Стоматолог Нуриджанян Агаси Степанович — цены, отзывы, стаж — Принимает в Санкт-Петербурге (СПб)

Нуриджанян Агаси Степанович

Нуриджанян Агаси Степанович - фотография
стоматолог-терапевт
детский стоматолог
Стаж 6 лет
Нуриджанян Агаси Степанович принимает в «КЛИНИКА ДОКТОРА РААДА» в Санкт-Петербурге. Стаж 6 лет. Специализируется на терапии и детской стоматологии, по которым клиника оказывает 14 услуг. Имеет 2 работы до/после в портфолио. Для уточнения дополнительной информации о специалисте или записи на прием можно позвонить по телефону
+7 (812)Показать телефон
.

Где принимает:

Опыт 6 лет
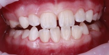
2 работы в портфолио

Нуриджанян Агаси Степанович: портфолио (2)

Отзывы о враче Нуриджанян Агаси Степанович

Почему нашим отзывам можно доверять?
17 февраля 2024 г.
1 2 3 4 5
В данной клинике проходила лечение кариеса и ортодонтическую консультацию у Нуриджаняна А.С. и Прокопюк М.В. Врачи внимательные, приятные в подходе к пациенту, на приеме подробно объясняли нюансы, связанные с текущим и дальнейшим лечением. Сама клиника просторная, весь персонал приветливый, вежливый, так что остались только положительнве впечатления))
    Помогите другим сделать правильный выбор — оставьте свой отзыв о докторе
    Написать отзыв

    Услуги стоматолога в других клиниках

    Терапевтическая стоматология
    Лечение кариеса от 3 500 ₽ до 14 500 ₽
    Лечение пульпита от 5 000 ₽ до 35 000 ₽
    Еще услуги
    Детская стоматология
    Лечение молочных зубов от 1 600 ₽ до 10 000 ₽
    Удаление зубов у детей от 740 ₽ до 8 250 ₽
    Еще услуги