Стоматолог Заусайлов Артем Германович — цены, отзывы, стаж — Принимает в Санкт-Петербурге (СПб)

Заусайлов Артем Германович

Заусайлов Артем Германович - фотография

5.0
Рейтинг: 5.0
Отзывов: 2
Положительных: 2
Отрицательных: 0
Последний : 573 дн. назад
2 отзыва
стоматолог-терапевт
стоматолог-гигиенист
стоматолог-эндодонтист
Стаж 7 лет
Заусайлов Артем Германович принимает в «Цифровая стоматология ДЕНТАПЛАН» в Санкт-Петербурге. Стаж 7 лет. Специализируется на терапии, гигиене полости рта и эндодонтическом лечении, по которым клиника оказывает 22 услуги. Имеет 8 работ до/после в портфолио. Квалификация специалиста подтверждена 30 лицензиями, сертификатами и наградами. Для уточнения дополнительной информации о специалисте или записи на прием можно позвонить по телефону
+7 (812)Показать телефон
. Также 32top представляет форму онлайн расписания, через которую можно записаться к специалисту на свободную дату и время.

Где принимает:

Опыт 7 лет
30 сертификатов
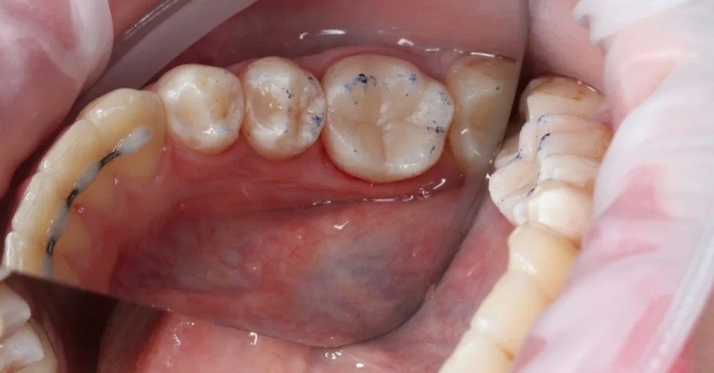
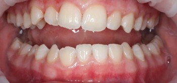
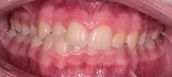
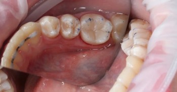
8 работ в портфолио

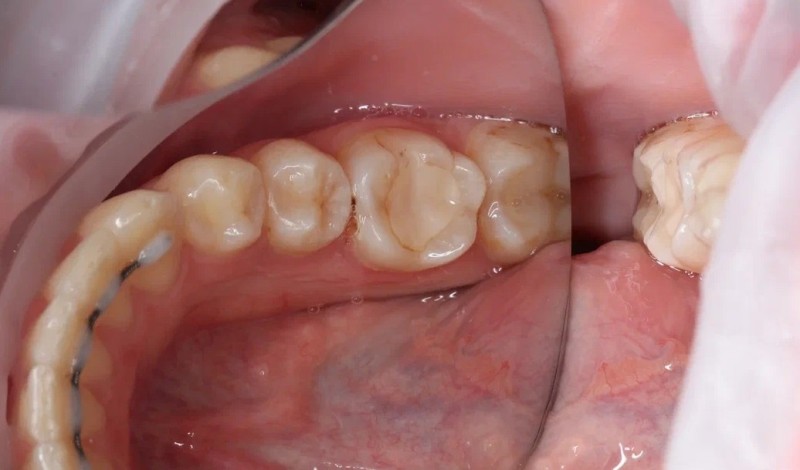
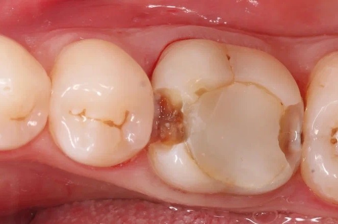
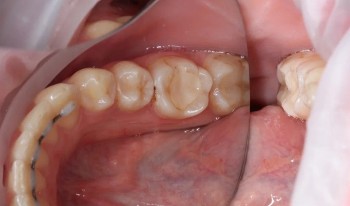
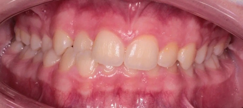
Заусайлов Артем Германович: портфолио (8)

Отзывы о враче Заусайлов Артем Германович

Рейтинг: 5
Отзывов: 2
Положительных: 2
Отрицательных: 0
Последний: 573 дн. назад
5.0
Почему нашим отзывам можно доверять?
11 октября 2024 г.
1 2 3 4 5
В октябре была на консультации у Заусайлова АГ по поводу боли в зубе. Доктор очень грамотный и внимательный. Обстоятельно ответил на все многочисленные вопросы. Клиника оборудована по последнему слову техники. Персонал очень приятный, первый раз в жизни не хочется убежать из зубной клиники.
Здравствуйте! Спасибо большое за отзыв. Мнение пациентов для нас очень важно. Нам очень приятно, что вы довольны результатами лечения. Желаем, чтобы дальше всё складывалось замечательно! ______________________________________________________________________________ С улыбкой, управляющий цифровой стоматологией "Dentaplan" Скидан Ольга Сергеевна
15 марта 2024 г.
1 2 3 4 5
Добрый день! В клинике чисто и уютно. Администраторы вежливые и приятные девушки, всегда помогут, запоминают Ваши привычки))) Прошла терапевтическое лечение у Заусайлова Артема Германовича. Удаляла зуб у буду выполнять имплантацию у Неустроева Сергея Олеговича. В плане ортопедия у Ерохина Михаила Андреевича. Все специалисты как одна команда, которая работает во благо пациента. Все услуги выполняются на новом, высококачественном оборудовании. Такого сервиса я еще не встречала. Это просто 10 из 10)
Благодарим Вас за высокую оценку нашей работы и за то, что посетили нашу стоматологию по адресу: Санкт-Петербург , ул. Тележная 32. Мы обязательно поделимся с командой Вашими строками! Нам очень радостно, что Вы отмечаете детали и по работе администраторов, и команды в целом. Мы хотим, чтобы вы вы не стеснялись своей улыбки, поэтому наша стоматология предоставляет весь спектр стоматологических услуг - лечение кариеса, протезирование на имплантах, установка коронки, виниры, исправление прикуса с помощью брекетов и элайнеров и другие услуги! и еще раз спасибо за ваш отзыв! По всем вопросам обращайтесь по телефону клиники: +7 812 605-77-35 С улыбкой, управляющий цифровой стоматологией "Dentaplan" Скидан Ольга Сергеевна
    Помогите другим сделать правильный выбор — оставьте свой отзыв о докторе
    Написать отзыв

    Услуги стоматолога в других клиниках

    Терапевтическая стоматология
    Лечение кариеса от 3 500 ₽ до 14 500 ₽
    Лечение пульпита от 5 000 ₽ до 35 000 ₽
    Еще услуги
    Профгигиена
    Чистка зубов Air-flow от 1 390 ₽ до 11 000 ₽
    Фторирование зубов от 60 ₽ до 6 600 ₽
    Еще услуги