Стоматолог Илюк Регина Рустамовна — цены, отзывы, стаж — Принимает в Санкт-Петербурге (СПб)

Илюк Регина Рустамовна

Илюк Регина Рустамовна - фотография
стоматолог-ортопед
стоматолог-ортодонт
Стаж 10 лет
врач высшей категории
Илюк Регина Рустамовна принимает в «Стоматология РЕСТОМ» в Санкт-Петербурге. Врач высшей категории, стаж 10 лет. Специализируется на ортопедии и ортодонтии, по которым клиника оказывает 25 услуг. Имеет 5 работ до/после в портфолио. Квалификация специалиста подтверждена 10 лицензиями, сертификатами и наградами. Для уточнения дополнительной информации о специалисте или записи на прием можно позвонить по телефону
+7 (981)Показать телефон
.

Где принимает:

Врач высшей категории
10 сертификатов
Опыт 10 лет
5 работ в портфолио

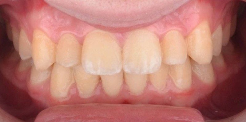
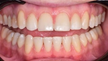
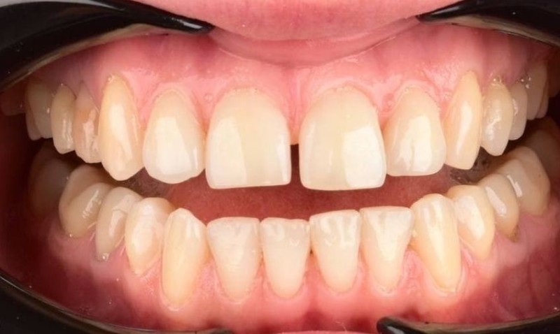
Илюк Регина Рустамовна: портфолио (5)

    Помогите другим сделать правильный выбор — оставьте свой отзыв о докторе
    Написать отзыв

    Услуги стоматолога в других клиниках

    Протезирование зубов
    Лечение адентии от 25 000 ₽ до 110 000 ₽
    Установка коронки на зуб от 4 800 ₽ до 105 000 ₽
    Еще услуги
    Ортодонтия
    Лечение аномалии зуба от 8 200 ₽ до 46 300 ₽
    Виды брекетов по материалу
    Еще услуги