Стоматолог Рыбаков Александр Владимирович — цены, отзывы, стаж — Принимает в Санкт-Петербурге (СПб)

Рыбаков Александр Владимирович

Рыбаков Александр Владимирович - фотография
стоматолог-ортодонт
Стаж 14 лет
Рыбаков Александр Владимирович принимает в «Стоматологическая клиника ТРИДЕНТ» в Санкт-Петербурге. Стаж 14 лет. Специализируется на ортодонтии, по которой клиника оказывает 5 услуг. Имеет 2 работы до/после в портфолио. Для уточнения дополнительной информации о специалисте или записи на прием можно позвонить по телефону
+7 (812)Показать телефон
.

Где принимает:

Опыт 14 лет
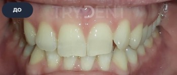
2 работы в портфолио

Рыбаков Александр Владимирович: портфолио (2)

    Помогите другим сделать правильный выбор — оставьте свой отзыв о докторе
    Написать отзыв

    Услуги стоматолога в других клиниках

    Ортодонтия
    Лечение аномалии зуба от 8 200 ₽ до 46 300 ₽
    Виды брекетов по материалу
    Еще услуги