Стоматолог Гусейнова Мадина Сергеевна — цены, отзывы, стаж — Принимает в Санкт-Петербурге (СПб)

Гусейнова Мадина Сергеевна

Гусейнова Мадина Сергеевна - фотография
стоматолог-гигиенист
Стаж 7 лет
Гусейнова Мадина Сергеевна принимает в «Стоматологическая клиника БЛАНКО» в Санкт-Петербурге. Стаж 7 лет. Специализируется на гигиене полости рта, по которой клиника оказывает 7 услуг. Для уточнения дополнительной информации о специалисте или записи на прием можно позвонить по телефону
+7 (995)Показать телефон
. Также 32top представляет форму онлайн расписания, через которую можно записаться к специалисту на свободную дату и время.

Где принимает:

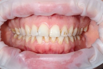
1 работа в портфолио
Опыт 7 лет

Гусейнова Мадина Сергеевна: портфолио (1)

    Помогите другим сделать правильный выбор — оставьте свой отзыв о докторе
    Написать отзыв

    Услуги стоматолога в других клиниках

    Профгигиена
    Чистка зубов Air-flow от 1 390 ₽ до 11 000 ₽
    Фторирование зубов от 60 ₽ до 6 600 ₽
    Еще услуги