Стоматолог Перепеченкова Надежда Петровна — цены, отзывы, стаж — Принимает в Санкт-Петербурге (СПб)

Перепеченкова Надежда Петровна

Перепеченкова Надежда Петровна - фотография
стоматолог-терапевт
стоматолог-ортопед
стоматолог-хирург
Стаж 15 лет
главный врач
Перепеченкова Надежда Петровна принимает в «Стоматологическая клиника СИМПЛЕКС» в Санкт-Петербурге. Главный врач, стаж 15 лет. Специализируется на терапии, ортопедии и хирургии, по которым клиника оказывает 17 услуг. Имеет 8 работ до/после в портфолио. Квалификация специалиста подтверждена 23 лицензиями, сертификатами и наградами. Для уточнения дополнительной информации о специалисте или записи на прием можно позвонить по телефону
+7 (921)Показать телефон
.

Где принимает:

Опыт 15 лет
8 работ в портфолио
23 сертификата
Главный врач

О стоматологе

Безграничная любовь к профессии и чувство ответственности формируют мой собственный стиль работы. Каждый пациент для меня — повод подумать и индивидуально подойти к решению каждой ситуации. Искренне верю в то, что это единственный верный путь.

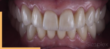
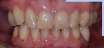
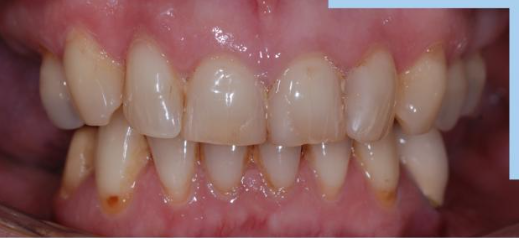
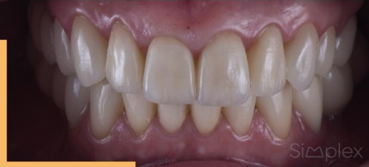
Перепеченкова Надежда Петровна: портфолио (8)

    Помогите другим сделать правильный выбор — оставьте свой отзыв о докторе
    Написать отзыв

    Услуги стоматолога в других клиниках

    Диагностика
    Консультация стоматолога от 1 ₽ до 3 500 ₽
    Консультация ортодонта от 1 ₽ до 5 000 ₽
    Еще услуги
    Терапевтическая стоматология
    Лечение кариеса от 3 500 ₽ до 14 500 ₽
    Лечение пульпита от 5 000 ₽ до 35 000 ₽
    Еще услуги
    Эстетическая стоматология
    Установка виниров от 29 000 ₽ до 82 600 ₽
    Хирургическая стоматология
    Удаление зубов от 1 100 ₽ до 25 000 ₽
    Удаление кисты и гранулемы зуба от 1 100 ₽ до 27 000 ₽
    Еще услуги
    Протезирование зубов
    Установка коронки на зуб от 4 800 ₽ до 105 000 ₽
    Виды протезов
    Еще услуги