Стоматолог Игнатьев Евгений Дмитриевич — цены, отзывы, стаж — Принимает в Санкт-Петербурге (СПб)

Игнатьев Евгений Дмитриевич

Игнатьев Евгений Дмитриевич - фотография
стоматолог-ортопед
Стаж 3 года
Игнатьев Евгений Дмитриевич принимает в «Стоматология РЕСТОМ» в Санкт-Петербурге. Стаж 3 года. Специализируется на ортопедии, по которой клиника оказывает 11 услуг. Имеет 5 работ до/после в портфолио. Для уточнения дополнительной информации о специалисте или записи на прием можно позвонить по телефону
+7 (981)Показать телефон
.

Где принимает:

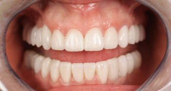
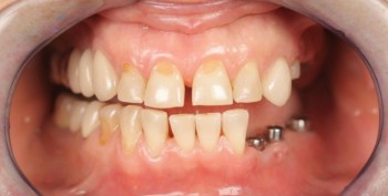
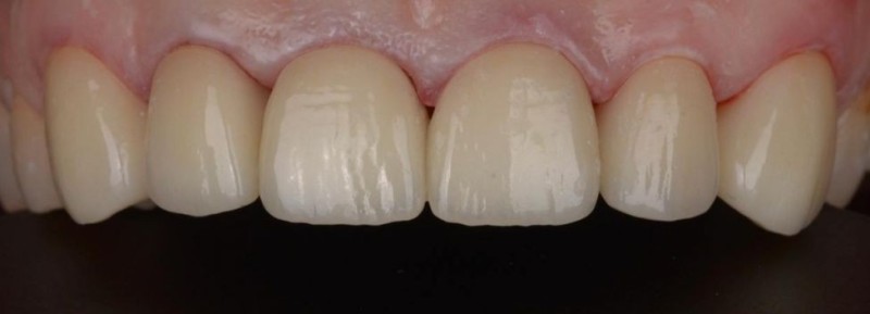
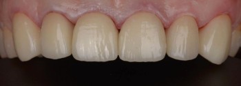
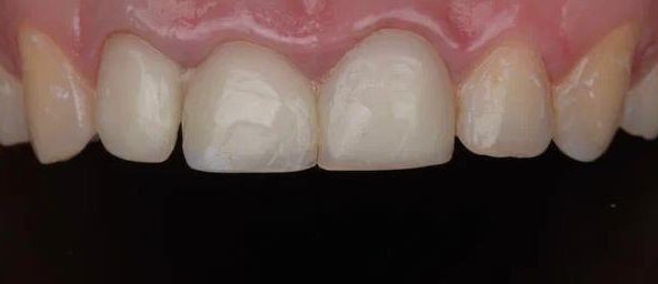
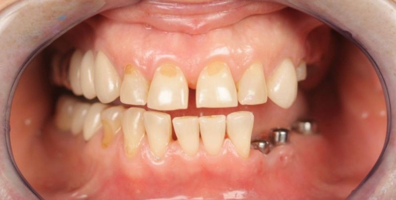
5 работ в портфолио
Опыт 3 года

Игнатьев Евгений Дмитриевич: портфолио (5)

    Помогите другим сделать правильный выбор — оставьте свой отзыв о докторе
    Написать отзыв

    Услуги стоматолога в других клиниках

    Протезирование зубов
    Лечение адентии от 25 000 ₽ до 110 000 ₽
    Установка коронки на зуб от 4 800 ₽ до 105 000 ₽
    Еще услуги