Стоматолог Куракова Алена Сергеевна — цены, отзывы, стаж — Принимает в Санкт-Петербурге (СПб)

Куракова Алена Сергеевна

Куракова Алена Сергеевна - фотография

5.0
Рейтинг: 5.0
Отзывов: 2
Положительных: 2
Отрицательных: 0
Последний : 2051 дн. назад
2 отзыва
стоматолог-ортодонт
Стаж 9 лет
Куракова Алена Сергеевна принимает в «​Центр имплантации и стоматологии АНЖЕ» в Санкт-Петербурге. Стаж 9 лет. Специализируется на ортодонтии, по которой клиника оказывает 3 услуги. Квалификация специалиста подтверждена 9 лицензиями, сертификатами и наградами. Для уточнения дополнительной информации о специалисте или записи на прием можно позвонить по телефону
+7 (812)Показать телефон
.

Где принимает:

Опыт 9 лет
9 сертификатов
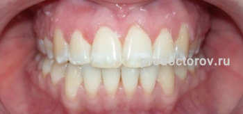
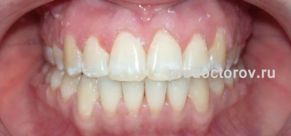
1 работа в портфолио

Куракова Алена Сергеевна: портфолио (1)

Отзывы о враче Куракова Алена Сергеевна

Рейтинг: 5
Отзывов: 2
Положительных: 2
Отрицательных: 0
Последний: 2051 дн. назад
5.0
Почему нашим отзывам можно доверять?
26 сентября 2020 г.
1 2 3 4 5
Потрясающий ортодонт! Решила ставить брекеты, обратилась к Алёне по рекомендации нескольких друзей, понимаю, что очень повезло, всё доступно, удобно, хорошо объясняет, быстро и качественно сделали план лечения, ну и отдельный плюс за харизму.:) Всех своих знакомых отправляю к ней, полностью доверяю
18 августа 2019 г.
1 2 3 4 5
Спасибо клинике ТариДент за поставленные брекеты. Результат уже налицо и я могу спокойно улыбаться. Алена Сергеевна прекрасный врач.
    Помогите другим сделать правильный выбор — оставьте свой отзыв о докторе
    Написать отзыв

    Услуги стоматолога в других клиниках

    Ортодонтия
    Виды брекетов по материалу
    Установка металлических брекетов
    от 12 100 ₽ до 248 650 ₽
    Еще услуги