Стоматолог Петрашень Анастасия Викторовна — цены, отзывы, стаж — Принимает в Санкт-Петербурге (СПб)

Петрашень Анастасия Викторовна

Петрашень Анастасия Викторовна - фотография
стоматолог-ортодонт
Стаж 14 лет
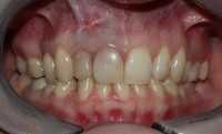
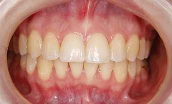
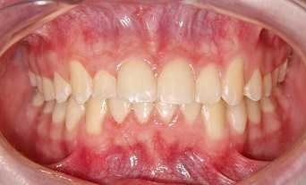
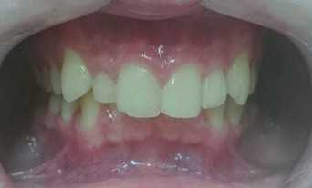
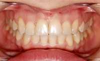
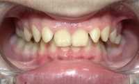
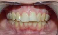
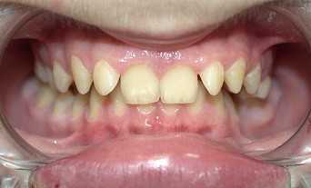
Петрашень Анастасия Викторовна принимает в «Частная стоматологическая клиника УЛЫБКА» в Санкт-Петербурге. Стаж 14 лет. Специализируется на ортодонтии, по которой клиника оказывает 1 услугу. Имеет 12 работ до/после в портфолио. Для уточнения дополнительной информации о специалисте или записи на прием можно позвонить по телефону
+7 (812)Показать телефон
.

Где принимает:

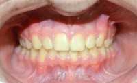
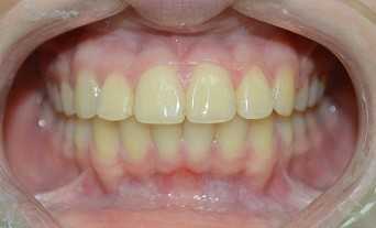
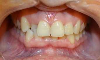
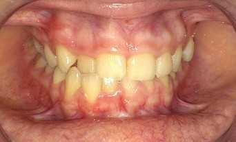
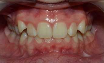
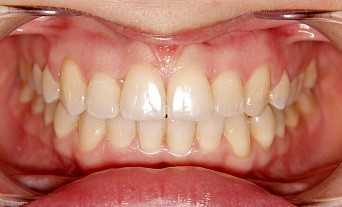
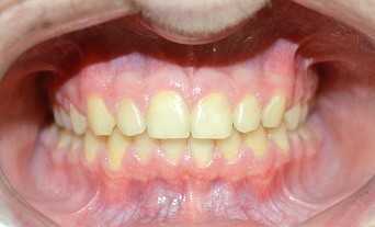
12 работ в портфолио
Опыт 14 лет

Петрашень Анастасия Викторовна: портфолио (12)

    Помогите другим сделать правильный выбор — оставьте свой отзыв о докторе
    Написать отзыв

    Услуги стоматолога в других клиниках

    Эстетическая стоматология
    Установка скайсов