Стоматолог Боровикова Анастасия Сергеевна — цены, отзывы, стаж — Принимает в Санкт-Петербурге (СПб)

Боровикова Анастасия Сергеевна

Боровикова Анастасия Сергеевна - фотография
стоматолог-терапевт
стоматолог-эндодонтист
Стаж 10 лет
Боровикова Анастасия Сергеевна принимает в «Центр стоматологии СУПЕР СМАЙЛ» в Санкт-Петербурге. Стаж 10 лет. Специализируется на терапии и эндодонтическом лечении, по которым клиника оказывает 21 услугу. Имеет 5 работ до/после в портфолио. Для уточнения дополнительной информации о специалисте или записи на прием можно позвонить по телефону
+7 (812)Показать телефон
. Также 32top представляет форму онлайн расписания, через которую можно записаться к специалисту на свободную дату и время.

Где принимает:

Опыт 10 лет
5 работ в портфолио

Отзывы о враче Боровикова Анастасия Сергеевна

Почему нашим отзывам можно доверять?
После приема Пациент записывался в клинику через 32top. После приёма мы позвонили ему и получили отзыв.
25 июня 2024 г.
1 2 3 4 5
У меня серьезная проблема - кисты в зубах. Искала клинику с врачом который бы смог после осмотра предложить грамотное лечение. В этой клинике есть нужный для моей проблемы врач эндодонт, по моему зовут Анастасия Сергеевна и нужное оборудование. Доктор произвела осмотр, дала рекомендации, направила на осмотр и консультацию к ортодонту, а затем будет назначено лечение. Очень понравился профессиональный подход врача, все очень доступно объяснила и показала. Буду продолжать лечение.
Здравствуйте! Благодарим вас за столь положительный отзыв. Приятно слышать, что вы довольны профессионализмом нашего врача и качеством консультации. Мы рады, что вы нашли у нас клинику, соответствующую вашим требованиям, и мы намерены продолжать оказывать вам такую же высокую квалифицированную помощь. Желаем вам скорейшего выздоровления и хорошего самочувствия! Берегите себя и не забывайте о профилактике. С заботой о Вас, команда Super Smile.
    Помогите другим сделать правильный выбор — оставьте свой отзыв о докторе
    Написать отзыв

    Услуги врача (32)

    Терапевтическая стоматология
    Лечение кариеса
    от 6 700 ₽ за 1 зуб
    Лечение кариеса ICON
    от 9 200 ₽ за 1 зуб
    Лечение поверхностного кариеса
    от 7 900 ₽
    Еще услуги
    Все цены носят ознакомительный характер. Точную цену вы сможете получить только после консультации специалиста.
    Звоните по телефону:
    +7 (812)Показать телефон

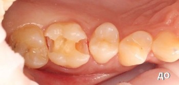
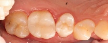
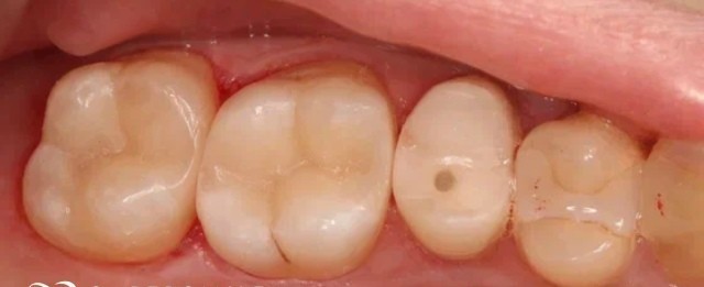
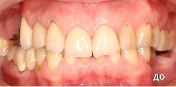
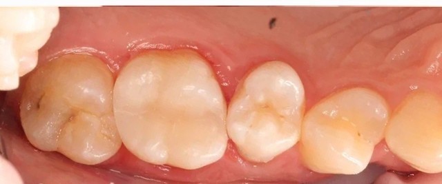
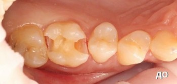
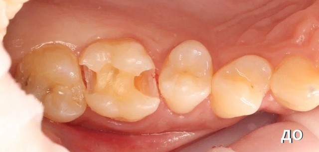
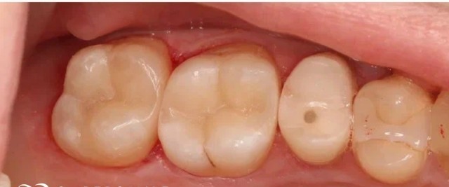
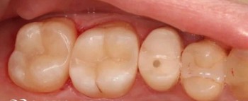
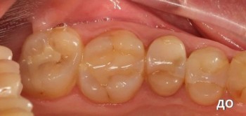
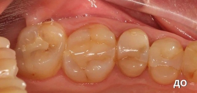
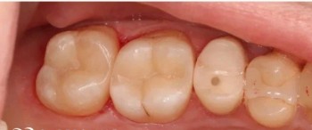
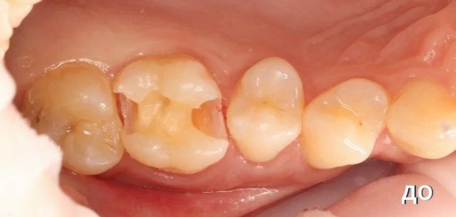
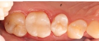
    Боровикова Анастасия Сергеевна: портфолио (5)

    Акции и скидки клиники СУПЕР СМАЙЛ (5)