Стоматолог Мельников Алексей Владимирович — цены, отзывы, стаж — Принимает в Санкт-Петербурге (СПб)

Мельников Алексей Владимирович

Мельников Алексей Владимирович - фотография

5.0
Рейтинг: 5.0
Отзывов: 47
Положительных: 47
Отрицательных: 0
Последний : 30 дн. назад
47 отзывов
3 место в рейтинге
стоматолог-ортопед
стоматолог-хирург
стоматолог-имплантолог
гнатолог
Стаж 15 лет
Мельников Алексей Владимирович принимает в «ЦЕНТР ЦИФРОВОЙ ИМПЛАНТАЦИИ И ПРОТЕЗИРОВАНИЯ» в Санкт-Петербурге. Стаж 15 лет. Специализируется на ортопедии, хирургии, имплантологии и гнатологии, по которым клиника оказывает 57 услуг. Имеет 16 работ до/после в портфолио. Квалификация специалиста подтверждена 11 лицензиями, сертификатами и наградами, а опыт 47 отзывами пациентов, из которых 47 положительные. Для уточнения дополнительной информации о специалисте или записи на прием можно позвонить по телефону
+7 (812)Показать телефон
. Занимает 3 место в рейтинге стоматологов вашего города. Также 32top представляет форму онлайн расписания, через которую можно записаться к специалисту на свободную дату и время.

Где принимает:

Опыт 15 лет
11 сертификатов
16 работ в портфолио
3 место в рейтинге

Отзывы о враче Мельников Алексей Владимирович

Рейтинг: 5
Отзывов: 47
Положительных: 47
Отрицательных: 0
Последний: 30 дн. назад
5.0
Почему нашим отзывам можно доверять?
После приема Пациент записывался в клинику через 32top. После приёма мы позвонили ему и получили отзыв.
8 апреля 2026 г.
1 2 3 4 5
Выбирал врача гнатолога. Обратился в эту клинику, администраторы записали на прием к Алексею Владимировичу. Приемом остался доволен, врач опытный и внимательный, приятное отношение к пациенту, доступно объяснил как будет проходить лечение, составил план. Я остался доволен консультацией, буду продолжать лечение.
После приема Пациент записывался в клинику через 32top. После приёма мы позвонили ему и получили отзыв.
21 октября 2024 г.
1 2 3 4 5
Вопрос протезирования - весьма серьезный. Не хочется попасть в руки не грамотного специалиста и потом переделывать, ведь скупой платит дважды, как известно. Выбрал клинику по отзывам друзей и ни капли не пожалел. Приятная атмосфера, уютный интерьер, качественное обслуживание. Был у Мельникова Алексея Владимировича, очень толковый специалист, рассказал мне все про мою проблему и предложил несколько путей решений. Заинтересован в решении вопроса, идет легко на контакт. Администраторы тоже очень вежливы. Меня все устроило. Спасибо!
После приема Пациент записывался в клинику через 32top. После приёма мы позвонили ему и получили отзыв.
30 июля 2024 г.
1 2 3 4 5
На мой взгляд современная клиника, достаточно продвинутая. Понравились новейшие интересные технологии работы в сфере имплантации и протезировании. Я постоянный клиент и со мной была проведена колоссальная работа. Начиная от удаления зубов, лечение каналов, внедрение костного материала и заканчивая имплантацией. Это огромный труд многих специалистов клиники, хотел бы отметить Мельникова А. В. это хирург и имплантолог и терапевт Ким Я. Е. огромное спасибо за их вклад.
После приема Пациент записывался в клинику через 32top. После приёма мы позвонили ему и получили отзыв.
15 июля 2024 г.
1 2 3 4 5
Искал для себя квалифицированного врача для установки имплантатов. Слышал о докторе Мельникове Алексее Владимировиче и решил выбрать его. К счастью, клиника, в которой он работает, находится недалеко от моего дома, что явилось ещё одной причиной для выбора. После процедуры хотелось бы отметить, что результат превзошел все ожидания! Хочу выразить свою благодарность доктору, восхищение и похвалу за его профессиональное мастерство. По всем параметрам клиники я остался полностью удовлетворенным. Без сомнения, я готов рекомендовать эту клинику и собственно доктора Мельникова каждому, кто в поисках высококлассного стоматолога.
После приема Пациент записывался в клинику через 32top. После приёма мы позвонили ему и получили отзыв.
17 июня 2023 г.
1 2 3 4 5
Обслуживание хорошее, врачи внимательные, лечением довольна. Посещала протезиста Алексея Владимировича очень внимательный, вежливый, профессиональный врач. В стоматологии тихо спокойно, маленькая, уютная клиника. С обслуживанием всё в порядке.
После приема Пациент записывался в клинику через 32top. После приёма мы позвонили ему и получили отзыв.
5 октября 2022 г.
1 2 3 4 5
Мне важно было, чтобы клиника находилась рядом с домом. Обращаюсь не в первый раз. Нравится отношение, вежливость персонала. Всегда есть удобное время записаться к врачам. Лечу зубы всегда у двух врачей (Мельников Алексей и Халипова Евгения). Врачи опытные, грамотные, любят свою работу. Мне провели в этот раз имплантацию. Перенесла я всё отлично. Никаких проблем не возникло. Цены на услуги средние. Жду следующего этапа лечения. А для пенсионеров хотелось бы увидеть специальную систему скидок.
После приема Пациент записывался в клинику через 32top. После приёма мы позвонили ему и получили отзыв.
16 февраля 2022 г.
1 2 3 4 5
Постоянный клиент стоматологии больше десяти лет. Меня все устраивает. В клинике сделано все очень современно, всегда чисто. Удобная зона ожидания для пациентов, приветливые администраторы. Лечил кариес, удалял зубы, также мне ставили коронки. Качеством и обслуживанием доволен. Врачи у которых я прохожу лечение это Мельников Алексей Владимирович и Похилько Надежда Геннадьевна, компетентные и ответственные специалисты.
После приема Пациент записывался в клинику через 32top. После приёма мы позвонили ему и получили отзыв.
29 ноября 2021 г.
1 2 3 4 5
Пятнадцать лет выбираю эту стоматологию, мне тут очень нравится. Администраторы всегда встречают с улыбкой. Долго я не решалась на протезирование, но все таки пришлось. Врач Мельников А.В. провел осмотр, опросил об общем состоянии. Затем все подробно объяснил, смоделировали результат. Меня все устроило. Операция по имплантации прошла быстро и без боли. Потом, когда все зажило и ушли болевые ощущения мне зафиксировали несъёмный протез. Мои новые зубы меня радуют!
После приема Пациент записывался в клинику через 32top. После приёма мы позвонили ему и получили отзыв.
7 ноября 2021 г.
1 2 3 4 5
Года два обращаюсь сюда со своими проблемами. Посоветовали мне друзья. Клиника очень хорошая по всем параметрам. За протезированием я записался на прием к стоматологу Алексею Владимировичу Мельникову. Это молодой, но очень опытный специалист. Мы с ним обсудили все варианты и остановились на самом лучшем. Работа была проведена очень большая, я остался доволен врачом и результатом. Все было сделано очень точно и аккуратно.
После приема Пациент записывался в клинику через 32top. После приёма мы позвонили ему и получили отзыв.
14 мая 2021 г.
1 2 3 4 5
У меня в стоматологии проходил лечение отец. Очень понравилась клиника. Приветливые администраторы, замечательный доктор Алексей Владимирович Мельников. Ходили не однократно, если будут какие-либо проблемы мы обязательно к вам еще обратимся. Я во время лечения находилась в холле. Мне предложили чай/кофе. В стоматологии есть обработка рук санитайзерами. На Новый Год подарили календарик. Отцу очень понравилось, он человек в возрасте - 85 лет! Нашли к нему подход, провели ортопедическое лечение с максимальным комфортом!
    Помогите другим сделать правильный выбор — оставьте свой отзыв о докторе
    Написать отзыв

    Награды врача

    2 место по итогам Народного рейтинга 2024

    Услуги врача (26)

    Эстетическая стоматология
    Отбеливание зубов
    от 11 000 ₽ до 58 000 ₽ за 1 челюсть
    Наращивание зубов
    от 6 000 ₽ за 1 зуб
    Установка виниров
    от 40 000 ₽ до 60 000 ₽ за 1 зуб
    Еще услуги
    Хирургическая стоматология
    Удаление зубов
    от 5 000 ₽ до 18 000 ₽ за 1 зуб
    Удаление кисты и гранулемы зуба
    от 18 000 ₽ за 1 зуб
    Лоскутные операции
    от 5 000 ₽ до 20 000 ₽
    Еще услуги
    Протезирование зубов
    Установка коронки на зуб
    от 25 000 ₽ до 50 000 ₽ за 1 зуб
    Установка бюгельного протеза
    от 135 000 ₽ за 1 челюсть
    Установка мостовидного протеза
    от 60 000 ₽ до 80 000 ₽
    Еще услуги
    Все цены носят ознакомительный характер. Точную цену вы сможете получить только после консультации специалиста.
    Звоните по телефону:
    +7 (812)Показать телефон

    Стоматологические ассоциации

    • Действующий член РСО

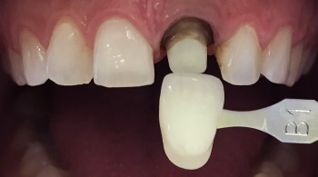
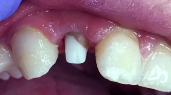
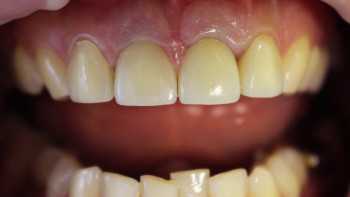
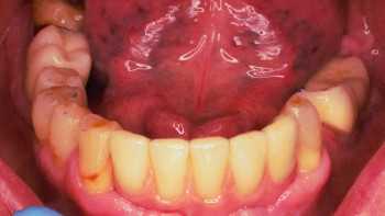
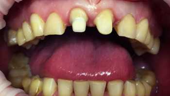
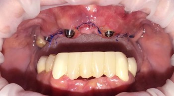
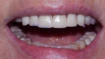
    Мельников Алексей Владимирович: портфолио (16)

    Акции и скидки клиники ЦЕНТР ЦИФРОВОЙ ИМПЛАНТАЦИИ И ПРОТЕЗИРОВАНИЯ (7)