Стоматолог Иванова Анастасия Сергеевна — цены, отзывы, стаж — Принимает в Санкт-Петербурге (СПб)

Иванова Анастасия Сергеевна

Иванова Анастасия Сергеевна - фотография
стоматолог-терапевт
детский стоматолог
стоматолог-эндодонтист
Стаж 15 лет
Иванова Анастасия Сергеевна принимает в «Детская стоматология АТРИБЬЮТ КИДС» в Санкт-Петербурге. Стаж 15 лет. Специализируется на терапии, детской стоматологии и эндодонтическом лечении, по которым клиника оказывает 21 услугу. Имеет 7 работ до/после в портфолио. Для уточнения дополнительной информации о специалисте или записи на прием можно позвонить по телефону
+7 (812)Показать телефон
.

Где принимает:

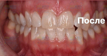
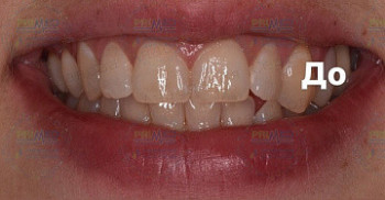
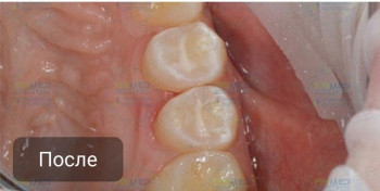
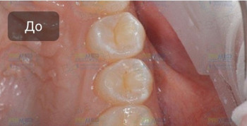
7 работ в портфолио
Опыт 15 лет

Иванова Анастасия Сергеевна: портфолио (7)

Отзывы о враче Иванова Анастасия Сергеевна

Почему нашим отзывам можно доверять?
3 декабря 2022 г.
1 2 3 4 5
Вожу обоих детей только к Анастасии Сергеевне. Довольна качеством обслуживания. С детьми очень хорошо справляется, находит подход к ним, что очень важно для меня. Все зубы как новенькие! А дети идут на лечение без страха, ибо им еще и подарки дарят.
    Помогите другим сделать правильный выбор — оставьте свой отзыв о докторе
    Написать отзыв

    Услуги стоматолога в других клиниках

    Терапевтическая стоматология
    Лечение кариеса от 3 500 ₽ до 14 500 ₽
    Лечение пульпита от 5 000 ₽ до 35 000 ₽
    Еще услуги