Стоматолог Ополченцева Алина Николаевна — цены, отзывы, стаж — Принимает в Санкт-Петербурге (СПб)

Ополченцева Алина Николаевна

Ополченцева Алина Николаевна - фотография
стоматолог-ортодонт
детский стоматолог
Стаж 5 лет
Ополченцева Алина Николаевна принимает в «Стоматологический центр У ЗУБНОГО» в Санкт-Петербурге. Стаж 5 лет. Специализируется на ортодонтии и детской стоматологии, по которым клиника оказывает 4 услуги. Имеет 6 работ до/после в портфолио. Для уточнения дополнительной информации о специалисте или записи на прием можно позвонить по телефону
+7 (812)Показать телефон
.

Где принимает:

Опыт 5 лет
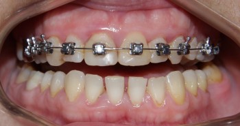
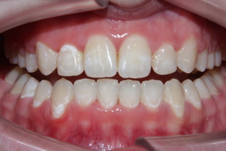
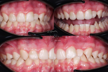
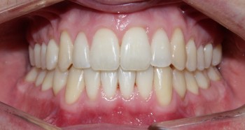
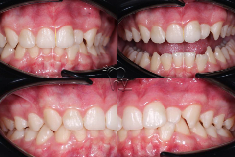
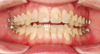
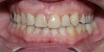
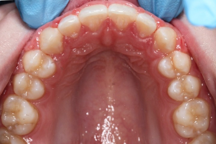
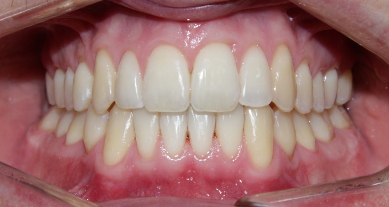
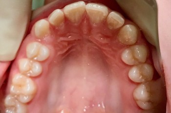
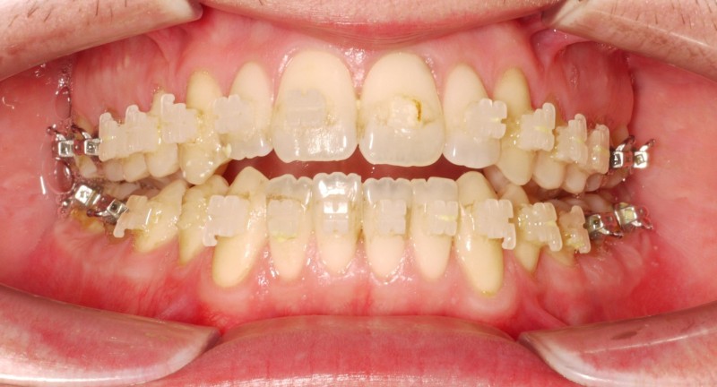
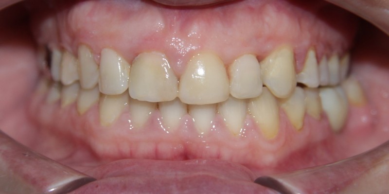
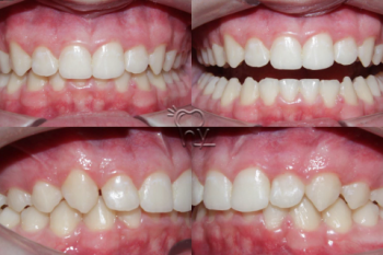
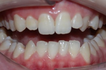
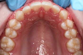
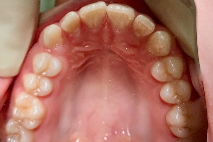
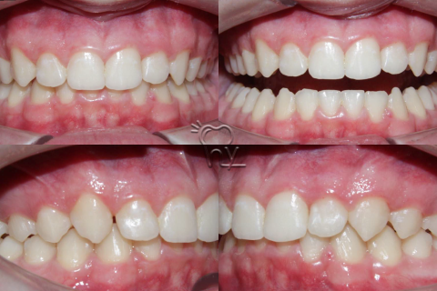
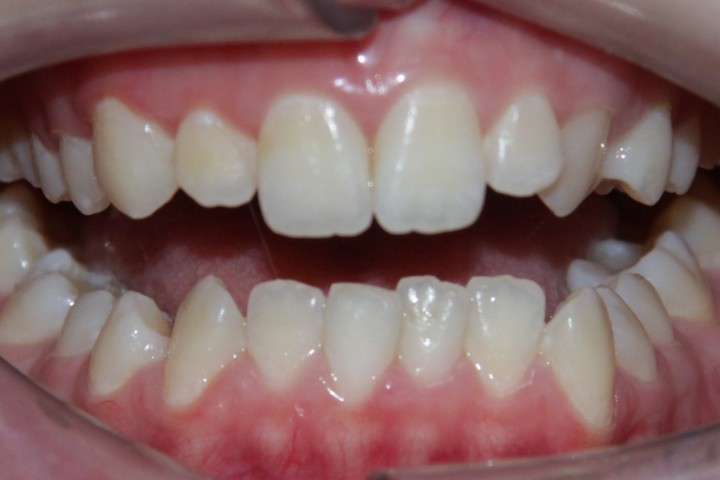
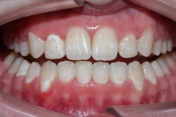
6 работ в портфолио

Ополченцева Алина Николаевна: портфолио (6)

    Помогите другим сделать правильный выбор — оставьте свой отзыв о докторе
    Написать отзыв

    Услуги стоматолога в других клиниках

    Ортодонтия
    Лечение аномалии зуба от 8 200 ₽ до 46 300 ₽
    Виды брекетов по материалу
    Еще услуги
    Детская стоматология
    Лечение молочных зубов от 1 600 ₽ до 10 000 ₽
    Удаление зубов у детей от 740 ₽ до 8 250 ₽
    Еще услуги