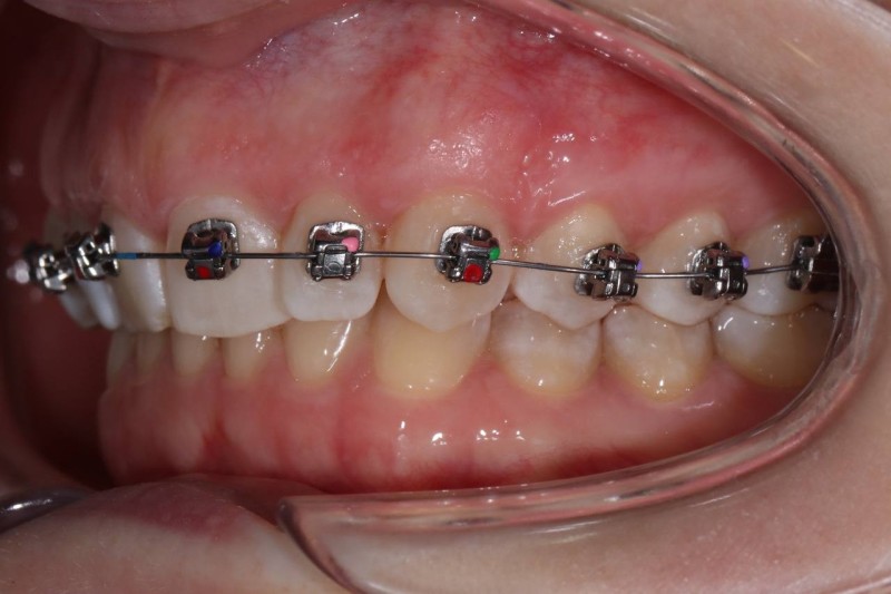
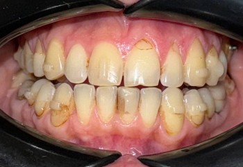
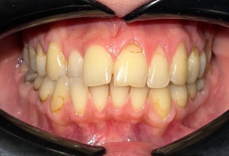
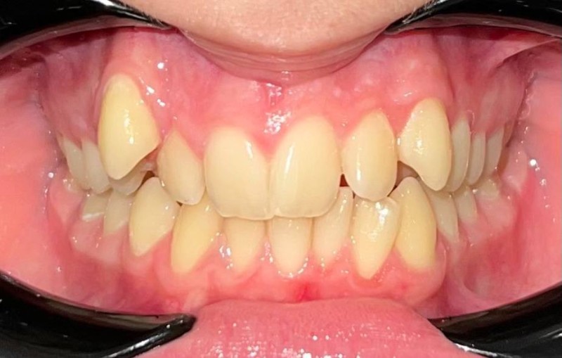
Джамалова Аминат Магомедовна: портфолио (5)

Отзывы о враче Джамалова Аминат Магомедовна

Почему нашим отзывам можно доверять?
После приема Пациент записывался в клинику через 32top. После приёма мы позвонили ему и получили отзыв.
11 декабря 2024 г.
1 2 3 4 5
В этой клинике наблюдаюсь давно, с её открытия. Удобно по месту расположения, хотя есть стоматология еще ближе, но туда я точно ни ногой. В Бланко отзывчивый, внимательный персонал, я бы даже сказал внимательный к малейшим мелочам, высокая ответственность к своей работе, действительно качество работы на высоте. У многих врачей был на лечении это и Шамиль Тагирович, и Никита Анатольевич, Аминат Магомедовна. Я даже не могу сравнивать их со специалистами других клиник где я был, это небо и земля. Они профессионалы своего дела.
Добрый день. Спасибо большое, что выбрали нас!
    Помогите другим сделать правильный выбор — оставьте свой отзыв о докторе
    Написать отзыв

    Услуги стоматолога в других клиниках

    Ортодонтия
    Лечение аномалии зуба от 8 200 ₽ до 46 300 ₽
    Виды брекетов по материалу
    Еще услуги