Стоматолог Усачев Андрей Русланович — цены, отзывы, стаж — Принимает в Санкт-Петербурге (СПб)

Усачев Андрей Русланович

Усачев Андрей Русланович - фотография

5.0
Рейтинг: 5.0
Отзывов: 3
Положительных: 3
Отрицательных: 0
Последний : 1293 дн. назад
3 отзыва
стоматолог-хирург
стоматолог-имплантолог
Стаж 12 лет
Усачев Андрей Русланович принимает в «Стоматология ЛИГОВСКИЙ 206» в Санкт-Петербурге. Стаж 12 лет. Специализируется на хирургии и имплантологии, по которым клиника оказывает 17 услуг. Имеет 2 работы до/после в портфолио. Квалификация специалиста подтверждена 11 лицензиями, сертификатами и наградами. Для уточнения дополнительной информации о специалисте или записи на прием можно позвонить по телефону
+7 (812)Показать телефон
.

Где принимает:

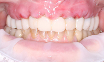
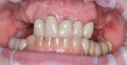
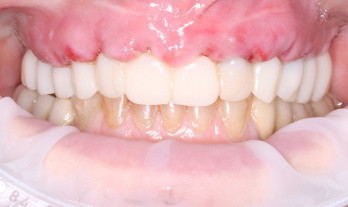
2 работы в портфолио
11 сертификатов
Опыт 12 лет

О стоматологе

Андрей Русланович оказывает весь спектр услуг по хирургической стоматологии и пародонтальной хирургии с помощью самых современных технологий. Регулярно проходит курсы повышения квалификации, посещает стоматологические симпозиумы, семинары и выставки. «Легкая рука» и накопленный багаж знаний дают возможность Андрею Руслановичу максимально атравматично, безболезненно и с комфортом для пациента проводить хирургическое лечение. Андрей Русланович найдет индивидуальный подход к каждому пациенту, обеспечит высокое качество работы и получение результата, максимально соответствующего желанию пациента.

Усачев Андрей Русланович: портфолио (2)

Отзывы о враче Усачев Андрей Русланович

Рейтинг: 5
Отзывов: 3
Положительных: 3
Отрицательных: 0
Последний: 1293 дн. назад
5.0
Почему нашим отзывам можно доверять?
22 октября 2022 г.
1 2 3 4 5
Здравствуйте! Долго не решался заняться лечением своих зубов (то времени не было, то стыдно идти с кучей запущенных проблем и пр.). А так же очень хотелось найти таких врачей которые будут о тебе заботиться, и не будут ругать за такие зубы. Изначально водили детей в Крона дент (тут отдельное спасибо Банкузовой Алине Алексеевне), и на их примере очень понравилось отношение персонала, заинтересованность в здоровье пациента. И вот теперь прохожу комплексное лечение в клинике на проспекте Просвещения. Безумно доволен качеством помощи, сервисом и заботой всего персонала клиники! Всегда звонят и напоминают о будущем приема у врача, после удаления звонят и интересуются моим самочувствием. Врачи (хирург Усачев Андрей Русланович, терапевт Андреева Ольга Сергеевна, ортопед Спиридонова Анна Геннадьевна) всегда очень внимательны, с удовольствием отвечают на все интересующие меня вопросы, работу в моей ротовой полости делают настолько аккуратно и качественно, что хочется возвращаться к ним снова и снова))) в самом кресле сидишь, чувствуя себя на отдыхе какого-либо курорта))) отдельное спасибо куратору Юлии: при возникновении любых проблем или вопросов (например после сложного удаления был воспалительный процесс) она всегда на связи, даже в свой выходной!!!, в кратчайшие сроки и удобное для меня время нашли промежуток у врача для выполнения санации и консультации - и так во всем!!! Крайне рекомендую данную клинику для лечения своих зубов!!!
Благодарим за отзыв и высокую оценку работы "Крона Дент"! Всегда рады помочь и искренне стремимся быть лучшей клиникой для каждого нашего пациента!
27 июля 2022 г.
1 2 3 4 5
Хочу выразить благодарность хирургу Усачеву Андрею Руслановичу! Я очень боюсь стоматологов, по этому долго выбирала клинику. Пришла я в клинику Крона Дент на просвещения 53 с острой болью,познакомилась с хирургом Андреем Руслановичем, он осмотрел, сделали катэ зубов. Оказалось два зуба на удаление. Меня затрясло от страха. Но врач меня успокоил, сделал шикарную анестезию, и в момент удаления сразу обоих зубов предложил музыку для успокоения. В момент хирургической процедуры всё время успокаивал и рассказывал о своих действиях. Всё прошло быстро и не больно!!! Во второй визит к нему уже страха не было! Спасибо огромное вам Андрей Русланович за терпение и золотые руки, особенно к таким пациентам , как я!!!
Благодарим за отзыв и высокую оценку работы "Крона Дент"! Всегда рады помочь и искренне стремимся быть лучшей клиникой для каждого нашего пациента!
3 февраля 2020 г.
1 2 3 4 5
Странно, что еще нет ни одного отзыва, непорядок. Пусть вас не смущает молодой возраст доктора - у него золотые руки! Он мастерски удалил у меня сложный зуб, провел пластику десны, поставил имплантат. Все операции прошли с минимальными неудобствами. Я человек-побочка, вечно какие-нибудь осложнения, но тут все прошло без сучка и задоринки. А еще Андрей Русланович очень вежлив и внимателен к пациентам, что тоже немаловажно. Большое ему спасибо! Рекомендую с чистой совестью.
    Помогите другим сделать правильный выбор — оставьте свой отзыв о докторе
    Написать отзыв

    Услуги стоматолога в других клиниках

    Хирургическая стоматология
    Удаление зубов от 1 100 ₽ до 25 000 ₽
    Удаление кисты и гранулемы зуба от 1 100 ₽ до 27 000 ₽
    Еще услуги
    Имплантация
    Установка мини-импланта от 5 000 ₽ до 34 000 ₽
    Коронки на имплантах от 11 500 ₽ до 89 900 ₽
    Еще услуги