Стоматолог Кроливец Максим Юрьевич — цены, отзывы, стаж — Принимает в Санкт-Петербурге (СПб)

Кроливец Максим Юрьевич

Кроливец Максим Юрьевич - фотография
стоматолог-ортодонт
Стаж 11 лет
Кроливец Максим Юрьевич принимает в «СТОМАТОЛОГИЧЕСКИЙ ЦЕНТР ГОРОДА» в Санкт-Петербурге. Стаж 11 лет. Специализируется на ортодонтии, по которой клиника оказывает 6 услуг. Имеет 8 работ до/после в портфолио. Для уточнения дополнительной информации о специалисте или записи на прием можно позвонить по телефону
+7 (812)Показать телефон
.

Где принимает:

Опыт 11 лет
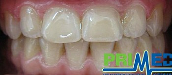
8 работ в портфолио

О стоматологе

Считаю, что лечение пациента должно быть комплексным. Активно работаю в команде и призываю к этому смежных специалистов (не только стоматологов). Владею современными методами обследования и диагностики пациентов с зубочелюстными аномалиями и деформациями. Провожу ортодонтическое лечение взрослых, подростков и детей на съемной и несъемной аппаратуре, а так же протезирование в детском возрасте. В своей работе использую различных виды брекет-систем и съемных ортодонтических аппаратов. Подготавливаю пациентов с челюстно-лицевыми аномалиями к комбинированному ортодонто-хирургическому лечению. Не боюсь трудностей, считаю что человек может все, было бы желание. Регулярно повышаю свой профессиональный уровень. Стремлюсь к дальнейшему обучению и усовершенствованию своих навыков.

Кроливец Максим Юрьевич: портфолио (8)

Отзывы о враче Кроливец Максим Юрьевич

Почему нашим отзывам можно доверять?
28 марта 2018 г.
1 2 3 4 5
Давно хотел поставить брекеты (проблемы с прикусом) и вот наконец-то решился. Выбор пал на стоматологический центр города - клинику «Праймед». У них все находится в одном месте, никуда не нужно ходить дополнительно. Обратился к доктору Кроливец. Очень доволен. Максим Юрьевич установил керамическую конструкцию, почти незаметную на зубах!!! Для меня было важно, чтобы видно не было!! Я уже вижу результат, спустя 2 месяца – а это только начало!!! Спасибо!
Стоматологический Центр Города
31 марта 2018 г.
Игорь, благодарим за отзыв. Рады стараться!
    Помогите другим сделать правильный выбор — оставьте свой отзыв о докторе
    Написать отзыв

    Услуги стоматолога в других клиниках

    Эстетическая стоматология
    Установка скайсов