Стоматолог Сигуа Нино Валериевна — цены, отзывы, стаж — Принимает в Санкт-Петербурге (СПб)

Сигуа Нино Валериевна

Сигуа Нино Валериевна - фотография

5.0
Рейтинг: 5.0
Отзывов: 2
Положительных: 2
Отрицательных: 0
Последний : 1052 дн. назад
2 отзыва
стоматолог-ортодонт
Стаж 14 лет
Сигуа Нино Валериевна принимает в «Клиника эстетической ортодонтии КОНФИДЕНЦИЯ» в Санкт-Петербурге. Стаж 14 лет. Специализируется на ортодонтии, по которой клиника оказывает 10 услуг. Имеет 4 работы до/после в портфолио. Квалификация специалиста подтверждена 43 лицензиями, сертификатами и наградами.

Где принимает:

4 работы в портфолио
Опыт 14 лет
43 сертификата

О стоматологе

Нино Валериевна — медицинский лидер бизнес-юнита Science, Digital Medecine and Education клиники Конфиденция. Она внедряет цифровые протоколы в клиническую практику, обучает коллег работе с ортодонтическми сетапами для брекетов и элайнеров, планированию цифровой непрямой фиксации.
Помимо клинической экспертности Нино Валериевна зарекомендовала себя как понимающий, эмпатичный врач. Она уделяет огромное внимание первичной консультации, умеет прекрасно объяснить даже самую сложную медицинскую информацию, чтобы у ее пациентов не оставалось вопросов и сомнений. Нино Валериевна сама прошла ортодонтическое лечение и понимает, насколько пациентам в ходе лечения нужна не только экспертность врача, но и моральная поддержка.

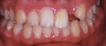
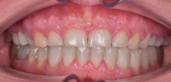
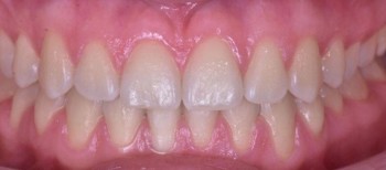
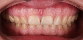
Сигуа Нино Валериевна: портфолио (4)

Отзывы о враче Сигуа Нино Валериевна

Рейтинг: 5
Отзывов: 2
Положительных: 2
Отрицательных: 0
Последний: 1052 дн. назад
5.0
Почему нашим отзывам можно доверять?
21 июня 2023 г.
1 2 3 4 5
Хотелось бы высказать огромную благодарность врачу-ортодонту Нино Валериевне Сигуа за профессионализм, внимательность и заботу о моем здоровье. Я сейчас прохожу у нее лечение и очень довольна результатами. Отличительной чертой работы Нино Валериевны является индивидуальный подход к каждому пациенту, она всегда учитывает все особенности зубной арки, прикуса и внешности пациента. Она детально объясняет все этапы лечения, поэтому у меня не возникает никаких недопониманий. Кроме того, я оценила ее терпение и внимание к моим вопросам и опасениям. Врач настоящий профессионал и к здоровью своих пациентов относится с большой ответственностью. Я рекомендую Нино Валериевну Сигуа всем, кто хочет получить качественное и профессиональное лечение, а также получить приятную атмосферу в клинике – у нее Вы найдете все это. Спасибо, Нино Валериевна, за вашу заботу и профессионализм!
Сигуа Нино Валериевна
29 июня 2023 г.
Спасибо, что поделились своими впечатлениями! Я рада помогать вам достигать здоровой и красивой улыбки. До встречи в Конфиденции)
Благодарим вас за отзыв! Будьте здоровы)
13 марта 2023 г.
1 2 3 4 5
Моя работа с Нино Валериевной началась еще около года назад. Переехав в Питер, было страшно искать специалиста и не хотелось тратить все своё время на поиски того самого. Поэтому очень много клиник и врачей мониторила по отзывам и работам, в итоге, исходя из случая, остановилась на Нино Валериевне :) Это был первый и единственный опыт обращения, потому что сразу поняла, да, это то, что я искала! Сейчас переходим к самой сложное части, позади уже удачное лечение на сплинте, теперь подключаем брекеты. Впереди большой путь, но это не страшно, когда в надёжных руках!
Сигуа Нино Валериевна
17 марта 2023 г.
Благодарю вас за отзыв! Ценю ваше доверие и не сомневаюсь, что лечение на брекетах пройдет так же благоприятно :)
    Помогите другим сделать правильный выбор — оставьте свой отзыв о докторе
    Написать отзыв

    Услуги стоматолога в других клиниках

    Ортодонтия
    Лечение аномалии зуба от 8 200 ₽ до 46 300 ₽
    Виды брекетов по материалу
    Еще услуги