Стоматолог Козлова Виктория Олеговна — цены, отзывы, стаж — Принимает в Санкт-Петербурге (СПб)

Козлова Виктория Олеговна

Козлова Виктория Олеговна - фотография
стоматолог-ортодонт
Стаж 10 лет
Козлова Виктория Олеговна принимает в «Стоматологическая клиника ВИТАЛЬ» в Санкт-Петербурге. Стаж 10 лет. Специализируется на ортодонтии, по которой клиника оказывает 8 услуг. Имеет 4 работы до/после в портфолио. Квалификация специалиста подтверждена 14 лицензиями, сертификатами и наградами. Для уточнения дополнительной информации о специалисте или записи на прием можно позвонить по телефону
+7 (812)Показать телефон
.

Где принимает:

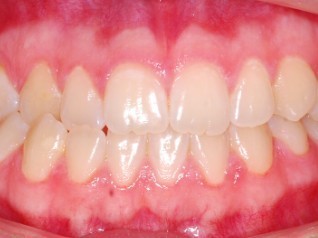
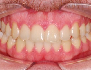
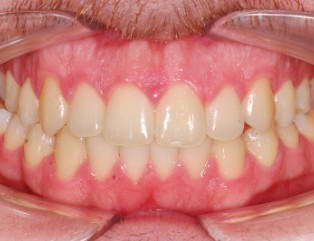
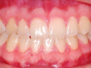
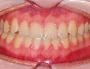
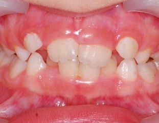
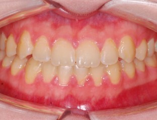
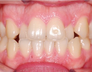
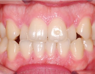
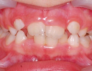
4 работы в портфолио
Опыт 10 лет
14 сертификатов

Козлова Виктория Олеговна: портфолио (4)

    Помогите другим сделать правильный выбор — оставьте свой отзыв о докторе
    Написать отзыв

    Услуги стоматолога в других клиниках

    Ортодонтия
    Виды брекетов по материалу
    Установка металлических брекетов
    от 12 100 ₽ до 248 650 ₽
    Еще услуги