Стоматолог Идимясова (Гиниятуллина) Диляра Хамидулловна — цены, отзывы, стаж — Принимает в Санкт-Петербурге (СПб)

Идимясова (Гиниятуллина) Диляра Хамидулловна

Идимясова (Гиниятуллина) Диляра Хамидулловна - фотография
стоматолог-ортодонт
Стаж 9 лет
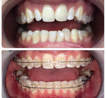
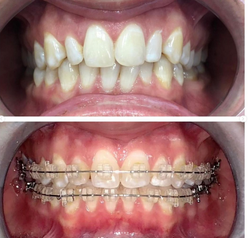
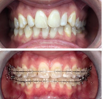
Идимясова (Гиниятуллина) Диляра Хамидулловна принимает в «Стоматология и косметология БЬЮТИ ОРТОШИК» в Санкт-Петербурге. Стаж 9 лет. Специализируется на ортодонтии, по которой клиника оказывает 8 услуг. Имеет 2 работы до/после в портфолио. Для уточнения дополнительной информации о специалисте или записи на прием можно позвонить по телефону
+7 (966)Показать телефон
.

Где принимает:

Опыт 9 лет
2 работы в портфолио

Идимясова (Гиниятуллина) Диляра Хамидулловна: портфолио (2)

    Помогите другим сделать правильный выбор — оставьте свой отзыв о докторе
    Написать отзыв

    Услуги стоматолога в других клиниках

    Ортодонтия
    Виды брекетов по материалу
    Установка металлических брекетов
    от 12 100 ₽ до 248 650 ₽
    Еще услуги