Стоматолог Гусова Залина Аслановна — цены, отзывы, стаж — Принимает в Санкт-Петербурге (СПб)

Гусова Залина Аслановна

Гусова Залина Аслановна - фотография

3.7
Рейтинг: 3.7
Отзывов: 3
Положительных: 2
Отрицательных: 1
Последний : 856 дн. назад
3 отзыва
стоматолог-ортодонт
Стаж 14 лет
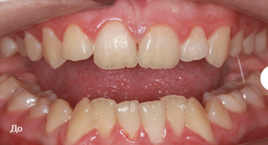
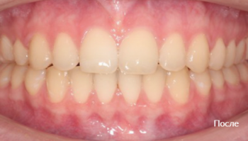
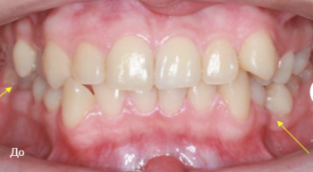
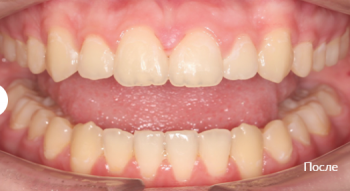
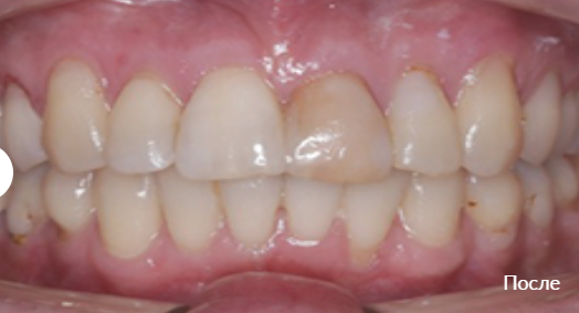
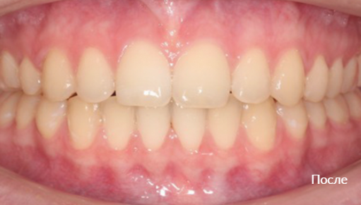
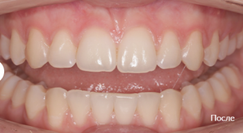
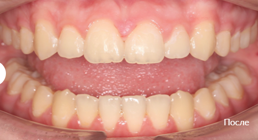
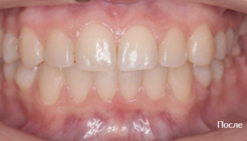
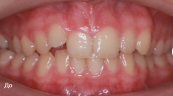
Гусова Залина Аслановна принимает в «Стоматологическая клиника ЛАХТА ДЕНТАЛ» в Санкт-Петербурге. Стаж 14 лет. Специализируется на ортодонтии, по которой клиника оказывает 14 услуг. Имеет 6 работ до/после в портфолио. Квалификация специалиста подтверждена 9 лицензиями, сертификатами и наградами. Для уточнения дополнительной информации о специалисте или записи на прием можно позвонить по телефону
+7 (812)Показать телефон
.

Где принимает:

9 сертификатов
Опыт 14 лет
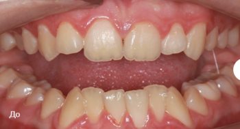
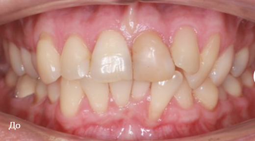
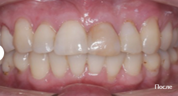
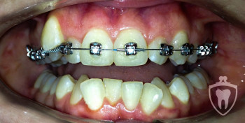
6 работ в портфолио

Гусова Залина Аслановна: портфолио (6)

Отзывы о враче Гусова Залина Аслановна

Рейтинг: 3.665
Отзывов: 3
Положительных: 2
Отрицательных: 1
Последний: 856 дн. назад
3.7
Почему нашим отзывам можно доверять?
3 января 2024 г.
1 2 3 4 5
Изначально пришли к ортодонту с младшей дочерью за мнением, так как в другой частной стоматологии, куда водили обоих детей, сложно сконнектиться с ортодонтом. Пришли потому, что я в целом за доказательный подход в медицине. Пришли, и я решила, что надо переориентироваться на эту клинику с обоими детьми, да и самим, наверное. Ортодонт Гусова З.А. расположила мою непростую четырехлетку, замотивировала её на борьбу с её вредной привычкой: сосанием пальцев, дала рекомендации. Доктор все чётко объяснила, и потому мы сразу решили начать ортодонтическое лечение, заказали трейнер. Сейчас начали использовать. Уверена, с такими специалистами мы успешно пройдём испытание в виде ортодонтического лечения)
Здравствуйте. Спасибо, что поделились своей историей! Искренне рады, что Залина Аслановна нашла подход к Вашей дочке и так помогла! Обязательно передадим Ваши слова доктору. Желаем Вам и Вашей семье крепкого здоровья! С уважением, Служба качества сети Lahta Clinic
16 января 2020 г.
1 2 3 4 5
Залина Аслановна не просто доктор. Мне 30 лет, проблемы с прикусом, которые повлекли за собой воспаление дёсен. В глубине души я понимала, что нужно исправлять прикус, но брекеты, одно слово меня так пугало, так смущало. Это единственный доктор, которая внушила доверие с первой консультации. Всё объяснила, рассказала, даже показала своё портфолио, свои результаты! Я согласилась. Мы начали лечение. Прошло полгода, я ещё в брекетах, но зубы уже ровные, красивые! Это не просто доктор, это врач от Бога!
4 июля 2019 г.
1 2 3 4 5
Общение с врачом на 10 минут, при котором рассказывалась только цена лечения (которое мне не нужно), но не результаты такого лечения и проблемы клиента. Я думаю, такое странное общение вызвано тем, что врач сразу поняла: я не ее клиент. Но в любом случае деньги она не постеснялась спросить и взять. Очень удивлена всем этим. По итогу еще и потраченное впустую время (до клиники добиралась час).
    Помогите другим сделать правильный выбор — оставьте свой отзыв о докторе
    Написать отзыв

    Услуги стоматолога в других клиниках

    Ортодонтия
    Виды брекетов по материалу
    Установка металлических брекетов
    от 12 100 ₽ до 248 650 ₽
    Еще услуги