Стоматолог Машкин Денис Андреевич — цены, отзывы, стаж — Принимает в Санкт-Петербурге (СПб)

Машкин Денис Андреевич

Машкин Денис Андреевич - фотография

5.0
Рейтинг: 5.0
Отзывов: 5
Положительных: 5
Отрицательных: 0
Последний : 359 дн. назад
5 отзывов
стоматолог-терапевт
стоматолог-гигиенист
стоматолог-эндодонтист
гнатолог
Стаж 3 года
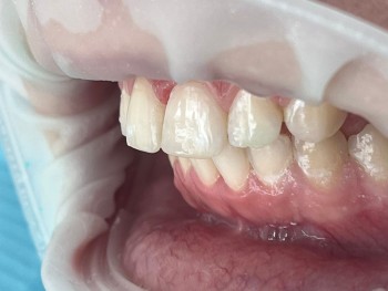
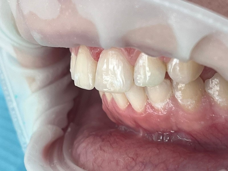
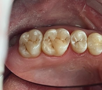
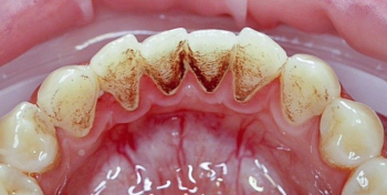
Машкин Денис Андреевич принимает в «Стоматология ДИАДЕМА» в Санкт-Петербурге. Стаж 3 года. Специализируется на терапии, гигиене полости рта, эндодонтическом лечении и гнатологии, по которым клиника оказывает 28 услуг. Имеет 9 работ до/после в портфолио. Квалификация специалиста подтверждена 8 лицензиями, сертификатами и наградами. Для уточнения дополнительной информации о специалисте или записи на прием можно позвонить по телефону
+7 (812)Показать телефон
. Также 32top представляет форму онлайн расписания, через которую можно записаться к специалисту на свободную дату и время.

Где принимает:

Опыт 3 года
8 сертификатов
9 работ в портфолио

Отзывы о враче Машкин Денис Андреевич

Рейтинг: 5
Отзывов: 5
Положительных: 5
Отрицательных: 0
Последний: 359 дн. назад
5.0
Пациенты отмечают:
Профессионализм
Вежливость
Подробные объяснения
Тщательный осмотр
Аккуратность
Лечение помогло
Почему нашим отзывам можно доверять?
13 мая 2025 г.
1 2 3 4 5
Пришла на консультацию в стоматологию диадема, хотела пролечить все зубы и иметь лучезарную улыбку! Моим лечением занимался доктор Машкин Денис Андреевич. Денис Андреевич настоящий профессионал своего дела, очень внимательный специалист. Каждый прием проходил в очень комфортной обстановке, я не чувствовала ни боли, ни дискомфорта. Отдельно хотела бы отметить плей-лист доктора. В клинике идеальная чистота и высокий уровень сервиса. Администраторы очень вежливые и заботливые! Уже порекомендовала Диадему всем друзьям и знакомым!
Здравствуйте Спасибо за Ваш отзыв и высокую оценку С наилучшими пожеланиями, администрация стоматологии Диадема
5 февраля 2025 г.
1 2 3 4 5
Однозначно лучшая клиника в городе. Всем рекомендую. Особенно терапевта Дениса Андреевича и хирурга Дмитрия Владимировича.Если ищите место для лечения и имплантации , то это сюда.
Здравствуйте Спасибо за Ваш отзыв и высокую оценку С наилучшими пожеланиями, администрация стоматологии Диадема
5 января 2025 г.
1 2 3 4 5
Лечила кариесы в клинике. Врач был Машкин Денис Андреевич.по правде говоря , думала что все эти красивые пломбы только на картинках, но оказалось нет. Зуб после лечения выглядит как свой родной и совсем новый. И совсем не дорого , круто
Здравствуйте Спасибо за Ваш отзыв и высокую оценку С наилучшими пожеланиями, администрация стоматологии Диадема
1 июля 2024 г.
1 2 3 4 5
Очень аккуратный и внимательный врач. Делает красивые реставрации зубов
5 мая 2024 г.
1 2 3 4 5
Поистине качественная, уникальная и честная клиника. Администраторы очень вежливы, доброжелательны, руководитель отдела сервиса Таисия очень внимательная и заботливая, врачи - таланты. Работают с современными технологиями, прислушиваются к клиенту, очень ответственно подходят к лечению. Отдельная благодарность доктору Машкину Денису Андреевичу за высокий профессионализм и великолепное качество проделанной работы. Спасибо за ваш труд!
Здравствуйте Спасибо за Ваш отзыв и высокую оценку С наилучшими пожеланиями, администрация стоматологической клиники Диадема
    Помогите другим сделать правильный выбор — оставьте свой отзыв о докторе
    Написать отзыв

    Услуги врача (41)

    Терапевтическая стоматология
    Лечение кариеса
    бесплатно
    Лечение кариеса ICON
    бесплатно
    Лечение поверхностного кариеса
    бесплатно
    Еще услуги
    Профгигиена
    Комплексная гигиена полости рта
    бесплатно
    Чистка зубов Air-flow
    бесплатно
    Ультразвуковая чистка зубов
    бесплатно
    Еще услуги
    Все цены носят ознакомительный характер. Точную цену вы сможете получить только после консультации специалиста.
    Звоните по телефону:
    +7 (812)Показать телефон

    О стоматологе

    Основные профильные услуги:
    Лечение кариеса любой сложности;
    Лечение каналов зубов;
    Владеет навыками работы с микроскопом;
    Лечение пульпита и переодонтита;
    Художественная реставрация зубов;
    Композитные виниры;
    Отбеливание зубов.

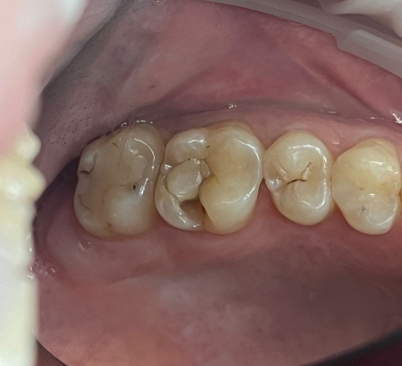
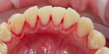
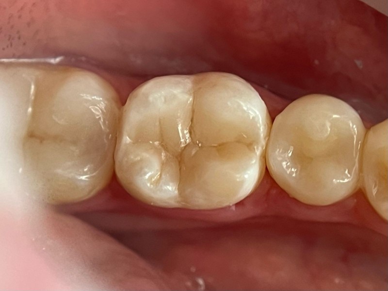
    Машкин Денис Андреевич: портфолио (9)

    Акции и скидки клиники ДИАДЕМА (12)