Стоматолог Степанов Евгений Викторович — цены, отзывы, стаж — Принимает в Санкт-Петербурге (СПб)

Степанов Евгений Викторович

Степанов Евгений Викторович - фотография

5.0
Рейтинг: 5.0
Отзывов: 8
Положительных: 8
Отрицательных: 0
Последний : 509 дн. назад
8 отзывов
стоматолог-хирург
стоматолог-имплантолог
Стаж 20 лет
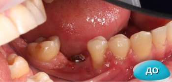
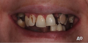
Степанов Евгений Викторович принимает в «Центр стоматологии СУПЕР СМАЙЛ» в Санкт-Петербурге. Стаж 20 лет. Специализируется на хирургии и имплантологии, по которым клиника оказывает 14 услуг. Имеет 16 работ до/после в портфолио. Квалификация специалиста подтверждена 18 лицензиями, сертификатами и наградами. Для уточнения дополнительной информации о специалисте или записи на прием можно позвонить по телефону
+7 (812)Показать телефон
. Также 32top представляет форму онлайн расписания, через которую можно записаться к специалисту на свободную дату и время.

Где принимает:

18 сертификатов
Опыт 20 лет
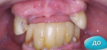
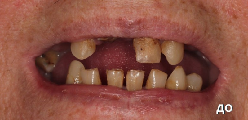
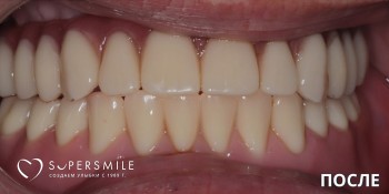
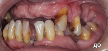
16 работ в портфолио

Отзывы о враче Степанов Евгений Викторович

Рейтинг: 5
Отзывов: 8
Положительных: 8
Отрицательных: 0
Последний: 509 дн. назад
5.0
Пациенты отмечают:
Профессионализм
Вежливость
Подробные объяснения
Тщательный осмотр
Аккуратность
Лечение помогло
Почему нашим отзывам можно доверять?
14 декабря 2024 г.
1 2 3 4 5
Лучусь в Supersmile на удельной на протяжении 4 лет.Самое приятное место из клиник в которых был. Отличные специалисты! Особая благодарность хирургу Степанову, ортопеду Лавринович, ортодонту Никитенко, терапевту Рябиковой и всему персоналу который всегда радушно встречает. Помимо профессионального лечения заряжают хорошим настроением! Часто бывают акции на имплантаты и коронки. Понятные цены и грамотное составление плана лечения. Желаю этой клинике процветания и всегда оставаться на таком высоком уровне.
Здравствуйте! Благодарим вас за теплые слова и доверие на протяжении этих лет. Нам очень приятно знать, что вы довольны нашим коллективом и услугами. Обязательно передадим вашу благодарность нашим специалистам. Желаем вам здоровья и всегда рады видеть в нашей клинике! Берегите себя и не забывайте о профилактике. С заботой о Вас, команда Super Smile.
После приема Пациент записывался в клинику через 32top. После приёма мы позвонили ему и получили отзыв.
24 сентября 2023 г.
1 2 3 4 5
Была на многих услугах, лечение кариеса, брекеты ставила, имплантация и ресторация зубов. Уже давно лечусь только в этой клинике, я их постоянный пациент. Степанов Евгений мне ставил импланты, профессионал своего дела. А ресторацию мне делала Кристина Комилевна. Клиника очень хороша. Администраторы все вежливые, заботливые, всегда предупреждают о визите. Рекомендую!
Добрый день, благодарим вас за отзыв. Всегда рады помочь! Берегите себя и не забывайте о профилактике. С уважением, команда Super Smile.
После приема Пациент записывался в клинику через 32top. После приёма мы позвонили ему и получили отзыв.
17 сентября 2023 г.
1 2 3 4 5
В клинике работают высококвалифицированные врачи, компетентны в своей работе. Я бы сказала высокий уровень предоставляемых услуг. Делала импланты у доктора Степанова Е. В. очень хороший врач, спокойный, рассудительный, все подробно рассказал. И Лавринович Екатерина Александровна, она там главный врач, отзывчивая, доброжелательная, отличные специалисты. Планирую записаться на дальнейшее лечение.
Добрый день, благодарим вас за отзыв. Всегда рады помочь! Берегите себя и не забывайте о профилактике. С уважением, команда Super Smile.
После приема Пациент записывался в клинику через 32top. После приёма мы позвонили ему и получили отзыв.
13 сентября 2023 г.
1 2 3 4 5
Была у многих специалистах: Никитенко В. В. , Лавринович Е. А., у Степанова Е. В. и еще с ребенком ходили к Суворову Илье Николаевичу. Могу сказать, только хорошее, врачи профессионалы своего дела, индивидуальный подход, высокое обслуживание, приятный персонал. Мне все понравилось!!!
Добрый день. Спасибо за ваш отзыв! Мы рады, что вы остались довольны нашими специалистами и обслуживанием. Мы всегда стараемся обеспечить индивидуальный подход к каждому пациенту и предоставить высокий уровень медицинской помощи. Мы будем рады видеть вас снова у нас в клинике! Берегите себя и не забывайте о профилактике. С уважением, команда Super Smile.
22 августа 2023 г.
1 2 3 4 5
Удалила зуб у доктора Степанова Евгения Викторовича, доктор очень внимательный, удаление прошло быстро и безболезненно, раньше зубы удаляла, но такое в первый раз!!! Доктор настоящий профессионал, рекомендую, особенно тем кто боится
Здравствуйте! Большое спасибо за ваш отзыв. Очень приятно слышать, что вы высоко оценили профессионализм доктора. Мы всегда стремимся оказывать качественное обслуживание и заботиться о наших пациентах. Благодарим за доверие и надеемся видеть вас снова! Желаем здоровья и всего наилучшего! Берегите себя и не забывайте о профилактике. С заботой о Вас, команда Super Smile.
15 августа 2023 г.
1 2 3 4 5
Спасибо за быструю и качественную гигиену Евгении Игоревне! Ранее обращалась к Степанову Евгению Викторовичу и Ефимову Владимиру Александровичу! Спасибо! Все на 5 баллов!
Здравствуйте! Большое спасибо за ваш положительный отзыв. Нам очень приятно слышать, что вы довольны уровнем обслуживания в нашей клинике. Мы всегда стремимся создать комфортную и доброжелательную атмосферу для наших пациентов. Если у вас возникнут дополнительные вопросы или пожелания, пожалуйста, обращайтесь! Желаем вам успешного лечения и отличного здоровья. Берегите себя и не забывайте о профилактике. С заботой о Вас, команда Super Smile.
24 июля 2023 г.
1 2 3 4 5
Удаляла зубы у доктора Степановна Евгения Викторовича, мастер своего дела, удалил зуб, который многие не брались удалять! свекровь ставила импланты у него, лечимся всей семьёй! рекомендую
Здравствуйте! Большое спасибо за ваш отзыв. Очень приятно слышать, что вы высоко оценили профессионализм доктора. Мы всегда стремимся оказывать качественное обслуживание и заботиться о наших пациентах. Благодарим за доверие и надеемся видеть вас снова! Желаем здоровья и всего наилучшего! Берегите себя и не забывайте о профилактике. С заботой о Вас, команда Super Smile.
28 августа 2020 г.
1 2 3 4 5
Хочу выразить глубокую благодарность и признательность специалистам клиники "Суперсмайл" на Удельной - врачу-ортопеду Лавринович Екатерине Александровне, стоматологу-терапевту Гузевой Кристине Камилевне, хирургу-имплантологу Степанову Евгению Викторовичу, врачу-гигиенисту Ивановой Анне Алексеевне за высокий профессионализм, чуткое и внимательное отношение, индивидуальный подход и прекрасный результат их слаженной работы. А также хочу поблагодарить моего куратора Гладышеву Татьяну Яковлевну за доброжелательность и заботу, информирование о возможных акциях и скидках. Сервис в клинике на высшем уровне, персонал вежливый и предупредительный. Очень важно выбрать надёжную клинику, где работают настоящие профессионалы, чтобы потом не разочароваться в результатах. И я очень рада, что сделала правильный выбор!
Здравствуйте! Большое спасибо за ваш положительный отзыв. Нам очень приятно слышать, что вы довольны уровнем обслуживания в нашей клинике. Мы всегда стремимся создать комфортную и доброжелательную атмосферу для наших пациентов. Если у вас возникнут дополнительные вопросы или пожелания, пожалуйста, обращайтесь! Желаем вам успешного лечения и отличного здоровья. Берегите себя и не забывайте о профилактике. С заботой о Вас, команда Super Smile.
    Помогите другим сделать правильный выбор — оставьте свой отзыв о докторе
    Написать отзыв

    Услуги врача (2)

    Хирургическая стоматология
    Удаление кисты и гранулемы зуба
    Лоскутные операции
    Все цены носят ознакомительный характер. Точную цену вы сможете получить только после консультации специалиста.
    Звоните по телефону:
    +7 (812)Показать телефон

    О стоматологе

    Евгений Викторович Степанов – 10 лет специализируется на имплантации. Ведущий имплантолог клиники. Установил более 3000 имплантатов. Специализируется на сложных случаях. Устанавливает скуловые импланты Nobel Zygoma. Владеет методикой Все на четырех. Проведение операций костной пластики и синус лифтинга. Проходил обучение и практику у ведущих мировых специалистов в Израиле, Испании, Венгрии, Португалии. Ежегодно принимает участие и повышает свое мастерство, принимая участие в международных конференциях, симпозиумах и семинарах по хирургии и ортопедии.

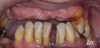
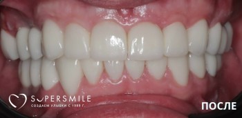
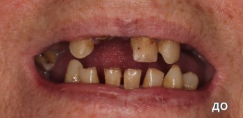
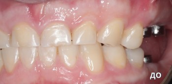
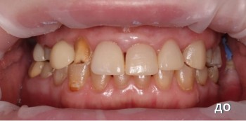
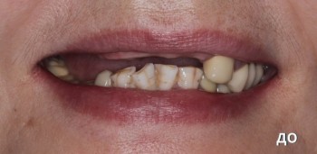
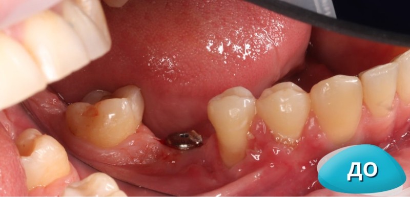
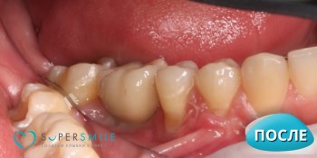
    Степанов Евгений Викторович: портфолио (16)

    Акции и скидки клиники СУПЕР СМАЙЛ (7)