Стоматолог Васильев Геннадий Георгиевич — цены, отзывы, стаж — Принимает в Санкт-Петербурге (СПб)

Васильев Геннадий Георгиевич

Васильев Геннадий Георгиевич - фотография
стоматолог-ортодонт
детский ортодонт
Стаж 7 лет
Васильев Геннадий Георгиевич принимает в «Цифровая стоматология ДЕНТАПЛАН» в Санкт-Петербурге. Стаж 7 лет. Специализируется на ортодонтии, по которым клиника оказывает 8 услуг. Имеет 6 работ до/после в портфолио. Квалификация специалиста подтверждена 28 лицензиями, сертификатами и наградами. Для уточнения дополнительной информации о специалисте или записи на прием можно позвонить по телефону
+7 (812)Показать телефон
. Также 32top представляет форму онлайн расписания, через которую можно записаться к специалисту на свободную дату и время.

Где принимает:

Опыт 7 лет
6 работ в портфолио
28 сертификатов

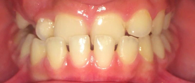
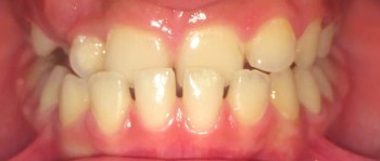
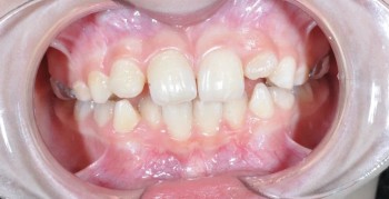
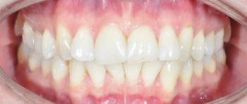
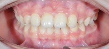
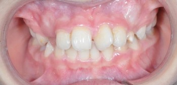
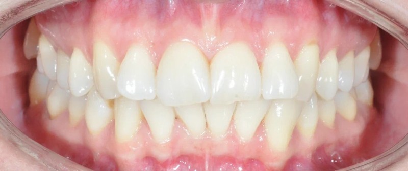
Васильев Геннадий Георгиевич: портфолио (6)

    Помогите другим сделать правильный выбор — оставьте свой отзыв о докторе
    Написать отзыв

    Услуги стоматолога в других клиниках

    Ортодонтия
    Лечение аномалии зуба от 8 200 ₽ до 46 300 ₽
    Виды брекетов по материалу
    Еще услуги