Стоматолог Чернятинская Александра Александровна — цены, отзывы, стаж — Принимает в Санкт-Петербурге (СПб)

Чернятинская Александра Александровна

Чернятинская Александра Александровна - фотография
стоматолог-ортодонт
детский ортодонт
Чернятинская Александра Александровна принимает в «Стоматологическая клиника ОРТОЛАВ» в Санкт-Петербурге. Специализируется на ортодонтии, по которым клиника оказывает 15 услуг. Имеет 9 работ до/после в портфолио. Квалификация специалиста подтверждена 15 лицензиями, сертификатами и наградами. Для уточнения дополнительной информации о специалисте или записи на прием можно позвонить по телефону
+7 (905)Показать телефон
.

Где принимает:

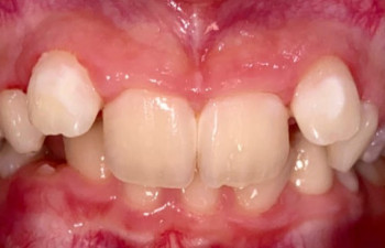
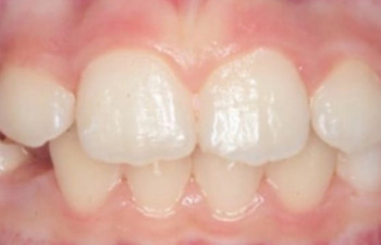
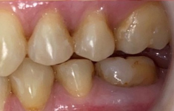
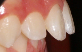
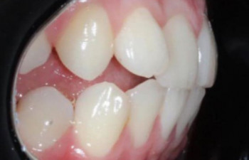
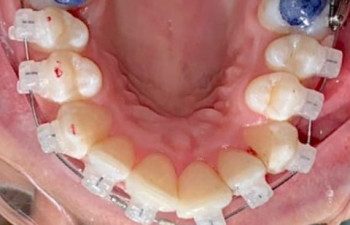
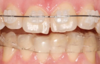
9 работ в портфолио
15 сертификатов

Чернятинская Александра Александровна: портфолио (9)

    Помогите другим сделать правильный выбор — оставьте свой отзыв о докторе
    Написать отзыв

    Услуги стоматолога в других клиниках

    Ортодонтия
    Виды брекетов по материалу
    Установка металлических брекетов
    от 12 100 ₽ до 248 650 ₽
    Еще услуги