Стоматолог Закаржевский Вячеслав Андреевич — цены, отзывы, стаж — Принимает в Санкт-Петербурге (СПб)

Закаржевский Вячеслав Андреевич

Закаржевский Вячеслав Андреевич - фотография

5.0
Рейтинг: 5.0
Отзывов: 2
Положительных: 2
Отрицательных: 0
Последний : 2054 дн. назад
2 отзыва
стоматолог-ортопед
Стаж 12 лет
Закаржевский Вячеслав Андреевич принимает в «Клиника высшей категории ГИЛЬДИЯ СТОМАТОЛОГОВ» в Санкт-Петербурге. Стаж 12 лет. Специализируется на ортопедии, по которой клиника оказывает 19 услуг. Имеет 3 работы до/после в портфолио. Для уточнения дополнительной информации о специалисте или записи на прием можно позвонить по телефону
+7 (812)Показать телефон
.

Где принимает:

Опыт 12 лет
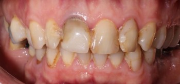
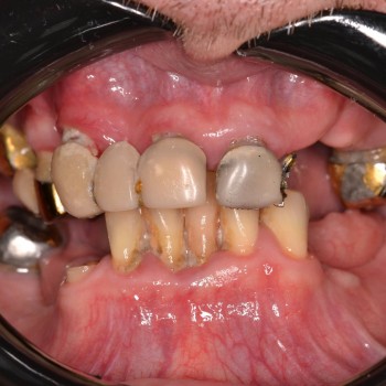
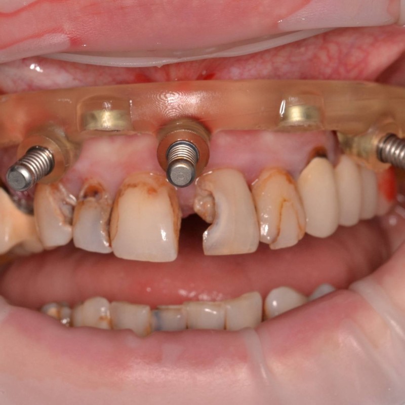
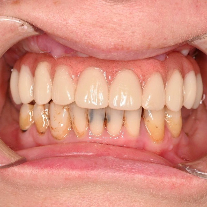
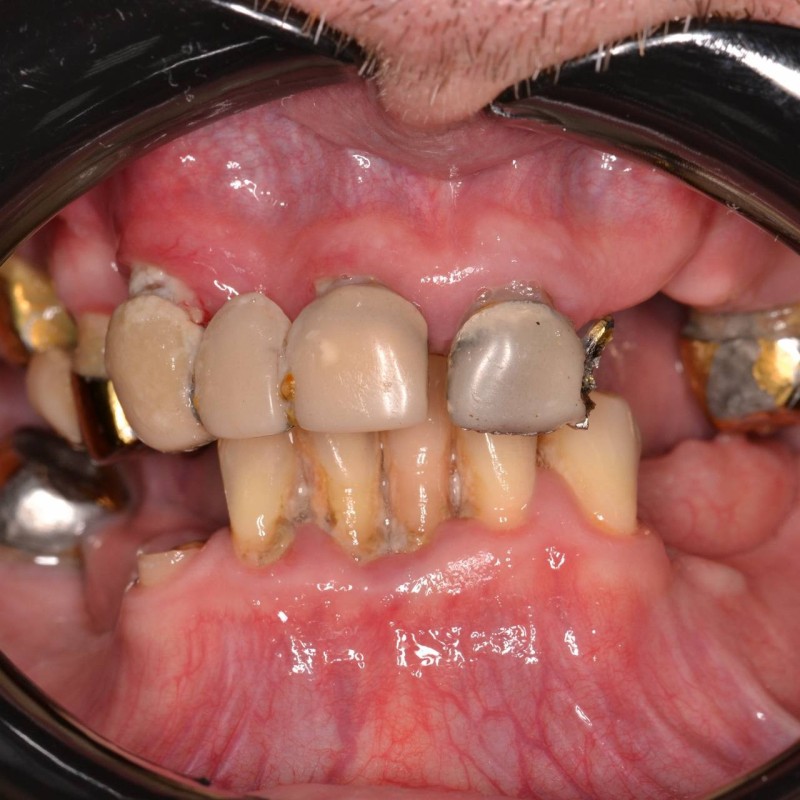
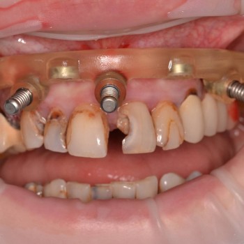
3 работы в портфолио

Закаржевский Вячеслав Андреевич: портфолио (3)

Отзывы о враче Закаржевский Вячеслав Андреевич

Рейтинг: 5
Отзывов: 2
Положительных: 2
Отрицательных: 0
Последний: 2054 дн. назад
5.0
Почему нашим отзывам можно доверять?
24 сентября 2020 г.
1 2 3 4 5
Вячеслав Андреевич ставил мне мост на левой стороне челюсти, нет там двух зубов. Сначала сделали мне протез в Москве, но очень быстро он начал доставлять больше проблем, чем пользы. Пришёл к доктору, говорит, под замену, сделали зато раза в 2 быстрее, чем мне до этого делали, и пока срок в 2 месяца пройден без проблем.
5 августа 2020 г.
1 2 3 4 5
Проходила лечение у врача—стоматолога Закаржевского! Огромное спасибо! Все отлично! В клинике чисто, уютно, тихо и спокойно!
    Помогите другим сделать правильный выбор — оставьте свой отзыв о докторе
    Написать отзыв

    Услуги стоматолога в других клиниках

    Эстетическая стоматология
    Установка виниров от 29 000 ₽ до 82 600 ₽
    Установка скайсов от 1 500 ₽ до 5 500 ₽
    Еще услуги
    Протезирование зубов
    Установка коронки на зуб от 4 800 ₽ до 105 000 ₽
    Виды протезов
    Еще услуги