Стоматолог Денисенко Оксана Борисовна — цены, отзывы, стаж — Принимает в Санкт-Петербурге (СПб)

Денисенко Оксана Борисовна

Денисенко Оксана Борисовна - фотография
стоматолог-терапевт
Стаж 17 лет
Денисенко Оксана Борисовна принимает в «Стоматологическая клиника ТРИДЕНТ» в Санкт-Петербурге. Стаж 17 лет. Специализируется на терапии, по которой клиника оказывает 9 услуг. Имеет 4 работы до/после в портфолио. Квалификация специалиста подтверждена 11 лицензиями, сертификатами и наградами. Для уточнения дополнительной информации о специалисте или записи на прием можно позвонить по телефону
+7 (812)Показать телефон
.

Где принимает:

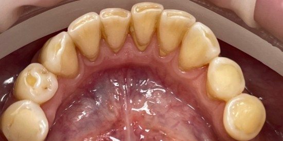
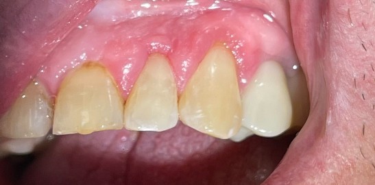
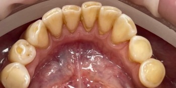
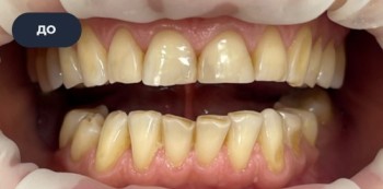
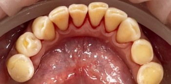
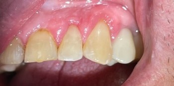
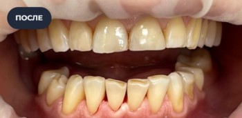
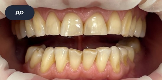
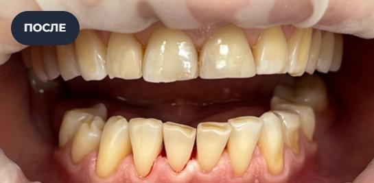
4 работы в портфолио
Опыт 17 лет
11 сертификатов

Денисенко Оксана Борисовна: портфолио (4)

    Помогите другим сделать правильный выбор — оставьте свой отзыв о докторе
    Написать отзыв

    Услуги стоматолога в других клиниках

    Терапевтическая стоматология
    Лечение кариеса от 3 500 ₽ до 14 500 ₽
    Лечение пульпита от 5 000 ₽ до 35 000 ₽
    Еще услуги