Стоматолог Алексеев Алексей Владимирович — цены, отзывы, стаж — Принимает в Санкт-Петербурге (СПб)

Алексеев Алексей Владимирович

Алексеев Алексей Владимирович - фотография

5.0
Рейтинг: 5.0
Отзывов: 4
Положительных: 4
Отрицательных: 0
Последний : 282 дн. назад
4 отзыва
стоматолог-терапевт
стоматолог-ортопед
Стаж 19 лет
Алексеев Алексей Владимирович принимает в «Стоматологическая клиника МАРКА» в Санкт-Петербурге. Стаж 19 лет. Специализируется на терапии и ортопедии, по которым клиника оказывает 11 услуг. Имеет 9 работ до/после в портфолио. Квалификация специалиста подтверждена 22 лицензиями, сертификатами и наградами. Для уточнения дополнительной информации о специалисте или записи на прием можно позвонить по телефону
+7 (812)Показать телефон
.

Где принимает:

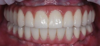
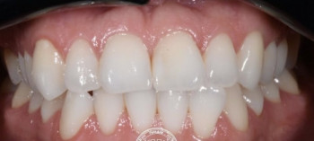
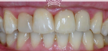
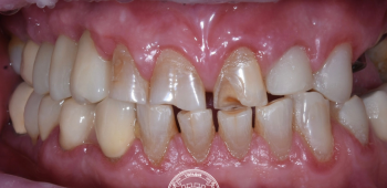
9 работ в портфолио
22 сертификата
Опыт 19 лет

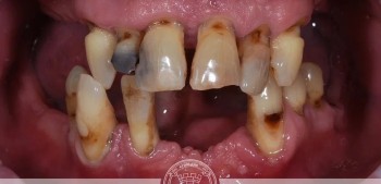
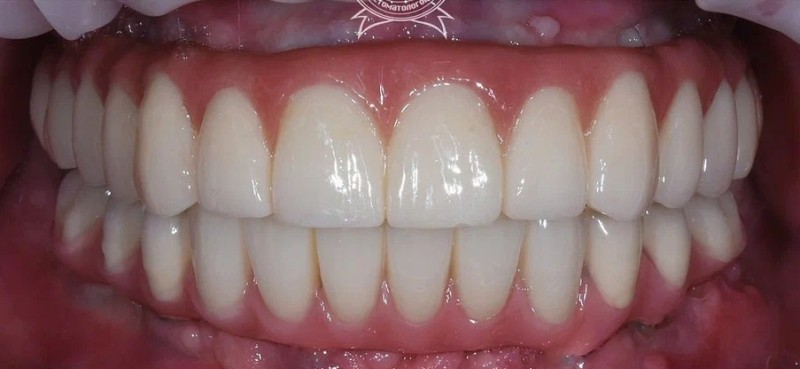
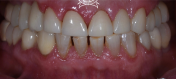
Алексеев Алексей Владимирович: портфолио (9)

Отзывы о враче Алексеев Алексей Владимирович

Рейтинг: 5
Отзывов: 4
Положительных: 4
Отрицательных: 0
Последний: 282 дн. назад
5.0
Почему нашим отзывам можно доверять?
30 июля 2025 г.
1 2 3 4 5
Доктор Алексеев Алексей Владимирович отличный ортопед. Проделана огромная работа с отличным результатом
Добрый день. Огромное спасибо Вам за отзыв. Обещаем оправдывать Ваши самые высокие ожидания. Крепкого вам здоровья! С пожеланиями всего наилучшего, администрация клиники "Гильдия стоматологов"!
26 января 2022 г.
1 2 3 4 5
К Алексееву А. В. обратилась впервые с целью установки коронок на импланты. Зубы получились лучше, чем свои были. После у этого же доктора я решилась сделать себе "голливудскую" улыбку. Доктор своим спокойствием, уверенностью и мастерством успокаивает не хуже анестезии. Улыбка получилась натурально-белозубая, как и обсуждалось в самом начале! Спасибо большое Алексею Владимировичу.
Здравствуйте! Спасибо, что уделили время и оставили отзыв. Нам очень приятно, что у вас сложилось положительное впечатление о работе доктора. Спасибо, что решили обратиться к нам. Мы стараемся, чтобы пациентам было максимально комфортно на каждом этапе обращения к нам. Будьте здоровы и берегите себя! С пожеланиями всего наилучшего, администрация клиники "Гильдия стоматологов"!
20 октября 2021 г.
1 2 3 4 5
Я давно хожу к Алексееву Алексею, он оставил о себе только положительные впечатления. Врач проводил мне установку коронок и все отлично сделал. Доктор вежлив, тактичен и доброжелателен в общении, всегда все подробно рассказывает, говорит как будет лучше и подешевле. У доктора большой опыт работы. Все манипуляции проводит очень аккуратно и максимально безболезненно. Претензий к врачу нет, пусть и дальше также хорошо продолжает работать.
Здравствуйте! Спасибо за оставленный отзыв. Рады, что вы остались довольны обращением в клинику "Гильдия стоматологов". Потребуется квалифицированная помощь – ждём вас.
25 июля 2020 г.
1 2 3 4 5
Выражаю огромную благодарность за высокий профессионализм в своей работе, трепетное отношение к проблемам и за проделанную работу со мной Ханесян Анне Людвиговне, Алексееву Алексею Владимировичу и Науменко Георгию Владимировичу! Теперь у меня есть зубы и я могу жевать!!!
С уважением, генеральный директор
15 сентября 2020 г.
Здравствуйте, Владислав! Спасибо Вам большое за Ваш отзыв и благодарности. Нам очень приятно. Стараемся к каждому пациенту относится чутко и внимательно. Будем рады Вам помочь. Спасибо!
    Помогите другим сделать правильный выбор — оставьте свой отзыв о докторе
    Написать отзыв

    Услуги стоматолога в других клиниках

    Терапевтическая стоматология
    Лечение кариеса от 3 500 ₽ до 14 500 ₽
    Лечение пульпита от 5 000 ₽ до 35 000 ₽
    Еще услуги
    Протезирование зубов
    Установка коронки на зуб от 4 800 ₽ до 105 000 ₽
    Виды протезов
    Еще услуги