Стоматолог Соловьев Александр Дмитриевич — цены, отзывы, стаж — Принимает в Санкт-Петербурге (СПб)

Соловьев Александр Дмитриевич

Соловьев Александр Дмитриевич - фотография
стоматолог-терапевт
стоматолог-хирург
стоматолог-имплантолог
пародонтолог
Стаж 8 лет
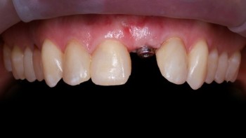
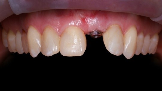
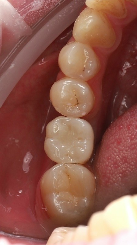
Соловьев Александр Дмитриевич принимает в «СТОМАТОЛОГИЯ ДОКТОРА ПУШКИНА А.С.» в Санкт-Петербурге. Стаж 8 лет. Специализируется на терапии, хирургии, имплантологии и пародонтологии, по которым клиника оказывает 28 услуг. Имеет 2 работы до/после в портфолио. Также 32top представляет форму онлайн расписания, через которую можно записаться к специалисту на свободную дату и время.

Где принимает:

Опыт 8 лет
2 работы в портфолио

Соловьев Александр Дмитриевич: портфолио (2)

    Помогите другим сделать правильный выбор — оставьте свой отзыв о докторе
    Написать отзыв

    Услуги стоматолога в других клиниках

    Терапевтическая стоматология
    Лечение кариеса от 3 500 ₽ до 14 500 ₽
    Лечение пульпита от 5 000 ₽ до 35 000 ₽
    Еще услуги
    Хирургическая стоматология
    Удаление зубов от 1 100 ₽ до 25 000 ₽
    Удаление кисты и гранулемы зуба от 1 100 ₽ до 27 000 ₽
    Еще услуги
    Имплантация
    Установка мини-импланта от 5 000 ₽ до 34 000 ₽
    Коронки на имплантах от 11 500 ₽ до 89 900 ₽
    Еще услуги