Стоматолог Волкова (Дищенко) Алена Сергеевна — цены, отзывы, стаж — Принимает в Санкт-Петербурге (СПб)

Волкова (Дищенко) Алена Сергеевна

Волкова (Дищенко) Алена Сергеевна - фотография

4.4
Рейтинг: 4.4
Отзывов: 5
Положительных: 4
Отрицательных: 1
Последний : 279 дн. назад
5 отзывов
стоматолог-терапевт
Стаж 10 лет
Волкова (Дищенко) Алена Сергеевна принимает в «Цифровая стоматология ДЕНТАПЛАН» в Санкт-Петербурге. Стаж 10 лет. Специализируется на терапии, по которой клиника оказывает 19 услуг. Имеет 6 работ до/после в портфолио. Квалификация специалиста подтверждена 20 лицензиями, сертификатами и наградами. Для уточнения дополнительной информации о специалисте или записи на прием можно позвонить по телефону
+7 (812)Показать телефон
. Также 32top представляет форму онлайн расписания, через которую можно записаться к специалисту на свободную дату и время.

Где принимает:

Опыт 10 лет
20 сертификатов
6 работ в портфолио
2 видеоотзыва

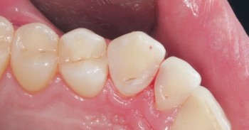
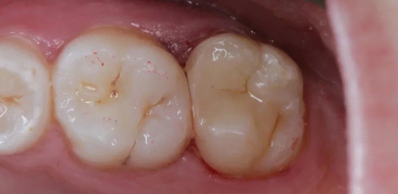
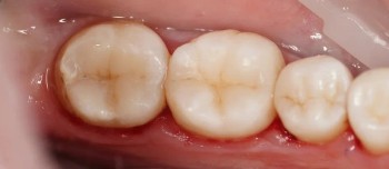
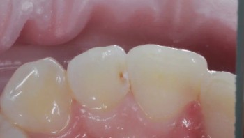
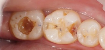
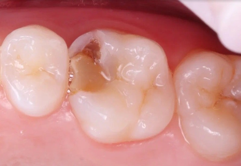
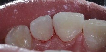
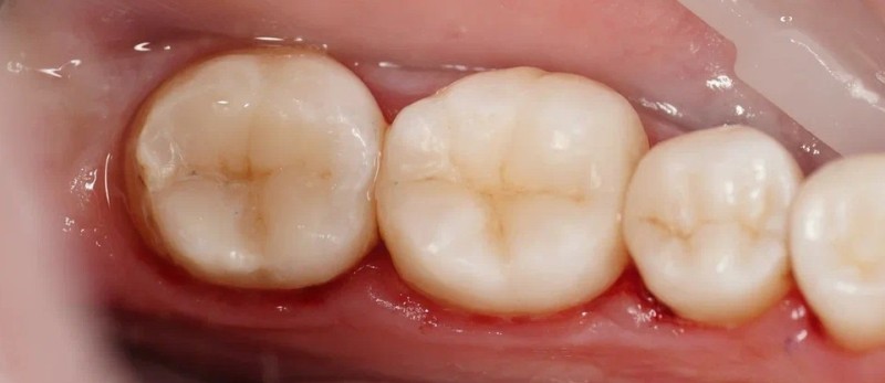
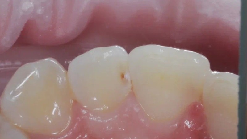
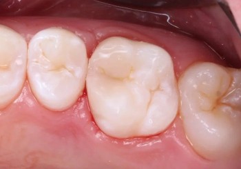
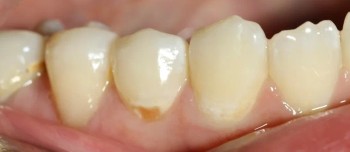
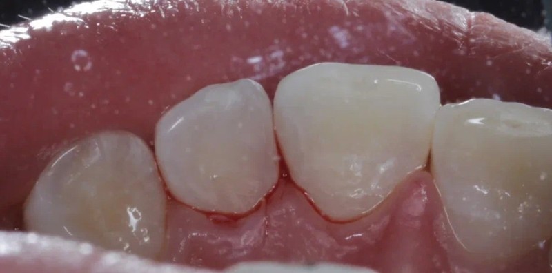
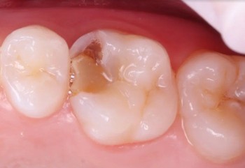
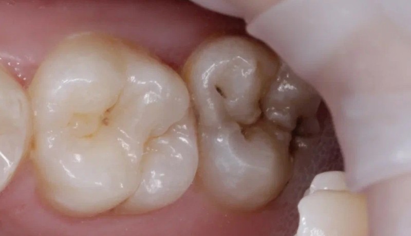
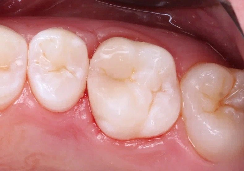
Волкова (Дищенко) Алена Сергеевна: портфолио (6)

Отзывы о враче Волкова (Дищенко) Алена Сергеевна

Рейтинг: 4.4
Отзывов: 5
Положительных: 4
Отрицательных: 1
Последний: 279 дн. назад
4.4
Почему нашим отзывам можно доверять?
2 августа 2025 г.
1 2 3 4 5
Клиникой и врачом недовольна. Пришла на консультацию к терапевту Волковой А.С. с одной проблемой и со своими снимками. Ей снимки не понравились, заставили меня делать еще раз снимок, ей опять не понравилось качество, пошла делать второй раз, а это стоит денег и получаю еще дозу облучения. После этого она так и не решила мою проблему, а стала навязывать имплантацию и консультацию ортопеда. Отправилась к ортопеду, он после осмотра составил смету на огромную сумму, которая мне вообще не посильна. Ориентир клиники - деньги и навязывание лишних процедур.
26 мая 2025 г.
1 2 3 4 5
Первый раз посетила клинику около года назад, было 2 подозрительных зуба, глубокий кариес, на грани удаления нерва. Здесь их под микроскопом пролечила врач Волкова, зубы удалось сохранить живыми. Результатом лечения довольна. Теперь раз в пару месяцев посещаю клинику, долечиваю другие зубы, качество чистки понравилось, записалась на удаление восьмерок к хирургу Владимирову, далее планирую установку брекетов. Атмосфера в клинике приятная, классный интерьер, сотрудники на ресепшне внимательные. На территории через дорогу есть бесплатная парковка (что актуально, тк клиника находится в центре города), удобно приезжать и на авто.
Здравствуйте! Спасибо большое за такой подробный и позитивный отзыв о нашей клинике. Мы очень благодарны, что вы выбрали нас для своего лечения и остались довольны результатами. Нам особенно приятно слышать слова благодарности в адрес нашего врача Волковой Алёны Сергеевны. Ее профессионализм и внимательность к каждому пациенту - одно из главных достоинств нашей команды. Мы рады, что вам комфортно в нашей клинике: начиная от приятной атмосферы и современного интерьера, заканчивая удобными условиями для парковки. Для нас важно, чтобы каждый пациент чувствовал себя здесь комфортно и спокойно. Мы также рады, что наш бот клиники помогает вам следить за своими записями и бонусами. Это один из способов сделать процесс взаимодействия с нами более удобным и прозрачным. Желаем вам крепкого здоровья! Пусть поводов для улыбок будет как можно больше! До встречи на плановых приемах! С улыбкой, управляющий цифровой стоматологией "Dentaplan" Скидан Ольга Сергеевна
21 августа 2024 г.
1 2 3 4 5
Спешу поделиться своим опытом лечения у замечательного стоматолога-терапевта Алёны Сергеевны Волковой. У меня был застарелый пульпит на зубе под коронкой. Несколько раз лечила в других клиниках, но воспаление возвращалось. Решила обратиться в Дентаплан по совету коллеги. Алёна Сергеевна сразу расположила к себе своим профессионализмом и чутким отношением. Она использовала операционный микроскоп, чтобы скрупулезно обработать все корневые каналы. Оказалось, в одном из каналов был обломок инструмента, оставшийся от прошлого лечения! Алёна Сергеевна смогла его аккуратно извлечь. На удивление, всё лечение прошло абсолютно безболезненно и за один визит. Хотя раньше мне говорили, что нужно как минимум 2-3 посещения. Также Алёна Сергеевна обучила меня правильной гигиене и посоветовала подходящие средства для домашнего ухода. Прошло 4 месяца, как я забыла о своей проблеме! Планирую регулярно ходить к Алёне Сергеевне на профилактику. Лучшего стоматолога я ещё не встречала!
Здравствуйте! Спасибо за отзыв. Мнение пациентов для нас очень важно. Нам очень приятно, что вы довольны результатами лечения. Желаем, чтобы дальше всё складывалось замечательно! _______________________________________________________________________________ С улыбкой, управляющий цифровой стоматологией "Dentaplan" Скидан Ольга Сергеевна
17 августа 2024 г.
1 2 3 4 5
Попала в стоматологию Дентаплан по рекомендации коллеги. У меня возникли проблемы с зубом - откололся кусочек. Была на приеме у Алены Сергеевны: внимательно осмотрели зуб, сделали снимок. Восстановили пломбой, анестезия отличная, я ничего не почувствовала, доктор - лапушка. Пломбу поставили максимально ювелирно, не отличить от родного зуба. А еще мне понравилось современное оборудование и дружелюбная атмосфера. Спасибо!
Здравствуйте! Спасибо. Рекомендация – лучшая оценка нашей работы. Очень приятно, что вы отметили компетентность нашего доктора. Желаем вам здоровья и всех благ! _______________________________________________________________________________ С улыбкой, управляющий цифровой стоматологией "Dentaplan" Скидан Ольга Сергеевна
16 июля 2024 г.
1 2 3 4 5
Очень боялась начинать лечение кариеса на трех зубах, но когда они начали болеть я поняла, что уже пора обращаться к врачу. Коллеги порекомендовали обратиться к Волковой Алёне из клиники Дентаплан. Записалась на приём при первой возможности и не пожалела. Она избавила меня от адской боли и вылечила все мои зубы. Также хочу поблагодарить гигиениста Зацаринного, который не причинив мне ни капельки боли и дискомфорта провел тщательную чистку, убрал налёт и камни. Порадовал отличный сервис в клинике, персонал доброжелательный и относится к пациентам с уважением. Спасибо!
Здравствуйте! Благодарим вас за отзыв и внимание к нашей работе. Мы стараемся соответствовать критериям качества каждого пациента. Вы всегда можете на нас рассчитывать. С улыбкой, управляющий цифровой стоматологией "Dentaplan" Скидан Ольга Сергеевна
    Помогите другим сделать правильный выбор — оставьте свой отзыв о докторе
    Написать отзыв

    Услуги стоматолога в других клиниках

    Терапевтическая стоматология
    Лечение кариеса от 3 500 ₽ до 14 500 ₽
    Лечение пульпита от 5 000 ₽ до 35 000 ₽
    Еще услуги
    Эстетическая стоматология
    Виды отбеливания
    Отбеливание Zoom
    от 17 500 ₽ до 50 000 ₽
    Еще услуги