Стоматолог Пикалова Альбина Сергеевна — цены, отзывы, стаж — Принимает в Санкт-Петербурге (СПб)

Пикалова Альбина Сергеевна

Пикалова Альбина Сергеевна - фотография
стоматолог-терапевт
Стаж 8 лет
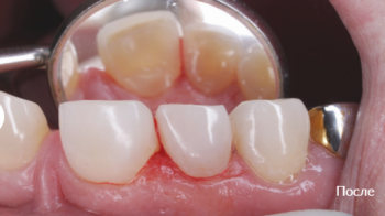
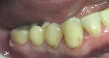
Пикалова Альбина Сергеевна принимает в «Стоматологическая клиника ЛАХТА ДЕНТАЛ» в Санкт-Петербурге. Стаж 8 лет. Специализируется на терапии, по которой клиника оказывает 32 услуги. Имеет 5 работ до/после в портфолио. Для уточнения дополнительной информации о специалисте или записи на прием можно позвонить по телефону
+7 (812)Показать телефон
.

Где принимает:

Опыт 8 лет
5 работ в портфолио

Пикалова Альбина Сергеевна: портфолио (5)

Отзывы о враче Пикалова Альбина Сергеевна

Почему нашим отзывам можно доверять?
28 июля 2024 г.
1 2 3 4 5
Вылечила зубы у врача Пикаловой Альбины Сергеевны. Замечательный специалист. Работает оперативно и качественно, не каждому комфортно долго сидеть с открытым ртом. Внимательна к деталям. Альбина Сергеевна сразу вызывает доверие, ты полностью полагаешься на врача и чувствуешь себя спокойно во время процедуры. Страха нет вовсе. Рекомендую врача и клинику с отличным сервисом!
    Помогите другим сделать правильный выбор — оставьте свой отзыв о докторе
    Написать отзыв

    Услуги стоматолога в других клиниках

    Терапевтическая стоматология
    Лечение кариеса от 3 500 ₽ до 14 500 ₽
    Лечение пульпита от 5 000 ₽ до 35 000 ₽
    Еще услуги