Стоматолог Рябикова Кристина Камилевна — цены, отзывы, стаж — Принимает в Санкт-Петербурге (СПб)

Рябикова Кристина Камилевна

Рябикова Кристина Камилевна - фотография

5.0
Рейтинг: 5.0
Отзывов: 7
Положительных: 7
Отрицательных: 0
Последний : 957 дн. назад
7 отзывов
стоматолог-терапевт
Стаж 16 лет
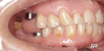
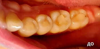
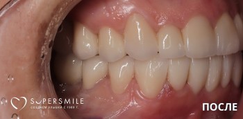
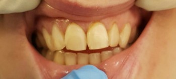
Рябикова Кристина Камилевна принимает в «Центр стоматологии СУПЕР СМАЙЛ» в Санкт-Петербурге. Стаж 16 лет. Специализируется на терапии, по которой клиника оказывает 20 услуг. Имеет 4 работы до/после в портфолио. Квалификация специалиста подтверждена 5 лицензиями, сертификатами и наградами. Для уточнения дополнительной информации о специалисте или записи на прием можно позвонить по телефону
+7 (812)Показать телефон
.

Где принимает:

Опыт 16 лет
5 сертификатов
4 работы в портфолио

Отзывы о враче Рябикова Кристина Камилевна

Рейтинг: 5
Отзывов: 7
Положительных: 7
Отрицательных: 0
Последний: 957 дн. назад
5.0
Почему нашим отзывам можно доверять?
После приема Пациент записывался в клинику через 32top. После приёма мы позвонили ему и получили отзыв.
24 сентября 2023 г.
1 2 3 4 5
Была на многих услугах, лечение кариеса, брекеты ставила, имплантация и ресторация зубов. Уже давно лечусь только в этой клинике, я их постоянный пациент. Степанов Евгений мне ставил импланты, профессионал своего дела. А ресторацию мне делала Кристина Комилевна. Клиника очень хороша. Администраторы все вежливые, заботливые, всегда предупреждают о визите. Рекомендую!
Добрый день, благодарим вас за отзыв. Всегда рады помочь! Берегите себя и не забывайте о профилактике. С уважением, команда Super Smile.
25 июля 2023 г.
1 2 3 4 5
Хожу уже лет 5 к Гузевой Кристине Камилевне. И доволен как слон. Она внимательная и очень перфекционист. Всем рекомендую, как хорошего терапевта стоматолога.
Здравствуйте! Большое спасибо за ваш отзыв. Очень приятно слышать, что вы высоко оценили профессионализм доктора. Мы всегда стремимся оказывать качественное обслуживание и заботиться о наших пациентах. Благодарим за доверие и надеемся видеть вас снова! Желаем здоровья и всего наилучшего! Берегите себя и не забывайте о профилактике. С заботой о Вас, команда Super Smile.
22 июня 2023 г.
1 2 3 4 5
Врач Кристина Камилевна Гузева, самый лучший стоматолог. Лечиться у неë не просто не страшно, а даже приятно. Профессионал с Большой буквы. Лечусь у неë уже много лет. Всегда всё на отлично.
Добрый день, большое спасибо за отзыв. Всегда рады помочь. Берегите себя и не забывайте о профилактике. С уважением, команда клиники Super Smile.
24 мая 2023 г.
1 2 3 4 5
Вылечил зубы у доктора Гузевой Кристины Камилевны. Доктор Мылышев Алексей Александрович установил имплант. Доктор Захаров Юрий Вячеславович установил коронку. Все сделали быстро и качественно, рекомендую лечить зубы в данной клинике.
Добрый день, большое спасибо за отзыв. Всегда рады помочь. Берегите себя и не забывайте о профилактике. С уважением, команда клиники Super Smile.
4 мая 2023 г.
1 2 3 4 5
Огромная благодарность Гузевой Кристине Камилевне за её высочайший профессионализм. Я очень боялся ходить к стоматологам, но познакомившись с прекрасной Кристиной Камилевной на прием иду с удовольствием! Ещё большое спасибо Малышеву Алексею Александровичу. Записался к нему на удаление зуба и даже не понял когда его удалили, всё прошло безболезненно и быстро, хотя у меня переживай было много по поводу удаления)
Добрый день, большое спасибо за отзыв. Рады помочь. Берегите себя и не забывайте о профилактике. С уважением, команда клиники Super Smile.
28 августа 2020 г.
1 2 3 4 5
Хочу выразить глубокую благодарность и признательность специалистам клиники "Суперсмайл" на Удельной - врачу-ортопеду Лавринович Екатерине Александровне, стоматологу-терапевту Гузевой Кристине Камилевне, хирургу-имплантологу Степанову Евгению Викторовичу, врачу-гигиенисту Ивановой Анне Алексеевне за высокий профессионализм, чуткое и внимательное отношение, индивидуальный подход и прекрасный результат их слаженной работы. А также хочу поблагодарить моего куратора Гладышеву Татьяну Яковлевну за доброжелательность и заботу, информирование о возможных акциях и скидках. Сервис в клинике на высшем уровне, персонал вежливый и предупредительный. Очень важно выбрать надёжную клинику, где работают настоящие профессионалы, чтобы потом не разочароваться в результатах. И я очень рада, что сделала правильный выбор!
Здравствуйте! Большое спасибо за ваш положительный отзыв. Нам очень приятно слышать, что вы довольны уровнем обслуживания в нашей клинике. Мы всегда стремимся создать комфортную и доброжелательную атмосферу для наших пациентов. Если у вас возникнут дополнительные вопросы или пожелания, пожалуйста, обращайтесь! Желаем вам успешного лечения и отличного здоровья. Берегите себя и не забывайте о профилактике. С заботой о Вас, команда Super Smile.
27 мая 2020 г.
1 2 3 4 5
Лечимся в клинике, "Супер Смайл" всей семьёй. Каждый визит в эту клинику оставляет только положительные эмоции. Обратилась в клинику по рекомендации подруги и не пожалела. Цены средние по городу, есть скидки. Внимательные и вежливые администраторы. Опытные и внимательные врачи всех специальностей выше всяких похвал. Очень понравилась врач Гузева Кристина и хирург Степанов Евгений. Спасибо.
Здравствуйте! Большое спасибо за ваш положительный отзыв. Нам очень приятно слышать, что вы довольны уровнем обслуживания в нашей клинике. Мы всегда стремимся создать комфортную и доброжелательную атмосферу для наших пациентов. Если у вас возникнут дополнительные вопросы или пожелания, пожалуйста, обращайтесь! Желаем вам успешного лечения и отличного здоровья. Берегите себя и не забывайте о профилактике. С заботой о Вас, команда Super Smile.
    Помогите другим сделать правильный выбор — оставьте свой отзыв о докторе
    Написать отзыв

    Услуги врача (5)

    Терапевтическая стоматология
    Лечение кариеса
    от 7 600 ₽ за 1 зуб
    Лечение пульпита
    от 14 800 ₽ за 1 зуб
    Установка пломбы
    от 7 900 ₽ за 1 зуб
    Еще услуги
    Все цены носят ознакомительный характер. Точную цену вы сможете получить только после консультации специалиста.
    Звоните по телефону:
    +7 (812)Показать телефон

    О стоматологе

    Специализируется на художественной реставрации зубов.

    Рябикова Кристина Камилевна: портфолио (4)

    Акции и скидки клиники СУПЕР СМАЙЛ (7)