Стоматолог Ермошкина Ольга Сергеевна — цены, отзывы, стаж — Принимает в Санкт-Петербурге (СПб)

Ермошкина Ольга Сергеевна

Ермошкина Ольга Сергеевна - фотография

5.0
Рейтинг: 5.0
Отзывов: 4
Положительных: 4
Отрицательных: 0
Последний : 457 дн. назад
4 отзыва
стоматолог-ортодонт
детский стоматолог
гнатолог
Стаж 10 лет
Ермошкина Ольга Сергеевна принимает в «Сеть стоматологических клиник ФАКТОР УЛЫБКИ» в Санкт-Петербурге. Стаж 10 лет. Специализируется на ортодонтии, детской стоматологии и гнатологии, по которым клиника оказывает 14 услуг. Имеет 13 работ до/после в портфолио. Квалификация специалиста подтверждена 16 лицензиями, сертификатами и наградами. Для уточнения дополнительной информации о специалисте или записи на прием можно позвонить по телефону
+7 (812)Показать телефон
. Занимает 17 место в рейтинге гнатологов 32top в вашем городе. Также 32top представляет форму онлайн расписания, через которую можно записаться к специалисту на свободную дату и время.

Где принимает:

13 работ в портфолио
Опыт 10 лет
16 сертификатов

Отзывы о враче Ермошкина Ольга Сергеевна

Рейтинг: 5
Отзывов: 4
Положительных: 4
Отрицательных: 0
Последний: 457 дн. назад
5.0
Почему нашим отзывам можно доверять?
6 февраля 2025 г.
1 2 3 4 5
Хочу искренне поблагодарить своего ортодонта Ольгу Сергеевну Ермошкину! В прошлом году мне установили брекеты, и я уже вижу результат. До завершения лечения остаётся совсем немного, жду конечного результата)
После приема Пациент записывался в клинику через 32top. После приёма мы позвонили ему и получили отзыв.
23 октября 2023 г.
1 2 3 4 5
Посещали с ребёнком филиал этой клиники на Есенина, были у доктора Ермошкиной Ольги Сергеевны - на установку скобы. Ходили на повторный приём для коррекции - всё хорошо, нам всё нравится, и работа доктора, и качество обслуживания, и собственно сам приём. Персонал вежливый, клиника приличная, цены приемлемые. Всё как надо, всё как положено в нормальной частной стоматологии.
8 апреля 2022 г.
1 2 3 4 5
Обратилась к Ольге Сергеевне со своей дочерью – подростком для исправления неправильного прикуса. Она объяснила, что у нас проблема не очень серьезная и можно обойтись без брекетов. Было предложение лечение с помощью элайнеров. Дочь конечно же была рада, так как элайнеры по сравнению с брекетами не заметны и дочка не будет их стесняться.
14 декабря 2019 г.
1 2 3 4 5
У меня давно была проблема с прикусом не как не могла я эту проблему решить, но муж настоял и я обратилась в клинику My ort. Тут меня приняла по записи ортодонт Ермошкина Ольга Сергеевна, очень хороший врач и человек. После консультации и осмотра через два дня работа по исправлению прикуса началась, поставили систему брекетов. Всё было сделано быстро, профессионально и без болей, прикус сейчас исправляется. Спасибо.
    Помогите другим сделать правильный выбор — оставьте свой отзыв о докторе
    Написать отзыв

    Услуги врача (19)

    Ортодонтия
    Установка брекетов
    от 21 900 ₽ до 70 130 ₽ за 1 челюсть
    Снятие брекетов
    Установка элайнеров
    от 98 600 ₽ до 428 800 ₽ за обе челюсти
    Еще услуги
    Все цены носят ознакомительный характер. Точную цену вы сможете получить только после консультации специалиста.
    Звоните по телефону:
    +7 (812)Показать телефон

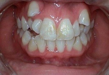
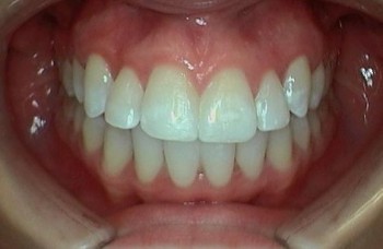
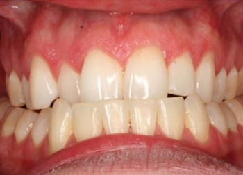
    Ермошкина Ольга Сергеевна: портфолио (13)

    Акции и скидки клиники ФАКТОР УЛЫБКИ (14)