Стоматолог Зацаринный Александр Евгеньевич — цены, отзывы, стаж — Принимает в Санкт-Петербурге (СПб)

Зацаринный Александр Евгеньевич

Зацаринный Александр Евгеньевич - фотография

5.0
Рейтинг: 5.0
Отзывов: 4
Положительных: 4
Отрицательных: 0
Последний : 322 дн. назад
4 отзыва
стоматолог-терапевт
стоматолог-гигиенист
стоматолог-хирург
Стаж 5 лет
Зацаринный Александр Евгеньевич принимает в «Цифровая стоматология ДЕНТАПЛАН» в Санкт-Петербурге. Стаж 5 лет. Специализируется на терапии, гигиене полости рта и хирургии, по которым клиника оказывает 29 услуг. Имеет 8 работ до/после в портфолио. Квалификация специалиста подтверждена 12 лицензиями, сертификатами и наградами. Для уточнения дополнительной информации о специалисте или записи на прием можно позвонить по телефону
+7 (812)Показать телефон
. Занимает 16 место в рейтинге стоматологов-гигиенистов 32top в вашем городе. Также 32top представляет форму онлайн расписания, через которую можно записаться к специалисту на свободную дату и время.

Где принимает:

12 сертификатов
Опыт 5 лет
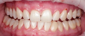
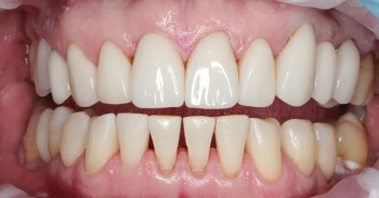
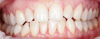
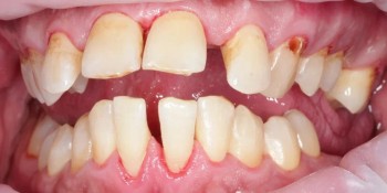
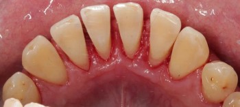
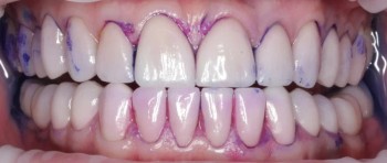
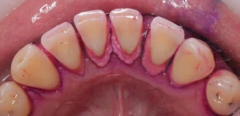
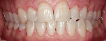
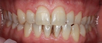
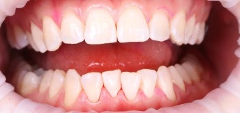
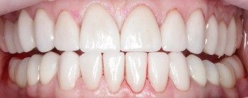
8 работ в портфолио

Зацаринный Александр Евгеньевич: портфолио (8)

Отзывы о враче Зацаринный Александр Евгеньевич

Рейтинг: 5
Отзывов: 4
Положительных: 4
Отрицательных: 0
Последний: 322 дн. назад
5.0
Почему нашим отзывам можно доверять?
После приема Пациент записывался в клинику через 32top. После приёма мы позвонили ему и получили отзыв.
21 июня 2025 г.
1 2 3 4 5
В клинику обратилась на ежегодную профгигиену полости рта. Провел врач Зацаринный А.Е. Мне все понравилось, сделал эту процедуру максимально аккуратно, в этот раз у меня даже десны не поцарапали, обычно это всегда присутствовало при чистке и мне это очень не нравилось. Очень довольна его работой и качеством. Буду теперь ходить к нему.
Добрый день! Спасибо вам огромное за такой теплый и подробный отзыв! Мы очень рады, что вы остались довольны профессиональной гигиеной, проведенной доктором Зацаринным А.Е. Нам особенно приятно слышать, что его аккуратность и внимательное отношение к вашим деснам смогли обеспечить вам комфорт во время процедуры. Доктор Зацаринный А.Е. - настоящий профессионал своего дела, и мы гордимся, что он работает в нашей команде. Мы всегда стремимся к тому, чтобы каждый пациент получал качественную и безболезненную помощь. Ваша благодарность - лучшая награда для нас! Мы будем рады видеть вас снова на профилактических приемах и сделаем все возможное, чтобы каждый ваш визит в нашу клинику был таким же приятным и эффективным. С улыбкой, управляющий цифровой стоматологией "Dentaplan" Скидан Ольга Сергеевна
16 апреля 2025 г.
1 2 3 4 5
В этой клинике я проходила КТ, профессиональную чистку зубов и лечение кариеса. Все процедуры выполнял врач Зацаринный – наблюдаюсь у него уже несколько лет и ценю его профессиональный подход и внимательное отношение к пациентам. Персонал здесь очень доброжелательный, всегда вежливые и создают приятную атмосферу. Клиника расположена недалеко от метро, всего пару минут пешком – добираться очень удобно. Внутри царит уют: стильный интерьер, фоновая музыка, а в кабинетах даже есть телевизоры, чтобы скрасить время во время процедур.
23 сентября 2024 г.
1 2 3 4 5
Лечил зубы у Зарацинного Алекснадра. Нужно было вылечить несколько зубов с кариесом и сделать профессиональную чистку. Процедура заняла 2 приема. Александр работал очень аккуратно, постоянно спрашивал о моих ощущениях. Обезболивание было комфортным. Во время чистки использовал ультразвук и специальный порошок-оказывается, так чистка проходит деликатнее, без вреда для эмали. Результатом я очень доволен - зубы идеально чистые и гладкие! Но главное - Александр Евгегньевич дал мне подробные рекомендации по уходу и питанию. Теперь я точно знаю, как сохранить здоровье своих зубов. Большое спасибо доктору за профессионализм и бесценные советы!
Здравствуйте! Спасибо. Рекомендация – лучшая оценка нашей работы. Очень приятно, что вы отметили компетентность нашего доктора. Желаем вам здоровья и всех благ! ________________________________________________________________________________ С улыбкой, управляющий цифровой стоматологией "Dentaplan" Скидан Ольга Сергеевна
22 апреля 2024 г.
1 2 3 4 5
Очень довольна своим визитом в стоматологию Dentalplan и профессионально выполненной гигиеной полости рта. Процедура прошла быстро и безболезненно - для меня это очень важно, т.к. у меня очень чувствительные зубы и десна. Врач Зацаринный А.Е. был внимательным, а его высокая квалификация ощущалась в каждом слове и действии. Мне провели осмотр, выполнили гигиену полости рта и снимок КТ. После окончания процедуры врач составил план лечения, а также дал все необходимые рекомендации для того, чтобы я могла сохранить здоровье своих зубов и десен как можно дольше. В самой клинике все продумано до мелочей: невооруженым взглядом понятно, что оборудование самое современное, предусмотрен аппарат КТ, а дизайн и удобство клиники делают посещение комфортным и эстетически приятным. Из интересного - в начале процедуры мне нанесли специальный раствор на зубы и десна, который окрасил налёт на всех участках полости рта, которым я уделяю недостаточно внимания в процессе домашней гигиены. Теперь я смогу ориентируясь на фото, которые мне выслали на мою электронную почту проводить чистку зубов с большей эффективностью. Рекомендую стоматологию Dentalplan всем, кто ищет качественное и заботливое отношение к своему здоровью.
Спасибо большое, что помогаете другим людям узнать о нашей клинике. Ваш отзыв – лучшая оценка качества нашей работы. Мы рады, что вы чувствовали себя комфортно на приёме у докторов. Будем рады помочь вам снова при необходимости. С улыбкой, управляющий цифровой стоматологией "Dentaplan" Скидан Ольга Сергеевна
    Помогите другим сделать правильный выбор — оставьте свой отзыв о докторе
    Написать отзыв

    Услуги стоматолога в других клиниках

    Терапевтическая стоматология
    Лечение кариеса от 3 500 ₽ до 14 500 ₽
    Лечение пульпита от 5 000 ₽ до 35 000 ₽
    Еще услуги
    Хирургическая стоматология
    Удаление зубов от 1 100 ₽ до 25 000 ₽
    Удаление кисты и гранулемы зуба от 1 100 ₽ до 27 000 ₽
    Еще услуги
    Профгигиена
    Чистка зубов Air-flow от 1 390 ₽ до 11 000 ₽
    Фторирование зубов от 60 ₽ до 6 600 ₽
    Еще услуги