Стоматолог Каракашьян Анна Андреевна — цены, отзывы, стаж — Принимает в Санкт-Петербурге (СПб)

Каракашьян Анна Андреевна

Каракашьян Анна Андреевна - фотография
стоматолог-ортодонт
Стаж 14 лет
Каракашьян Анна Андреевна принимает в «Клиника стоматологии и косметологии ЭФИМЕД» в Санкт-Петербурге. Стаж 14 лет. Специализируется на ортодонтии, по которой клиника оказывает 9 услуг. Имеет 2 работы до/после в портфолио. Квалификация специалиста подтверждена 9 лицензиями, сертификатами и наградами. Для уточнения дополнительной информации о специалисте или записи на прием можно позвонить по телефону
+7 (812)Показать телефон
.

Где принимает:

9 сертификатов
Опыт 14 лет
2 работы в портфолио

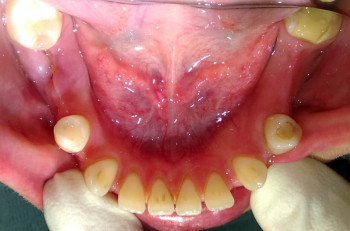
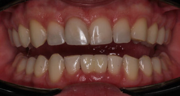
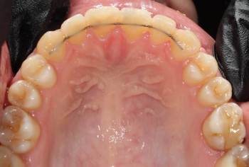
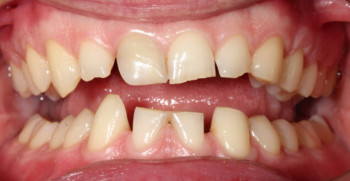
Каракашьян Анна Андреевна: портфолио (2)

    Помогите другим сделать правильный выбор — оставьте свой отзыв о докторе
    Написать отзыв

    Услуги стоматолога в других клиниках

    Ортодонтия
    Виды брекетов по материалу
    Установка металлических брекетов
    от 12 100 ₽ до 248 650 ₽
    Еще услуги