Стоматолог Кантар Вассим Ахсанович — цены, отзывы, стаж — Принимает в Санкт-Петербурге (СПб)

Кантар Вассим Ахсанович

Кантар Вассим Ахсанович - фотография
стоматолог-терапевт
стоматолог-хирург
Стаж 9 лет
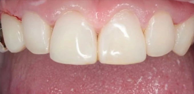
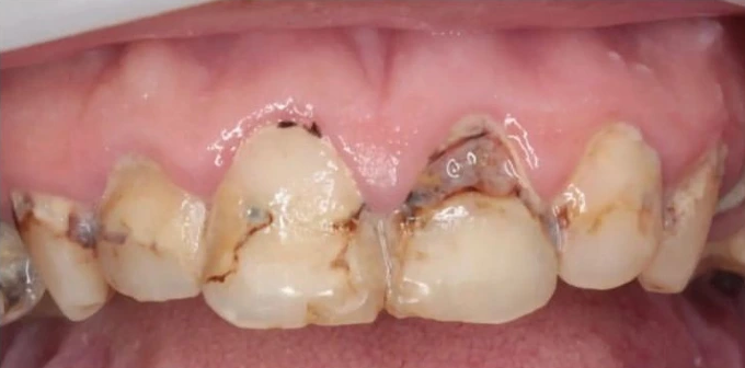
Кантар Вассим Ахсанович принимает в «Центр стоматологии ЛИКС ДЕНТ» в Санкт-Петербурге. Стаж 9 лет. Специализируется на терапии и хирургии, по которым клиника оказывает 14 услуг. Имеет 4 работы до/после в портфолио. Квалификация специалиста подтверждена 4 лицензиями, сертификатами и наградами.

Где принимает:

4 сертификата
4 работы в портфолио
Опыт 9 лет

Кантар Вассим Ахсанович: портфолио (4)

    Помогите другим сделать правильный выбор — оставьте свой отзыв о докторе
    Написать отзыв

    Услуги стоматолога в других клиниках

    Диагностика
    Консультация стоматолога от 1 ₽ до 3 500 ₽
    Консультация имплантолога от 1 ₽ до 3 800 ₽
    Терапевтическая стоматология
    Лечение кариеса от 3 500 ₽ до 14 500 ₽
    Лечение пульпита от 5 000 ₽ до 35 000 ₽
    Еще услуги
    Хирургическая стоматология
    Удаление зубов от 1 100 ₽ до 25 000 ₽
    Удаление кисты и гранулемы зуба от 1 100 ₽ до 27 000 ₽
    Еще услуги
    Имплантация
    Установка мини-импланта от 5 000 ₽ до 34 000 ₽
    Производители имплантов
    Еще услуги