Стоматолог Науменко Георгий Владимирович — цены, отзывы, стаж — Принимает в Санкт-Петербурге (СПб)

Науменко Георгий Владимирович

Науменко Георгий Владимирович - фотография

5.0
Рейтинг: 5.0
Отзывов: 3
Положительных: 3
Отрицательных: 0
Последний : 1927 дн. назад
3 отзыва
стоматолог-хирург
стоматолог-имплантолог
челюстно-лицевой хирург
Стаж 13 лет
Науменко Георгий Владимирович принимает в «Стоматологическая клиника МАРКА» в Санкт-Петербурге. Стаж 13 лет. Специализируется на хирургии, имплантологии и челюстно-лицевой хирургии, по которым клиника оказывает 3 услуги. Имеет 5 работ до/после в портфолио. Квалификация специалиста подтверждена 13 лицензиями, сертификатами и наградами. Для уточнения дополнительной информации о специалисте или записи на прием можно позвонить по телефону
+7 (812)Показать телефон
.

Где принимает:

13 сертификатов
5 работ в портфолио
Опыт 13 лет

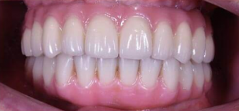
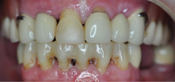
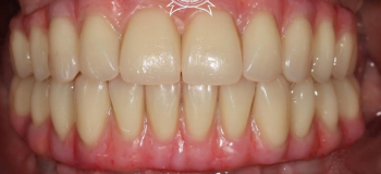
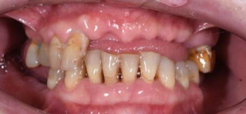
Науменко Георгий Владимирович: портфолио (5)

Отзывы о враче Науменко Георгий Владимирович

Рейтинг: 5
Отзывов: 3
Положительных: 3
Отрицательных: 0
Последний: 1927 дн. назад
5.0
Почему нашим отзывам можно доверять?
2 февраля 2021 г.
1 2 3 4 5
Хочу выразить благодарность Науменко Георгию Владимировичу. Удалил у него уже две восьмёрки. Быстро и абсолютно безболезненно. Зажило тоже все отлично! Спасибо всем сотрудникам "Гильдии Стоматологов" за слаженную и качественную работу! Буду вас рекомендовать!
Здравствуйте! Спасибо Вам за высокую оценку нашего труда!
25 июля 2020 г.
1 2 3 4 5
Выражаю огромную благодарность за высокий профессионализм в своей работе, трепетное отношение к проблемам и за проделанную работу со мной Ханесян Анне Людвиговне, Алексееву Алексею Владимировичу и Науменко Георгию Владимировичу! Теперь у меня есть зубы и я могу жевать!!!
С уважением, генеральный директор
15 сентября 2020 г.
Здравствуйте, Владислав! Спасибо Вам большое за Ваш отзыв и благодарности. Нам очень приятно. Стараемся к каждому пациенту относится чутко и внимательно. Будем рады Вам помочь. Спасибо!
21 июля 2020 г.
1 2 3 4 5
Огромное спасибо Науменко Георгию Владимировичу и всей команде специалистов за качественную, слаженную и профессиональную работу. Сделали два импланта без осложнений и без боли. Советую врача как высокого профессионала и внимательного, доброго человека. Здоровья и счастья вам, успехов в трудном и интересном деле.
С уважением, генеральный директор
15 сентября 2020 г.
Здравствуйте, Елена! Георгий Владимирович Науменко - врач, который максимально увлечен свой профессией, берется даже за самые сложные случаи. Спасибо Вам за Ваш отзыв и добрые слова. Приятно!
    Помогите другим сделать правильный выбор — оставьте свой отзыв о докторе
    Написать отзыв

    Услуги стоматолога в других клиниках

    Диагностика
    Консультация стоматолога от 1 ₽ до 3 500 ₽
    Консультация челюстно-лицевого хирурга от 1 ₽ до 3 000 ₽
    Еще услуги
    Хирургическая стоматология
    Удаление зубов от 1 100 ₽ до 25 000 ₽
    Удаление зуба мудрости от 3 000 ₽ до 35 000 ₽
    Еще услуги
    Имплантация
    Методы имплантации
    Одномоментная имплантация
    от 25 000 ₽ до 140 000 ₽
    Еще услуги