Стоматолог Чернявский Вадим Юрьевич — цены, отзывы, стаж — Принимает в Санкт-Петербурге (СПб)

Чернявский Вадим Юрьевич

Чернявский Вадим Юрьевич - фотография

5.0
Рейтинг: 5.0
Отзывов: 2
Положительных: 2
Отрицательных: 0
Последний : 2129 дн. назад
2 отзыва
стоматолог-ортопед
гнатолог
Стаж 30 лет
к.м.н., врач высшей категории, главный врач
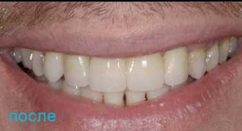
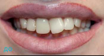
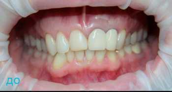
Чернявский Вадим Юрьевич принимает в «Стоматологическая клиника ДОКТОРА ЧЕРНЯВСКОГО» в Санкт-Петербурге. К.м.н., главный врач, врач высшей категории, стаж 30 лет. Специализируется на ортопедии и гнатологии, по которым клиника оказывает 4 услуги. Имеет 4 работы до/после в портфолио. Квалификация специалиста подтверждена 34 лицензиями, сертификатами и наградами. Для уточнения дополнительной информации о специалисте или записи на прием можно позвонить по телефону
+7 (812)Показать телефон
.

Где принимает:

34 сертификата
Опыт 30 лет
4 работы в портфолио
Кандидат мед.наук
Главный врач
Врач высшей категории

Награды врача

1 место по итогам Народного рейтинга 2024

О стоматологе

Стоматолог-ортопед высшей категории. Владеет самыми современными методами протезирования зубов. Практикует методику нейромышечной концепции в ортопедии. Совмещает эстетическое и функциональное протезирование для создания идеального сочетания здоровья и красоты Ваших зубов.

Чернявский Вадим Юрьевич: портфолио (4)

Отзывы о враче Чернявский Вадим Юрьевич

Рейтинг: 5
Отзывов: 2
Положительных: 2
Отрицательных: 0
Последний: 2129 дн. назад
5.0
Почему нашим отзывам можно доверять?
9 июля 2020 г.
1 2 3 4 5
Я знакома с клиникой доктора Чернявского по рекомендациям с работы, многие говорили, что у вас проводят даже самые технологически-продвинутые операции. Моя проблема не заняла и двух сеансов с ортопедом Вадимом Юрьевичем. Врач подобрал мне керамический винир с точностью, как натуральный зуб. Очень красивый и надежный материал, и стоимость не кусается. Установил всё аккуратно и по программе, подготовка была безболезненной, всего лишь обточил форму зуба для насадки винира. Керамика - отличный материал для передних зубов, мне нравится.
7 июня 2020 г.
1 2 3 4 5
Коронки, которые я устанавливал у Вадима Юрьевича, отлично служат мне уже два года. Отзыв решил написать только сейчас, потому что хотел убедиться в их качестве. Дело в том, что однажды мне не повезло с выбором стоматолога, и коронки прослужили совсем недолго. После этого неприятного инцидента я и оказался у доктора Чернявского по совету друзей. Это специалист высокого уровня, все сделал отлично. Я не пожалел, что обратился именно к нему.
    Помогите другим сделать правильный выбор — оставьте свой отзыв о докторе
    Написать отзыв

    Услуги стоматолога в других клиниках

    Протезирование зубов
    Установка коронки на зуб от 4 800 ₽ до 105 000 ₽
    Установка протеза Акри Фри (Acry-Free) от 11 000 ₽ до 85 000 ₽
    Еще услуги