Стоматолог Бовкун (Карюкина) Евгения Игоревна — цены, отзывы, стаж — Принимает в Санкт-Петербурге (СПб)

Бовкун (Карюкина) Евгения Игоревна

Бовкун (Карюкина) Евгения Игоревна - фотография

5.0
Рейтинг: 5.0
Отзывов: 7
Положительных: 7
Отрицательных: 0
Последний : 158 дн. назад
7 отзывов
стоматолог-ортодонт
Стаж 5 лет
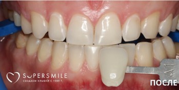
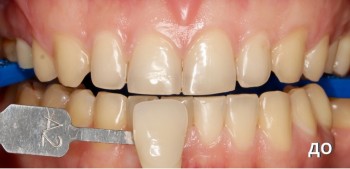
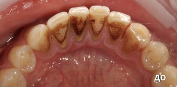
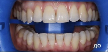
Бовкун (Карюкина) Евгения Игоревна принимает в «Сеть стоматологических клиник ФАКТОР УЛЫБКИ» в Санкт-Петербурге. Стаж 5 лет. Специализируется на ортодонтии, по которой клиника оказывает 7 услуг. Имеет 4 работы до/после в портфолио. Для уточнения дополнительной информации о специалисте или записи на прием можно позвонить по телефону
+7 (812)Показать телефон
. Занимает 9 место в рейтинге стоматологов-ортодонтов 32top в вашем городе. Также 32top представляет форму онлайн расписания, через которую можно записаться к специалисту на свободную дату и время.

Где принимает:

4 работы в портфолио
1 сертификат
Опыт 5 лет

Отзывы о враче Бовкун (Карюкина) Евгения Игоревна

Рейтинг: 5
Отзывов: 7
Положительных: 7
Отрицательных: 0
Последний: 158 дн. назад
5.0
Почему нашим отзывам можно доверять?
1 декабря 2025 г.
1 2 3 4 5
Хочу отметить высокий профессионализм Евгении Игоревны Бовкун. Лечение проходит на самом высоком уровне. Кроме того, она очень душевный и терпеливый врач, что создаёт комфортную атмосферу. Однозначно советую обращаться именно к ней.
Здравствуйте! Мы рады слышать такие положительные отзывы о нашем специалисте Евгении Игоревне Бовкун. Её высокий профессионализм и внимательное отношение к пациентам действительно создают комфортную атмосферу во время лечения. Благодарим вас за вашу рекомендацию и за то, что нашли время поделиться своим опытом. Нам приятно знать, что наши усилия приносят пользу! Желаем здоровья и всего наилучшего! Пожалуйста, рекомендуйте нас своим друзьям и знакомым, чтобы они также могли получать качественное и заботливое стоматологическое лечение. С заботой о Вас, команда стоматологической клиники Super Smile.
15 августа 2023 г.
1 2 3 4 5
Клиника супер, была на проф.чистке зубов у Карюкиной Евгении Игоревны, все быстро и оперативно сделано. Дали советы, ответили на все вопросы. Администрация также очень приятная в работе. Все работники - профессионалы своего дела. Спасибо! Рекомендую
Здравствуйте! Большое спасибо за ваш отзыв. Очень приятно слышать, что вы высоко оценили профессионализм доктора. Мы всегда стремимся оказывать качественное обслуживание и заботиться о наших пациентах. Благодарим за доверие и надеемся видеть вас снова! Желаем здоровья и всего наилучшего! Берегите себя и не забывайте о профилактике. С заботой о Вас, команда Super Smile.
12 июня 2023 г.
1 2 3 4 5
Теперь чистку раз в полгода делаю только в СуперСмайл у доктора Карюкиной Е. И. Лучший спциалист по профгигиене. Очень рекомендую!
Добрый день, большое спасибо за отзыв. Всегда рады помочь. Берегите себя и не забывайте о профилактике. С уважением, команда клиники Super Smile.
23 мая 2023 г.
1 2 3 4 5
Хочу сказать огромное спасибо центру инмплантации СуперСмайл! Несколько лет назад ставила в клинике брекеты, недавно решила сделать профессиональную гигиену, и выбор пал на эту клинику, так как уверена в компетентности врачей. Чистку делала Карюкина Евгения Игоревна, очень приятный врач, все сделала быстро и весь процесс был комфортен. Ещё раз спасибо! Очень рекомендую!
Добрый день, большое спасибо за отзыв. Всегда рады помочь. Берегите себя и не забывайте о профилактике. С уважением, команда клиники Super Smile.
16 мая 2023 г.
1 2 3 4 5
Сегодня впервые посетила данную клинику, осталась очень довольна) На ресепшене встретили очень милые, доброжелательные и просто прекрасные девушки, все объяснили, ничего лишнего) Была на приеме у Карюкиной Евгении Игоревны на профессиональной гигиене полости рта: врач очень внимательная, тоже все подробно рассказала о процедуре, что не маловажно, я делала ее в принципе первый раз в жизни, все прошло безболезненно, результатом безумно довольна) Спасибо за красивую улыбку!
Добрый день, большое спасибо за отзыв. Рады помочь. Берегите себя и не забывайте о профилактике. С уважением, команда клиники Super Smile.
18 апреля 2023 г.
1 2 3 4 5
Хожу в эту стоматологию не первый год. Очень рекомендую. Проф.чистку в городе нигде так хорошо больше не делают. Доктор Карюкина Евгения Игоревна лучшая. Очень качественно, совершенно безболезненно и комфортно).
Добрый день, большое спасибо за отзыв. Рады помочь. Берегите себя и не забывайте о профилактике. С уважением, команда клиники Super Smile.
Добрый день, большое спасибо за отзыв. Рады помочь. Берегите себя и не забывайте о профилактике. С уважением, команда клиники Super Smile.
10 апреля 2023 г.
1 2 3 4 5
Большое спасибо клинике Super smile! Делал чистку у доктора Карюкиной Евгении Игоревной, все очень понравилось, очень качественно, безболезненно, все сделано было на высшем уровне. Хочу заметить что в этой клинике очень хорошее уважительное отношение к пациентам, рекомендую к посещению эту стоматологию)
Добрый день, большое спасибо за отзыв. Рады помочь. Берегите себя и не забывайте о профилактике. С уважением, команда клиники Super Smile.
Добрый день, большое спасибо за отзыв. Рады помочь. Берегите себя и не забывайте о профилактике. С уважением, команда клиники Super Smile.
    Помогите другим сделать правильный выбор — оставьте свой отзыв о докторе
    Написать отзыв

    Услуги врача (15)

    Ортодонтия
    Установка брекетов
    бесплатно
    Снятие брекетов
    бесплатно
    Установка элайнеров
    бесплатно
    Еще услуги
    Все цены носят ознакомительный характер. Точную цену вы сможете получить только после консультации специалиста.
    Звоните по телефону:
    +7 (812)Показать телефон

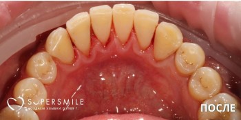
    Бовкун (Карюкина) Евгения Игоревна: портфолио (4)

    Акции и скидки клиники ФАКТОР УЛЫБКИ (14)