Стоматолог Мартиросян Армине Карленовна — цены, отзывы, стаж — Принимает в Санкт-Петербурге (СПб)

Мартиросян Армине Карленовна

Мартиросян Армине Карленовна - фотография

5.0
Рейтинг: 5.0
Отзывов: 4
Положительных: 4
Отрицательных: 0
Последний : 373 дн. назад
4 отзыва
стоматолог-ортопед
Стаж 10 лет
Мартиросян Армине Карленовна принимает в «Стоматологическая клиника МИНИМАЛИСТ» в Санкт-Петербурге. Стаж 10 лет. Специализируется на ортопедии, по которой клиника оказывает 11 услуг. Имеет 3 работы до/после в портфолио. Квалификация специалиста подтверждена 15 лицензиями, сертификатами и наградами. Для уточнения дополнительной информации о специалисте или записи на прием можно позвонить по телефону
+7 (812)Показать телефон
.

Где принимает:

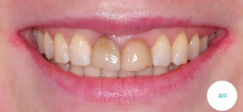
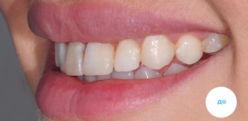
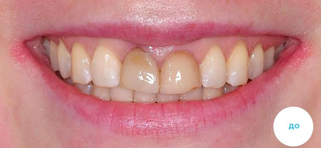
3 работы в портфолио
Опыт 10 лет
15 сертификатов

Мартиросян Армине Карленовна: портфолио (3)

Отзывы о враче Мартиросян Армине Карленовна

Рейтинг: 5
Отзывов: 4
Положительных: 4
Отрицательных: 0
Последний: 373 дн. назад
5.0
Почему нашим отзывам можно доверять?
30 апреля 2025 г.
1 2 3 4 5
Сейчас прохожу лечение у Мартиросян Армине Карленовны. На данный момент поставили временную коронку, жду постоянную. Работой доктора доволен, консультации подробные и понятные, коронка хорошо сидит, дискомфорта с ней не ощущаю
25 апреля 2025 г.
1 2 3 4 5
Обратился в клинику с эстетической проблемой. У меня неровные зубы, с промежутками, и цвет эмали по природе желтоватый. Спасибо Мартиросян Армине Карленовне, что порекомендовала и установила мне люминиры. Сейчас смотрю в зеркало и не верю, что это я!
31 марта 2025 г.
1 2 3 4 5
Выражаю благодарность клинике Minimalist и классному доктору Мартиросян Армине Карленовне, которая ставила мне коронки. Результат - новые зубы не отличить от остальных. Цвет в цвет. По удобству тоже все устраивает, спокойно ем любую пищу, ощущения как обычно. Но главное, что сам процесс лечения прошел без боли.
27 марта 2025 г.
1 2 3 4 5
Ставил виниры у Мартиросян Армине Карленовны. Клинику и врача выбрал по совету знакомой. Теперь всегда улыбаюсь с удовольствием, даже полюбил фотографироваться. Уровень эстетики супер. Сама процедура тоже прошла комфортно и безболезненно. Спасибо за Ваш профессионализм!
    Помогите другим сделать правильный выбор — оставьте свой отзыв о докторе
    Написать отзыв

    Услуги стоматолога в других клиниках

    Протезирование зубов
    Лечение адентии от 25 000 ₽ до 110 000 ₽
    Установка коронки на зуб от 4 800 ₽ до 105 000 ₽
    Еще услуги