Стоматолог Рожкова (Куваева) Анна Сергеевна — цены, отзывы, стаж — Принимает в Санкт-Петербурге (СПб)

Рожкова (Куваева) Анна Сергеевна

Рожкова (Куваева) Анна Сергеевна - фотография

5.0
Рейтинг: 5.0
Отзывов: 2
Положительных: 2
Отрицательных: 0
Последний : 2166 дн. назад
2 отзыва
стоматолог-терапевт
детский стоматолог
Стаж 15 лет
Рожкова (Куваева) Анна Сергеевна принимает в «Центр имплантации и стоматологии ИНТАН НА БАБУШКИНА» в Санкт-Петербурге. Стаж 15 лет. Специализируется на терапии и детской стоматологии, по которым клиника оказывает 14 услуг. Имеет 2 работы до/после в портфолио. Для уточнения дополнительной информации о специалисте или записи на прием можно позвонить по телефону
+7 (812)Показать телефон
.

Где принимает:

Опыт 15 лет
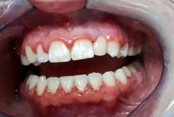
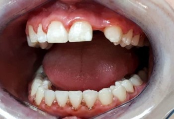
2 работы в портфолио

Рожкова (Куваева) Анна Сергеевна: портфолио (2)

Отзывы о враче Рожкова (Куваева) Анна Сергеевна

Рейтинг: 5
Отзывов: 2
Положительных: 2
Отрицательных: 0
Последний: 2166 дн. назад
5.0
Почему нашим отзывам можно доверять?
2 июня 2020 г.
1 2 3 4 5
Ощущение, что пришел не только к врачу, но и к психологу. Не просто врач, ещё и хороший человек. Не говоря о том, что прекрасный специалист! Всем рекомендую, дети ее не бояться! Моя дочь и я ходим к Анне много лет, всем довольны. А, то, что дети не боятся, так по мне это очень очень важно, это большой плюс! Я сама долгое время боялась врачей, но как попала на прием к Анне, то все прошло!
29 мая 2020 г.
1 2 3 4 5
Очень доволен клиникой! С 2019 года хожу на профилактический осмотр и чистку зубов к Куваевой Анне Сергеевне! Все без нареканий. Быстро, профессионально. Также лечил больной зуб (кариес) и остался вполне доволен как ценами, так и качеством лечения. Рекомендую этого врача! Касательно клиники: хорошее, современное оборудование, удобные диваны и телевизор в зале ожидания. Все врачи, ассистенты и даже администратор в масках, халатах и перчатках. Документы быстро оформили. Быстро составили карточку пациента. Время ожидания приема минимальное.
    Помогите другим сделать правильный выбор — оставьте свой отзыв о докторе
    Написать отзыв

    Услуги стоматолога в других клиниках

    Терапевтическая стоматология
    Лечение кариеса от 3 500 ₽ до 14 500 ₽
    Лечение пульпита от 5 000 ₽ до 35 000 ₽
    Еще услуги
    Детская стоматология
    Лечение молочных зубов от 1 600 ₽ до 10 000 ₽
    Удаление зубов у детей от 740 ₽ до 8 250 ₽
    Еще услуги