Стоматолог Исмаилов Рустам Закирович — цены, отзывы, стаж — Принимает в Санкт-Петербурге (СПб)

Исмаилов Рустам Закирович

Исмаилов Рустам Закирович - фотография

5.0
Рейтинг: 5.0
Отзывов: 2
Положительных: 2
Отрицательных: 0
Последний : 388 дн. назад
2 отзыва
стоматолог-хирург
Стаж 4 года
Исмаилов Рустам Закирович принимает в «Стоматологическая клиника БЛАНКО» в Санкт-Петербурге. Стаж 4 года. Специализируется на хирургии, по которой клиника оказывает 13 услуг. Имеет 2 работы до/после в портфолио. Квалификация специалиста подтверждена 2 лицензиями, сертификатами и наградами. Для уточнения дополнительной информации о специалисте или записи на прием можно позвонить по телефону
+7 (995)Показать телефон
.

Где принимает:

2 сертификата
Опыт 4 года
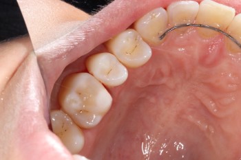
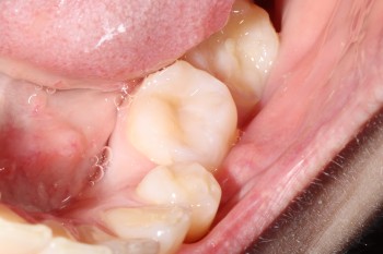
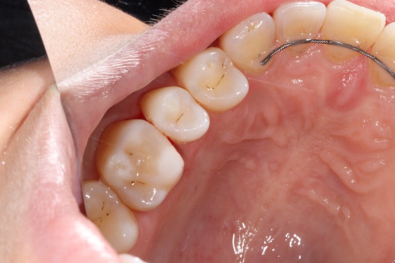
2 работы в портфолио

Исмаилов Рустам Закирович: портфолио (2)

Отзывы о враче Исмаилов Рустам Закирович

Рейтинг: 5
Отзывов: 2
Положительных: 2
Отрицательных: 0
Последний: 388 дн. назад
5.0
Почему нашим отзывам можно доверять?
14 апреля 2025 г.
1 2 3 4 5
Я удалила зуб мудрости у врача Р. З. Исмаилова. Он был вежлив и аккуратно сделал свою работу.
Спасибо вам большое за отзыв! Очень рады, что удаление зуба мудрости прошло для вас спокойно, а Рустам Закирович выполнил свою работу аккуратно и вежливо. Нам важно, чтобы даже такие процедуры оставляли только положительные впечатления. Будем рады видеть вас снова, но лучше уже на плановые осмотры!
После приема Пациент записывался в клинику через 32top. После приёма мы позвонили ему и получили отзыв.
24 ноября 2024 г.
1 2 3 4 5
Клиника отличная, лечат хорошо, практически все нравиться. Только вот с администраторами мне кажется у них не все налажено. Я лечусь около года, было удаление зуба, лечение кариеса и имплантация. Качество меня порадовало, все понравилось. Летом обращалась, чтобы меня включили в резерв на запись, но мне так и не перезвонили и не записали. А в другой раз администратор не корректно спросила “А что у вас денег нет?!” Меня это возмутило просто. А врачи конечно очень хорошие - Муса Умарханович, Рустам Закирович, Никита Анатольевич, Шамиль Тагирович все талантливые, обходительные, тактичные и ответственные. А на администраторов можно закрыть глаза, важно крутое лечение.
Здравствуйте! Спасибо большое за ваш отзыв и тёплые слова о наших врачах. Нам очень приятно, что вы довольны качеством лечения и работой наших специалистов. От всей души приносим извинения за те неудобства, которые возникли при взаимодействии с нашими администраторами. Мы признаём, что в вашем случае произошла ошибка, и это совершенно недопустимо. В связи с этим мы уже начали дополнительные тренинги для нашего административного персонала, чтобы подобные ситуации не повторялись в будущем. Ваше мнение очень важно для нас, и мы благодарны вам за обратную связь. Надеемся, что сможем полностью оправдать ваши ожидания и предоставить безупречный сервис на всех уровнях. Если у вас есть дополнительные вопросы или предложения, пожалуйста, не стесняйтесь обращаться к нам напрямую.
    Помогите другим сделать правильный выбор — оставьте свой отзыв о докторе
    Написать отзыв

    Услуги стоматолога в других клиниках

    Хирургическая стоматология
    Удаление зубов от 1 100 ₽ до 25 000 ₽
    Удаление кисты и гранулемы зуба от 1 100 ₽ до 27 000 ₽
    Еще услуги