Стоматолог Конфисахор Дарья Александровна — цены, отзывы, стаж — Принимает в Санкт-Петербурге (СПб)

Конфисахор Дарья Александровна

Конфисахор Дарья Александровна - фотография

5.0
Рейтинг: 5.0
Отзывов: 4
Положительных: 4
Отрицательных: 0
Последний : 2241 дн. назад
4 отзыва
стоматолог-терапевт
стоматолог-хирург
стоматолог-имплантолог
детский стоматолог
пародонтолог
Стаж 8 лет
Конфисахор Дарья Александровна принимает в «Стоматология УНИ ДЕНТ» в Санкт-Петербурге. Стаж 8 лет. Специализируется на терапии, хирургии, имплантологии, детской стоматологии и пародонтологии, по которым клиника оказывает 27 услуг. Имеет 13 работ до/после в портфолио. Для уточнения дополнительной информации о специалисте или записи на прием можно позвонить по телефону
+7 (812)Показать телефон
.

Где принимает:

Опыт 8 лет
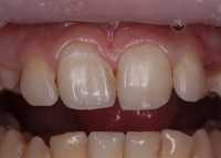
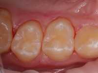
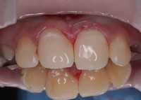
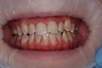
13 работ в портфолио

Конфисахор Дарья Александровна: портфолио (13)

Отзывы о враче Конфисахор Дарья Александровна

Рейтинг: 5
Отзывов: 4
Положительных: 4
Отрицательных: 0
Последний: 2241 дн. назад
5.0
Почему нашим отзывам можно доверять?
20 марта 2020 г.
1 2 3 4 5
Хорошая клиника с опытными спецами. Вожу сюда своих детей. Конфисахор Дарья Александровна всегда найдет с ними общий язык, и они с ней никогда не скандалят. Каждые полгода приходим на осмотр, а недавно внепланово лечили зубки младшему. Сразу говорят, что, если будет сильно болеть после, звоните, приходите. Чувствуется забота к каждому пациенту. Спасибо!
8 июля 2018 г.
1 2 3 4 5
У меня ребенок (4 года) очень боится врачей, я думаю не у одной меня такая проблема, но в этой стоматологии всё стало иначе. Мой ребенок ушел с вылеченным зубом, и незаметно удаленным молочным, да к тому же еще с подарком и улыбкой до ушей. Весь сеанс лечения он смотрел мультики и это очень хорошая идея, т.к ребенок отвлечен. Величайшая благодарность Конфисахор Дарье Александровне за её чуткое отношение к детям!
Стефанкова Елена Евгеньевна
9 июля 2018 г.
Валентина, здравствуйте! Спасибо,за Ваш отзыв. Очень приятно узнать, что Вы остались полностью удовлетворены качеством выполненной Дарьей Александровной работы. Не забывайте приходить к нам на профилактические осмотры раз полгода! С уважением, администрация «Нашей Стоматологии».
7 января 2018 г.
1 2 3 4 5
Своим двум сыновьям (6 и 8 лет), я лечу зубы только в клинике «Наша стоматология». Всегда уютно, чисто, вежливый персонал, никаких очередей и задержек. Лечимся у восхитительного детского стоматолога-терапевта Конфисахор Дарьи Александровны. Добрая, ласковая, внимательная – так говорят про Дарью Александровну мои дети. Всегда найдет подход к ребёнку, успокоит, пожалеет и вылечит как - то совсем не больно и быстро. Превратить процедуру лечения зубов в игру это талант, высшее проявление мастерства. Всех благ, здоровья, благополучия!!!!
Стефанкова Елена Евгеньевна
20 июня 2018 г.
Здравствуйте, Инна! Благодарим за оставленный отзыв. Ваша похвала и добрые слова переданы коллективу и лично Дарье Александровне. Мы делаем все, чтобы детки приходили к нам с удовольствием и не боялись врачей. Обращайтесь, мы всегда готовы прийти на помощь. С наилучшими пожеланиями, администрация «Нашей Стоматологии».
5 января 2018 г.
1 2 3 4 5
Искренняя благодарность всему коллективу врачей за внимание, отзывчивость и понимание проблем, особенно маленьких пациентов. У моей младшей дочери 5лет, разболелся зубик. Позвонила в клинику «Наша стоматология», нам сразу назначили ближайщее время. Стоматология расположена очень удобно, есть место для парковки рядом с клиникой, не нужно ездить кругами или где-то во дворах оставлять машину. Клиника по - домашнему уютная, чистая, просторная. Нас сразу проводили к доктору Конфисахор Дарье Александровне. Она сразу нашла к дочке подход. В игровой манере осмотрела зубик, предложила моей дочке посмотреть по телевизору мультики, пока она будет « договриваться с зубиком, что бы он поправился и больше никогда не болел». На удивление, моя дочь сидела спокойно, не плакала, не вырывалась. Я очень благодарна детскому доктору Конфисахор Дарье Александровне и за профессионализм, внимание и отзывчивость!
Стефанкова Елена Евгеньевна
20 июня 2018 г.
Софья, здравствуйте! Спасибо Вам за оставленный отзыв и отмеченный профессионализм сотрудника. Рады, что смогли оправдать все Ваши ожидания! С наилучшими пожеланиями, администрация «Нашей Стоматологии».
    Помогите другим сделать правильный выбор — оставьте свой отзыв о докторе
    Написать отзыв

    Услуги стоматолога в других клиниках

    Терапевтическая стоматология
    Лечение кариеса от 3 500 ₽ до 14 500 ₽
    Лечение пульпита от 5 000 ₽ до 35 000 ₽
    Еще услуги