Стоматолог Малышев Алексей Александрович — цены, отзывы, стаж — Принимает в Санкт-Петербурге (СПб)

Малышев Алексей Александрович

Малышев Алексей Александрович - фотография

5.0
Рейтинг: 5.0
Отзывов: 10
Положительных: 10
Отрицательных: 0
Последний : 140 дн. назад
10 отзывов
стоматолог-хирург
стоматолог-имплантолог
Стаж 23 года
Малышев Алексей Александрович принимает в «Центр стоматологии СУПЕР СМАЙЛ» в Санкт-Петербурге. Стаж 23 года. Специализируется на хирургии и имплантологии, по которым клиника оказывает 14 услуг. Квалификация специалиста подтверждена 11 лицензиями, сертификатами и наградами, а опыт 10 отзывами пациентов, из которых 10 положительные. Для уточнения дополнительной информации о специалисте или записи на прием можно позвонить по телефону
+7 (812)Показать телефон
. Занимает 19 место в рейтинге стоматологов-имплантологов 32top в вашем городе. Также 32top представляет форму онлайн расписания, через которую можно записаться к специалисту на свободную дату и время.

Где принимает:

11 сертификатов
Опыт 23 года
1 работа в портфолио

Отзывы о враче Малышев Алексей Александрович

Рейтинг: 5
Отзывов: 10
Положительных: 10
Отрицательных: 0
Последний: 140 дн. назад
5.0
Пациенты отмечают:
Профессионализм
Вежливость
Подробные объяснения
Тщательный осмотр
Аккуратность
Лечение помогло
Почему нашим отзывам можно доверять?
20 декабря 2025 г.
1 2 3 4 5
Очень довольна посещением этой стоматологической клиники! Особую благодарность хочу выразить Малышеву Алексею Александровичу — настоящий специалист своего дела. Он очень быстро и безболезненно удалил зубы мудрости, всё прошло на высшем уровне. Чувствовала себя комфортно и уверенно на всей процедуре. Рекомендую эту клинику всем, кому важен профессионализм и качественное обслуживание!
12 марта 2025 г.
1 2 3 4 5
Была в клинике на удалении зуба у хирурга Малышева А. А. Отлично , безболезненно прошло удаление. Замечательное обслуживание. Современные материалы. Советую клинику.
Здравствуйте! Спасибо большое за ваш положительный отзыв. Мы очень рады, что вы остались довольны работой нашего хирурга и обслуживанием в клинике. Нам важно, чтобы каждый визит был максимально комфортным и безболезненным для наших пациентов. Будем рады видеть вас снова и готовы помочь, если потребуется! Желаем здоровья и всего наилучшего! Берегите себя и не забывайте о профилактике. С заботой о Вас, команда Super Smile.
7 августа 2023 г.
1 2 3 4 5
Хочу сказать большое спасибо доктору Малышеву Алексею Александровичу. К сожалению, пришлось удалять несколько зубов. С детства боюсь стоматологов, поэтому каждая такая операция мне тяжело дается. Но здесь минимум переживаний, скорее из-за моего собственного волнения. Доктор - настоящий профессионал, все четко спокойно и быстро. После удаления сразу поставили импланты, чтобы сократить время до появления новых зубов)) в общем, очень довольна, большое спасибо доктору!
Здравствуйте! Большое спасибо за ваш отзыв. Очень приятно слышать, что вы высоко оценили профессионализм доктора. Мы всегда стремимся оказывать качественное обслуживание и заботиться о наших пациентах. Благодарим за доверие и надеемся видеть вас снова! Желаем здоровья и всего наилучшего! Берегите себя и не забывайте о профилактике. С заботой о Вас, команда Super Smile.
30 июня 2023 г.
1 2 3 4 5
Я пришел в эту клинику впервые где-то лет десять назад, иди больше. С тех пор я не пользуюсь услугами доугих клиник. Во первых, мне нравится удобное ее опсположение. Это тоже важно. И, с первого раза я попал к Горяйновой Анне Брониславовне. С тех пор я хожу только к ней. Просто замечательная женщина и прекрасный врач! Умная, доброжелательная и врач высокого уровня. Так же мне довелось иметь дело с Малышевым Алексеем Алексендровичем. Это прсто хирург от бога. Тихий, спокойный человек. Но, имет крепкие профессиональные руки. Как врач, он мне очень понравился. Скажу больше, я рекомендую его. Недавно мне срочно понадобилась помощь врача стоматолога. Все заняты. Мне порекомендовали другого врача, Котову Арину Сергеевну. Боже! Это просто открытие. Она моложе, но она сразу приобрела доверие и уважение. В этой клинике других врачей и не может быть. Какая она молодец! Умная. Грамотная. Смелая. Чувствуется твердый опыт. Спасибо ей. Я рад, что однажды нашел эту клинику. Рассказываю о ней другим. Я имею еще много поводов прийти сюда.
Здравствуйте! Большое спасибо за ваш положительный отзыв. Нам очень приятно слышать, что вы довольны уровнем обслуживания в нашей клинике. Мы всегда стремимся создать комфортную и доброжелательную атмосферу для наших пациентов. Если у вас возникнут дополнительные вопросы или пожелания, пожалуйста, обращайтесь! Желаем вам успешного лечения и отличного здоровья. Берегите себя и не забывайте о профилактике. С заботой о Вас, команда Super Smile.
15 июня 2023 г.
1 2 3 4 5
Удалял в клинике два зуба с последующей имплантацией у доктора Малышева, все прошло довольно быстро и абсолютно безболезненно! Гораздо легче, чем я ожидал)) Супруга удаляла 3 восьмерки, каждый раз всё гладко, без осложнений. В общем, рекомендую!
Добрый день, большое спасибо за отзыв. Всегда рады помочь. Берегите себя и не забывайте о профилактике. С уважением, команда клиники Super Smile.
6 июня 2023 г.
1 2 3 4 5
Очень понравился врач Малышев. Удалил зуб мудрости за две секунды, я даже не поняла ничего. Заживает хорошо. Спасибо!
Добрый день, большое спасибо за отзыв. Всегда рады помочь. Берегите себя и не забывайте о профилактике. С уважением, команда клиники Super Smile.
24 мая 2023 г.
1 2 3 4 5
Вылечил зубы у доктора Гузевой Кристины Камилевны. Доктор Мылышев Алексей Александрович установил имплант. Доктор Захаров Юрий Вячеславович установил коронку. Все сделали быстро и качественно, рекомендую лечить зубы в данной клинике.
Добрый день, большое спасибо за отзыв. Всегда рады помочь. Берегите себя и не забывайте о профилактике. С уважением, команда клиники Super Smile.
19 мая 2023 г.
1 2 3 4 5
Ходила на а удаление 8-ки к Малышеву Алексею Александровичу. Пре просто потрясающе: быстро безболезненно недорого и процесс заживления прошел незаметно.
Добрый день, большое спасибо за отзыв. Всегда рады помочь. Берегите себя и не забывайте о профилактике. С уважением, команда клиники Super Smile.
4 мая 2023 г.
1 2 3 4 5
Огромная благодарность Гузевой Кристине Камилевне за её высочайший профессионализм. Я очень боялся ходить к стоматологам, но познакомившись с прекрасной Кристиной Камилевной на прием иду с удовольствием! Ещё большое спасибо Малышеву Алексею Александровичу. Записался к нему на удаление зуба и даже не понял когда его удалили, всё прошло безболезненно и быстро, хотя у меня переживай было много по поводу удаления)
Добрый день, большое спасибо за отзыв. Рады помочь. Берегите себя и не забывайте о профилактике. С уважением, команда клиники Super Smile.
22 апреля 2023 г.
1 2 3 4 5
Спасибо доктору, Алексею Александровичу Малышеву за профессионализм и душевность. Очень довольна его работой, качественно, быстро и красиво работает доктор хирург имплантолог. Всём рекомендую
Добрый день, большое спасибо за отзыв. Рады помочь. Берегите себя и не забывайте о профилактике. С уважением, команда клиники Super Smile.
    Помогите другим сделать правильный выбор — оставьте свой отзыв о докторе
    Написать отзыв

    Услуги врача (64)

    Хирургическая стоматология
    Удаление зубов
    от 4 900 ₽ за 1 зуб
    Удаление зуба мудрости
    от 9 000 ₽ за 1 зуб
    Сложное удаление зуба
    от 11 500 ₽ за 1 зуб
    Еще услуги
    Имплантация
    Имплантация зубов под ключ
    от 64 400 ₽ за 1 зуб
    Установка мини-импланта
    Коронки на имплантах
    Еще услуги
    Все цены носят ознакомительный характер. Точную цену вы сможете получить только после консультации специалиста.
    Звоните по телефону:
    +7 (812)Показать телефон

    О стоматологе

    Специализируется на имплантации зубов. Установил более 2000 имплантов.

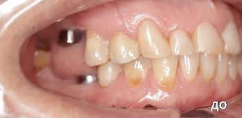
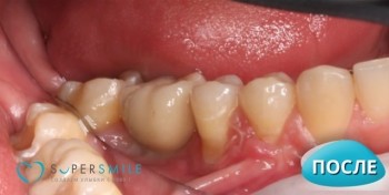
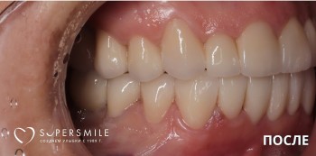
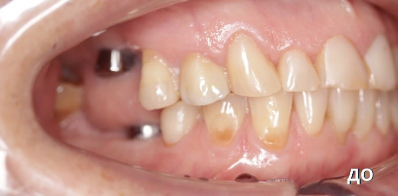
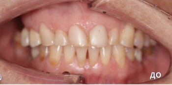
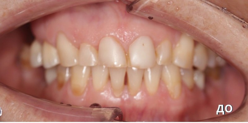
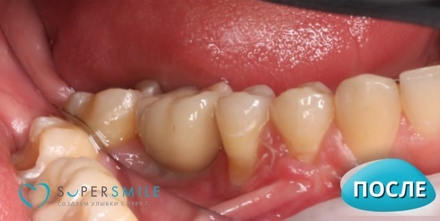
    Малышев Алексей Александрович: портфолио (1)

    Акции и скидки клиники СУПЕР СМАЙЛ (7)