Стоматолог Лалаев Турал Гюндузович — цены, отзывы, стаж — Принимает в Санкт-Петербурге (СПб)

Лалаев Турал Гюндузович

Лалаев Турал Гюндузович - фотография

5.0
Рейтинг: 5.0
Отзывов: 5
Положительных: 5
Отрицательных: 0
Последний : 652 дн. назад
5 отзывов
стоматолог-хирург
стоматолог-имплантолог
Стаж 8 лет
11 сертификатов
Опыт 8 лет
4 работы в портфолио

О стоматологе

Турал Гюндузович специализируется на диагностике и лечении пациентов по направлению стоматологической хирургии и имплантации, работает на системах имплантации ведущих мировых производителей, таких как Nobel, Osstem, Ankylos, проводит удаления зубов любой сложности, лоскутные операции, пластику мягких тканей.

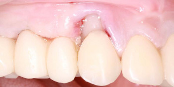
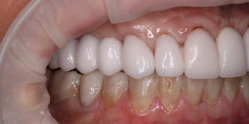
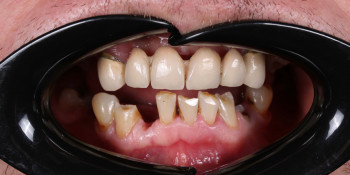
Лалаев Турал Гюндузович: портфолио (4)

Отзывы о враче Лалаев Турал Гюндузович

Рейтинг: 5
Отзывов: 5
Положительных: 5
Отрицательных: 0
Последний: 652 дн. назад
5.0
Почему нашим отзывам можно доверять?
26 июля 2024 г.
1 2 3 4 5
Стали очень беспокоить зубы мудрости, особенно по ночам - заснуть невозможно. Обратилась в клинику, попала в золотые руки Турала Гюндузовича. Проявил себя как настоящий профессионал своего дела. Провёл тщательный осмотр, выслушал мои жалобы. Процедура удаления зубов прошла безболезненно, чему я рада больше всего. Никаких осложнений не было.
28 октября 2022 г.
1 2 3 4 5
Хочется поблагодарить доктора Лалаева Турала Гюндузовича ☺️ Прохожу ортодонтическое лечение в клинике Крона Дент, в процессе выявилась необходимость в удалении зубов мудрости. Ранее мне уже сообщали о необходимости их удаления, но я очень переживала из-за того, что один из этих зубов был очень плохо расположен, и мне даже давали направление в отделение челюстно-лицевой хирургии в больницу на данную процедуру. Однако, Турал Гюндузович заверил, что удаление возможно совершить в клинике. Что я и сделала позади три удаления. Мои овации доктору! Все прошло быстро, уверенно, без лишней суеты. Чувствуется профессионализм! Рекомендую данного доктора и клинику. Спасибо
Благодарим за отзыв и высокую оценку работы "Крона Дент"! Всегда рады помочь и искренне стремимся быть лучшей клиникой для каждого нашего пациента!
8 февраля 2022 г.
1 2 3 4 5
очень хорошая клиника, хожу в неё уже больше трех лет особенно рекомендую Лалаева Турала удаляла у него 4 зуба, удаление прошло незаметно очень довольна
Добрый день! Благодарны Вам за высокую оценку работы клиники. Рады, что смогли помочь. Наши специалисты всегда готовы оказать профессиональную помощь всем, кому она необходима. Будьте здоровы! С пожеланиями всего наилучшего, центры семейной стоматологии "Крона Дент".
2 февраля 2022 г.
1 2 3 4 5
Впервые попала в эту клинику экстренно, чистить лунку от удаления восьмерки после бесплатной поликлиники. Работает 24 часа, а это очень удобно в таких случаях, попала к хирургу Ташпулатову Темуру. Он быстро все почистил и зашил, на следующий день я проснулась счастливым человеком и решила, что с бесплатной медициной завязываю. Позже лечила зуб у Андреевой, все четко и красиво, и очень аккуратно. Ну а теперь пришла пора поставить имплантат, и я, опять же, по счастливому стечению обстоятельств попала к Туралу Гюндузовичу! Приятный и заботливый хирург-имплантолог. Он подробно рассказал по моему снимку по этапам лечения и поставил 1 имплантат уже спустя неделю после консультации. Все прошло хорошо и я очень счастлива. Вывод: в этой клинике прекрасные специалисты. Run
Благодарим Вас за отзыв о нашем центре. Мы рады, что Вы остались довольны приемом наших специалистов. Надеемся ваш отзыв будет полезен всем, кто ищет надежную стоматологию в Санкт-Петербурге!
7 мая 2020 г.
1 2 3 4 5
В первую очередь понравился персонал, а именно отношение и профессионализм! Отнеслись с заботой и пониманием. Лечили зуб ребенку, остались довольны! Быстро и качественно! Так же огромный плюс, что работает стоматология круглосуточно. В такое непростое время мало кто так работает. Особую благодарность хотим выразить врачу Лалаеву Туралу Гюндузовичу, за чуткость, понимание и профессионализм. Спасибо! Успехов и процветания!
Благодарим Вас за отзыв о нашем центре. Мы рады, что Вы остались довольны приемом наших специалистов. Надеемся ваш отзыв будет полезен всем, кто ищет надежную стоматологию в Санкт-Петербурге!
    Помогите другим сделать правильный выбор — оставьте свой отзыв о докторе
    Написать отзыв

    Услуги стоматолога в других клиниках

    Диагностика
    Консультация стоматолога от 1 ₽ до 3 500 ₽
    Консультация имплантолога от 1 ₽ до 3 800 ₽
    Хирургическая стоматология
    Удаление зубов от 1 100 ₽ до 25 000 ₽
    Удаление кисты и гранулемы зуба от 1 100 ₽ до 27 000 ₽
    Еще услуги
    Имплантация
    Установка мини-импланта от 5 000 ₽ до 34 000 ₽
    Коронки на имплантах от 11 500 ₽ до 89 900 ₽
    Еще услуги