Стоматолог Бикбаев Александр Юрьевич — цены, отзывы, стаж — Принимает в Санкт-Петербурге (СПб)

Бикбаев Александр Юрьевич

Бикбаев Александр Юрьевич - фотография

5.0
Рейтинг: 5.0
Отзывов: 2
Положительных: 2
Отрицательных: 0
Последний : 968 дн. назад
2 отзыва
стоматолог-ортопед
Стаж 19 лет
главный врач
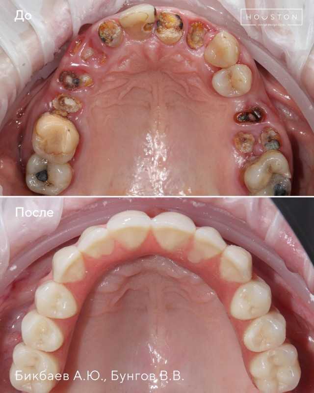
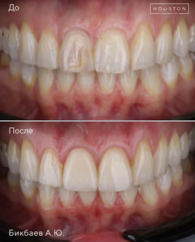
Бикбаев Александр Юрьевич принимает в «Стоматологическая клиника ХЬЮСТОН» в Санкт-Петербурге. Главный врач, стаж 19 лет. Специализируется на ортопедии, по которой клиника оказывает 9 услуг. Имеет 6 работ до/после в портфолио. Квалификация специалиста подтверждена 6 лицензиями, сертификатами и наградами. Для уточнения дополнительной информации о специалисте или записи на прием можно позвонить по телефону
+7 (812)Показать телефон
.

Где принимает:

Главный врач
Опыт 19 лет
6 сертификатов
1 видеоотзыв
6 работ в портфолио

Бикбаев Александр Юрьевич: портфолио (6)

Отзывы о враче Бикбаев Александр Юрьевич

Рейтинг: 5
Отзывов: 2
Положительных: 2
Отрицательных: 0
Последний: 968 дн. назад
5.0
Почему нашим отзывам можно доверять?
14 сентября 2023 г.
1 2 3 4 5
Хочу поблагодарить Александра Юрьевича за его внимание, отзывчивость и понимание, за это время вы мне стали как родной))) и конечно за профессионализм. Сотворил мне улыбку мечты, теперь не перестаю улыбаться. Да, лечение было не быстрое и не дешевое, я пролечила все зубы, мне поставили коронки и виниры, но это того стоило. И в целом клиника отличная, хороший сервис, всегда помогут и пойдут навстречу. Буду рекомендовать всем своим друзьям и знакомым, спасибо вам большое!
13 мая 2018 г.
1 2 3 4 5
Счастлива, что попала в руки замечательного доктора Бикбаева Александра Юрьевича! Это врач с большой буквы, профессионал своего дела, внимательный к своим пациентам. Побольше-бы таких врачей, которые работают с душой, ответственно подходят по всем вопросам протезирования и эстетики. Спасибо ему и его милым понимающим медсёстрам за огромную проделанную работу. Успехов Вам и процветания!
    Помогите другим сделать правильный выбор — оставьте свой отзыв о докторе
    Написать отзыв

    Услуги стоматолога в других клиниках

    Эстетическая стоматология
    Установка виниров от 29 000 ₽ до 82 600 ₽
    Протезирование зубов
    Установка коронки на зуб от 4 800 ₽ до 105 000 ₽
    Виды протезов
    Еще услуги